Volumen 23 - Número 3 - Julio - Septiembre 2015
Neuropatía óptica atípica con lesiones coroideas bilaterales: debut de enfermedad de Birdshot
KA. Mejía, S Muñoz, O García
Hospital Universitari de Bellvitge. Hospitalet de Llobregat. Barcelona
CORRESPONDENCIA
Karol A. Mejía
E-mail: alby.mejia@gmail.com
E-mail: alby.mejia@gmail.com
RESUMEN
Un varón de 54 años con antecedentes de papilitis idiopática en el ojo derecho y coriorretinopatía serosa central en el izquierdo, presentó pérdida visual súbita e indolora en el ojo izquierdo. Se detectó edema de papila en ese ojo y múltiples lesiones coriorretinianas simétricas ovoides y bilaterales de aspecto cremoso, y discreta vitritis. Tras un mes de tratamiento con prednisona oral, la visión mejoró y el edema de papila se resolvió, pero persistieron las lesiones coriorretinianas en ambos ojos. Este paciente presentaba las características clínicas de la coriorretinopatía de birdshot así como la positividad para el antígeno HLA-A29. La neuropatía óptica es una manifestación menos frecuentemente descrita en esta enfermedad que tiene un patrón remitente-recurrente. Se sugiere que la antigua neuropatía óptica en el ojo derecho, el edema macular en el ojo izquierdo y, finalmente, la neuropatía óptica anterior izquierda actual, son manifestaciones episódicas de la misma enfermedad.
RESUM
Un home de 54 anys amb antecedents de papil•litis idiopàtica a l’ull dret i corioretinopatia serosa central a l’esquerre, va consultar per pèrdua visual sobtada indolora a l’ull esquerre. Es va detectar edema de papil•la en aquest ull, múltiples lesions bilaterals corioretinianes simètriques ovoides amb aspecte cremós i lleu vitritis. Es va administrar prednisona oral, un mes més tard la visió havia millorat i es va resoldre l’edema del nervi òptic, però les lesions corioretinianes varen romandre als dos ulls. Aquest pacient presentava un trets clínics compatibles amb la malaltia de birdshot (lesions de coroides bilaterals en patró radial i moderada inflamació del pol posterior), també la positivitat de l’antigen HLA-A29. La neuropatia òptica és una manifestació menys freqüentment descrita en aquesta malaltia que té un curs remitent-recurrent. Es proposa que l’antiga neuropatia òptica de l’ull dret, l’edema macular de l’esquerre, i finalment, la neuropatia òptica anterior esquerra actual, són manifestacions episòdiques del birdshot.
ABSTRACT
A 54 year-old male with previous history of idiopathic optic neuritis in the right eye and central serous chorioretinopathy in the left, experienced sudden and painless vision loss in his left eye. On examination, we found optic disc swelling in the affected eye and multiple, symmetrical, creamy and ovoid chorioretinal lesions in both eyes, as well as mild bilateral vitritis. The patient was started on oral prednisone. At one month follow-up, visual acuity had improved, with resolution of the optic disc swelling. The chorioretinal lesions remained in both eyes. The patient had clinical features typical of Birdshot chorioretinopathy, including the characteristic ovoid chorioretinal spots in a radial pattern and moderate inflammation in the posterior pole. Testing for HLA-A29 was positive. Anterior optic neuropathy is rarely described as part of the spectrum of this disease. We believe that the previous anterior optic neuropathy in the right eye and macular edema in the left eye, were both manifestations of this disease, as part of its episodic nature.
La coriorretinopatía en perdigonada o enfermedad de Birdshot, es una enfermedad inflamatoria crónica e infrecuente que afecta tanto la retina como la coroides. Cursa con múltiples lesiones bilaterales hipopigmentadas de aspecto ovoide que se distribuyen desde el disco óptico hacia la región ecuatorial con un patrón radial y simétrico. Su aspecto recuerda el de impactos de perdigones en el fondo de ojo, lo que justifica su nombre. Fue descrita inicialmente por Franceschetti y Bable en 1949 y posteriormente en 1980 por Ryan y Maumenee1. Se ha detectado una fuerte asociación con el antígeno de histocompatibilidad HLA-A29 hasta en el 97,5% de los casos2-6. Otros factores relacionados son el antígeno HLA-B127 y patógenos como Borrelia burgdorferi8 y Coxiella burnetii9. La patogenia es desconocida, aunque la evidencia apunta a un proceso autoinmune con respuestas mediadas por células T activadas. La afectación inicial puede ser unilateral, finalmente se extiende a ambos ojos y produce pérdida visual habitualmente indolora, nictalopía, miodesopsias, metamorfopsias y alteraciones de la visión cromática. En el curso de la enfermedad puede aparecer vitritis, vasculitis retiniana, edema macular, papilitis y, ocasionalmente, neovascularización coroidea. La afectación del polo anterior es infrecuente, sin embargo puede observarse el fenómeno de Tyndall en casos de vitritis activa importante. Los criterios clínicos para establecer el diagnóstico se describen en la Tabla 1. La positividad del antígeno HLA-A29, la presencia de edema macular quístico y de vasculitis son criterios secundarios no indispensables para el diagnóstico10. La historia natural es progresiva, con períodos de exacerbación y remisión. El pronóstico visual es pobre, principalmente debido a edema macular y a los cambios atróficos. La enfermedad puede mantenerse activa durante varias décadas y producir considerable pérdida de agudeza visual11. Se presenta el caso de un paciente que debutó con una neuropatía óptica atípica, lo que motivo el diagnóstico de la enfermedad de Birdshot.
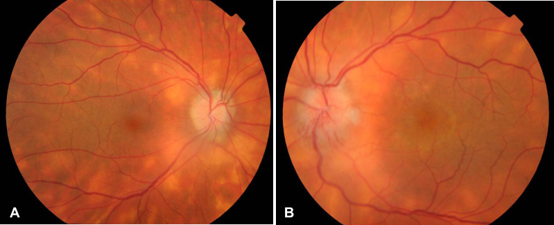
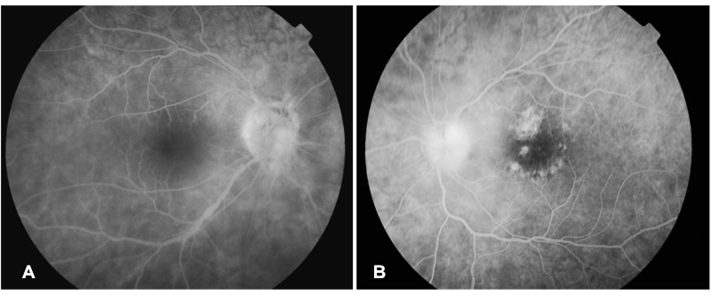
En la valoración inicial del episodio actual, la agudeza visual inicial mejor corregida (AVMC) en el ojo derecho (OD) era 1,0 y en el ojo izquierdo (OI) 0,2, la visión cromática era normal en el OD y el OI estaba moderadamente afectada. No se detectaron signos inflamatorios en el polo anterior, y se observó defecto pupilar aferente relativo en el ojo izquierdo. El estudio del campo visual reveló contracción periférica en el ojo derecho y contracción muy marcada en el izquierdo (Figura 2). Los hallazgos de tomografía de coherencia óptica de nervio óptico y maculares se comentan en la Figura 3A, Figura 3B y Figura 3C. El fondo de ojo mostraba múltiples y dispersas lesiones ovoideas y alargadas en ambos ojos de color amarillento, que seguían un patrón radial desde la papila hasta periferia ecuatorial (Figura 4). El disco óptico estaba repleto y bien delimitado sin borramiento en el OD, mientras que había elevación, borrosidad y congestión en el OI. La mácula en dicho ojo presentaba una zona de fibrosis temporal, sin evidencia de fluido subretiniano. No se observaron signos de retinopatía diabética, pero sí una discreta turbidez vítrea bilateral. La angiografía fluoresceínica mostró fuga tardía de contraste en papila izquierda, discreto parcheado coroideo y en el ojo derecho, discreto envainamiento temporal inferior, sin clara evidencia de fuga. No había signos de edema macular u otros cambios (Figura 5).
El diagnóstico diferencial se estableció entre procesos granulomatosos, infiltrativos e infecciosos por la asociación de edema de papila unilateral y coriorretinopatía bilateral. El estudio sistémico incluyó serologías, hematología y bioquímica. Las serologías para lúes, VIH, herpes, Epstein Barr, hepatitis, y toxoplasma fueron negativas. No se detectó elevación de la velocidad de eritrosedimentación ni de la proteína C reactiva, tampoco alteraciones en la pruebas de coagulación, función hepática o renal. El test de tuberculina fue muy positivo por lo que se extrajo humor acuoso para estudio de PCR (Protein Chain Reaction), resultando negativo. La radiografía de tórax descartó la presencia de lesiones compatibles con sarcoidosis o tuberculosis. La resonancia orbitaria detectó hiperintensidad en el trayecto orbitario del nervio óptico derecho, relacionado con cambios atróficos secundarios a posible neuropatía antigua. No se hallaron alteraciones anomalías del tamaño ni de la señal en el izquierdo.
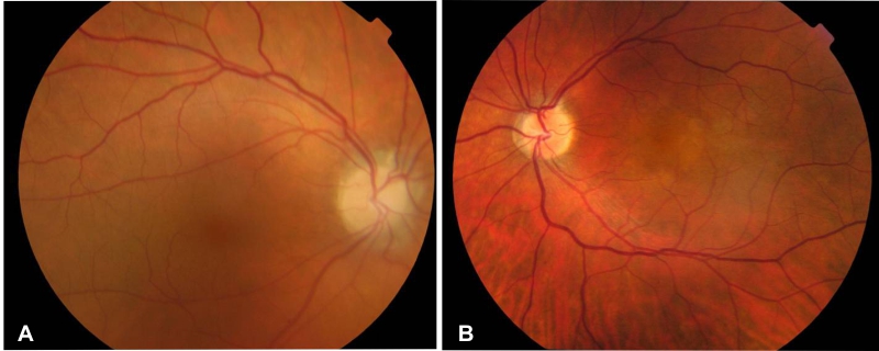
Tras el estudio sistémico se descartó razonablemente procesos de causa infecciosa y por la posibilidad de trastorno autoinmune o granulomatosa se instauró tratamiento con 70 mg de prednisona vía oral de manera empírica. Finalmente el resultado del estudio del HLA-A29 fue positivo por lo que se orientó como enfermedad de Birdshot. Tras un mes de tratamiento, se observó la resolución del edema papilar y progresiva instauración de leve palidez papilar en el ojo izquierdo. Las lesiones coroideas se mantuvieron estables. La agudeza visual final fue de 1.2 en el ojo derecho y 0.7 en el izquierdo (Figura 6). Los defectos de campo visual no experimentaron cambios destacables.
La angiografía fluoresceínica (AF) puede ser útil en identificar el edema macular quístico y la vasculitis retiniana, con hiperfluorescencia parcheada, característica de la afectación de pequeño vaso, así como los episodios de papilitis, como en el caso ilustrado. La fuga de vasos retinianos puede preceder a la aparición de las lesiones características en el fondo de ojo. En estadios avanzados, se objetiva atenuación vascular y atrofia coriorretiniana y de nervio óptico.
En el verde de indocianina se pueden detectar zonas de hipofluorescencia dispersas por todo el fondo de ojo e independientes de la afectación demostrada en la AF. Existe gran variabilidad en la afectación del campo visual, siendo frecuentes la aparición de múltiples focos y la afectación difusa, presentándose aun en pacientes con agudeza visual conservada. Gordon et al14, postularon que dichos cambios podrían representar afectación coroidea, de nervio óptico o de ambos. La actividad inflamatoria parece involucrar tanto a la retina como a la coroides15.
En el caso presentado, la distribución de las lesiones de coroideas era muy simétrica y posiblemente asintomática. Se sugiere que la confluencia de lesiones coroideas peripapilares que involucró el nervio óptico izquierdo desencadenó el deterioro campimétrico y visual. Hay pocos casos descritos con neuropatía óptica anterior en pacientes con enfermedad de Birdshot aunque su fisiopatología está poco estudiada16. En el caso actual, los antecedentes de hipertensión arterial, diabetes mellitus y disco de riesgo eran factores predisponentes para la neuropatía óptica isquémica anterior no arterítíca (NOIA-NA) que se consideró en el diagnóstico inicial.
La asociación de neuropatía óptica aguda y lesiones nodulares en el fondo de ojo motivó la valoración sistémica para investigar otros procesos que con mayor frecuencia producen uveítis posterior. La tuberculosis y la sarcoidosis son las dos principales etiologías a descartar.
El curso multifásico propio de la historia natural de la enfermedad con exacerbaciones y remisiones, se puede documentar en este paciente con 2 episodios previos. El primero a los 25 años cuando sufrió la papilitis en ojo derecho, y que evolucionó favorablemente con el tratamiento corticoideo sistémico oral a altas dosis antes de la publicación de los estudios ONTT.
El segundo, en forma de edema macular en el ojo izquierdo etiquetado de coriorretinopatía serosa central. Sin embargo, en ninguno de estos episodios previos se objetivaron las lesiones coroideas características.

Tabla 1. Diagnóstico de la Enfermedad de Birdshot.
Caso clínico
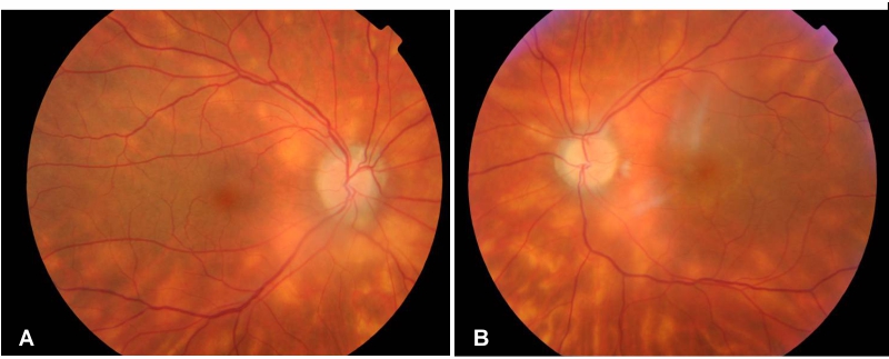
Un paciente varón de 54 años consultó por súbita pérdida visual en el hemicampo superior del ojo izquierdo de 24 horas de evolución. Recibía tratamiento para la hipertensión arterial y la diabetes mellitus con enalapril 20mg/ día y metformina 850 mg/día. A los 25 años de edad experimentó pérdida visual en el ojo derecho etiquetado como papilitis idiopática tras los pertinentes estudios. Recibió corticoterapia sistémica y el edema del nervio se resolvió, dejando una buena función visual residual. A los 45 años fue intervenido de catarata en ambos ojos con implante de lente intraocular sin complicaciones, y posteriormente, se practicó capsulotomía con láser YAG. A los 49 años experimentó pérdida visual el ojo izquierdo con edema macular, tratado con terapia fotodinámica, bajo el diagnóstico de coriorretinopatía serosa central (Figura 1).

Figura 1A y 1B. Fotografía de fondo de ojo tomada durante el episodio de edema macular izquierdo. Figura 1A. Papila de ojo derecho muestra halo amarillento residual, así como discreta palidez, con bordes bien delimitados. No se objetivan alteraciones a nivel macular. Figura 1B. En ojo izquierdo, alteración de reflejo macular compatible con edema, papila bien delimitada y normocoloreada. No hay evidencia de lesiones coriorretinianas.
En la valoración inicial del episodio actual, la agudeza visual inicial mejor corregida (AVMC) en el ojo derecho (OD) era 1,0 y en el ojo izquierdo (OI) 0,2, la visión cromática era normal en el OD y el OI estaba moderadamente afectada. No se detectaron signos inflamatorios en el polo anterior, y se observó defecto pupilar aferente relativo en el ojo izquierdo. El estudio del campo visual reveló contracción periférica en el ojo derecho y contracción muy marcada en el izquierdo (Figura 2). Los hallazgos de tomografía de coherencia óptica de nervio óptico y maculares se comentan en la Figura 3A, Figura 3B y Figura 3C. El fondo de ojo mostraba múltiples y dispersas lesiones ovoideas y alargadas en ambos ojos de color amarillento, que seguían un patrón radial desde la papila hasta periferia ecuatorial (Figura 4). El disco óptico estaba repleto y bien delimitado sin borramiento en el OD, mientras que había elevación, borrosidad y congestión en el OI. La mácula en dicho ojo presentaba una zona de fibrosis temporal, sin evidencia de fluido subretiniano. No se observaron signos de retinopatía diabética, pero sí una discreta turbidez vítrea bilateral. La angiografía fluoresceínica mostró fuga tardía de contraste en papila izquierda, discreto parcheado coroideo y en el ojo derecho, discreto envainamiento temporal inferior, sin clara evidencia de fuga. No había signos de edema macular u otros cambios (Figura 5).

Figura 2A y 2B. Campo visual muestra contracción en ambos ojos, más acentuado en ojo izquierdo.

Figura 3A. Tomografía de coherencia óptica (OCT) de nervio óptico de ambos ojos. Atrofia sectorial superior en ojo derecho y engrosamiento STI para ojo izquierdo.

Figura 3B y 3C. OCT macular para ambos ojos, descarta edema macular, con cambios atróficos en ojo izquierdo.

Figura 4A y 4B. Fotografía de fondo de ojo en el momento de estudio. Se objetivan lesiones amarillentas ovoideas con distribución radial, partiendo del nervio óptico a periferia. En ojo izquierdo (4B), edema de papila con signos congestivos. Cambios cicatriciales a nivel macular y tortuosidad vascular.

Figura 5A y 5B. Imágenes de angiografía fluorosceínica al momento del diagnóstico. Figura 5A. Ojo derecho muestra envainamiento vascular temporal inferior sin signos claros de fuga. Figura 5B. En ojo izquierdo, se objetiva parcheado coroideo irregular, fuga a nivel papilar y zonas de cicatrización a nivel macular, correspondientes a terapia fotodinámica antigua.
El diagnóstico diferencial se estableció entre procesos granulomatosos, infiltrativos e infecciosos por la asociación de edema de papila unilateral y coriorretinopatía bilateral. El estudio sistémico incluyó serologías, hematología y bioquímica. Las serologías para lúes, VIH, herpes, Epstein Barr, hepatitis, y toxoplasma fueron negativas. No se detectó elevación de la velocidad de eritrosedimentación ni de la proteína C reactiva, tampoco alteraciones en la pruebas de coagulación, función hepática o renal. El test de tuberculina fue muy positivo por lo que se extrajo humor acuoso para estudio de PCR (Protein Chain Reaction), resultando negativo. La radiografía de tórax descartó la presencia de lesiones compatibles con sarcoidosis o tuberculosis. La resonancia orbitaria detectó hiperintensidad en el trayecto orbitario del nervio óptico derecho, relacionado con cambios atróficos secundarios a posible neuropatía antigua. No se hallaron alteraciones anomalías del tamaño ni de la señal en el izquierdo.
Tras el estudio sistémico se descartó razonablemente procesos de causa infecciosa y por la posibilidad de trastorno autoinmune o granulomatosa se instauró tratamiento con 70 mg de prednisona vía oral de manera empírica. Finalmente el resultado del estudio del HLA-A29 fue positivo por lo que se orientó como enfermedad de Birdshot. Tras un mes de tratamiento, se observó la resolución del edema papilar y progresiva instauración de leve palidez papilar en el ojo izquierdo. Las lesiones coroideas se mantuvieron estables. La agudeza visual final fue de 1.2 en el ojo derecho y 0.7 en el izquierdo (Figura 6). Los defectos de campo visual no experimentaron cambios destacables.

Figura 6A y 6B. Fotografía de fondo de ojo al seguimiento. 6A. Ojo derecho. Persisten las lesiones coroideas. Papila repleta y bien delimitada con presencia de halo amarillento residual. 6B. En el ojo izquierdo se objetiva la resolución del edema de papila. Persisten las lesiones coroideas sin cambios. No hay signos de edema macular.
Discusión
La enfermedad de birdshot es muy infrecuente. El diagnóstico se basa principalmente en criterios clínicos, que incluyen la presencia de lesiones ovoides, de tamaño homogéneo, pálidas, amarillentas o de aspecto cremoso. Estas lesiones pueden pasar desapercibidas en estadios iniciales de la enfermedad con síntomas de nictalopía o alteración de sensibilidad al contraste. Hasta que aparecen otras alteraciones como las miodesopsias, edema macular quístico y en algún caso, la neovascularización coroidea, a menudo más tardías en el curso de la enfermedad, los pacientes pueden no acudir a la consulta de oftalmología. Existe disociación entre los hallazgos clínicos, el grado de disfunción visual y los síntomas percibidos (subjetivamente mucho mayor a la evidenciada por determinación de la agudeza visual)12. La probabilidad a largo plazo de mantener una buena función visual es baja, y la principal causa de pérdida visual es el edema macular quístico13. El tratamiento incluye una combinación de corticoides y terapia inmunosupresora.La angiografía fluoresceínica (AF) puede ser útil en identificar el edema macular quístico y la vasculitis retiniana, con hiperfluorescencia parcheada, característica de la afectación de pequeño vaso, así como los episodios de papilitis, como en el caso ilustrado. La fuga de vasos retinianos puede preceder a la aparición de las lesiones características en el fondo de ojo. En estadios avanzados, se objetiva atenuación vascular y atrofia coriorretiniana y de nervio óptico.
En el verde de indocianina se pueden detectar zonas de hipofluorescencia dispersas por todo el fondo de ojo e independientes de la afectación demostrada en la AF. Existe gran variabilidad en la afectación del campo visual, siendo frecuentes la aparición de múltiples focos y la afectación difusa, presentándose aun en pacientes con agudeza visual conservada. Gordon et al14, postularon que dichos cambios podrían representar afectación coroidea, de nervio óptico o de ambos. La actividad inflamatoria parece involucrar tanto a la retina como a la coroides15.
En el caso presentado, la distribución de las lesiones de coroideas era muy simétrica y posiblemente asintomática. Se sugiere que la confluencia de lesiones coroideas peripapilares que involucró el nervio óptico izquierdo desencadenó el deterioro campimétrico y visual. Hay pocos casos descritos con neuropatía óptica anterior en pacientes con enfermedad de Birdshot aunque su fisiopatología está poco estudiada16. En el caso actual, los antecedentes de hipertensión arterial, diabetes mellitus y disco de riesgo eran factores predisponentes para la neuropatía óptica isquémica anterior no arterítíca (NOIA-NA) que se consideró en el diagnóstico inicial.
La asociación de neuropatía óptica aguda y lesiones nodulares en el fondo de ojo motivó la valoración sistémica para investigar otros procesos que con mayor frecuencia producen uveítis posterior. La tuberculosis y la sarcoidosis son las dos principales etiologías a descartar.
El curso multifásico propio de la historia natural de la enfermedad con exacerbaciones y remisiones, se puede documentar en este paciente con 2 episodios previos. El primero a los 25 años cuando sufrió la papilitis en ojo derecho, y que evolucionó favorablemente con el tratamiento corticoideo sistémico oral a altas dosis antes de la publicación de los estudios ONTT.
El segundo, en forma de edema macular en el ojo izquierdo etiquetado de coriorretinopatía serosa central. Sin embargo, en ninguno de estos episodios previos se objetivaron las lesiones coroideas características.
Bibliografía
- Ryan SJ, Maumenee AE. Birdshot retinochoroidopathy. Am J Ophthalmol. 1980;89:31- 45.
- Baarsma GS, Priem HA, Kijlstra A. Association of birdshot retinochoroidopathy and HLA-A29 antigen. Curr Eye Res. 1990; 9 Suppl:63-8.
- LeHoang P, Ozdemir N, Benhamou A, Tabary T, Edelson C, Betuel H, Semiglia R, Cohen JH. HLA-A29.2 subtype associated with birdshot retinochoroidopathy. Am J Ophthalmol. 1992;113:33-5.
- Levinson RD, Rajalingam R, Park MS, Reed EF, Gjertson DW, Kappel PJ, See RF, Rao NA, Holland GN. Human leukocyte antigen A29 subtypes associated with birdshot retinochoroidopathy. Am J Ophthalmol. 2004;138:631-4.
- Kuiper JJ, Mutis T, de Jager W, de Groot-Mijnes JD, Rothova A. Intraocular interleukin-17 and proinflammatory cytokines in HLA-A29-associated birdshot chorioretinopathy. Am J Ophthalmol. 2011;152:177-82.
- Artornsombudh P, Gevorgyan O, Payal A, Siddique SS, Foster CS. Infliximab treatment of patients with birdshot retinochoroidopathy. Ophthalmol. 2013;120:588-92.
- Priem HA, Kijlstra A, Noens L, Baarsma GS, De Laey JJ, Oosterhuis JA. HLA typing in birdshot chorioretinopathy. Am J Ophthalmol. 1988;105:182-5.
- Suttorp-Schulten MS, Luyendijk L, van Dam AP, de Keizer RJ, Baarsma GS, Bos PJ, Rothova A. Birdshot chorioretinopathy and Lyme borreliosis. Am J Ophthalmol. 1993; 115:149-53.
- Kuhne F, Morlat P, Riss I, Dominguez M, Hostyn P, Carniel N, Paix MA, Aubertin J, Raoult D, Le Rebeller MJ. Is A29, B12 vasculitis caused by the Q fever agent? (Coxiella burnetii). J Fr Ophtalmol. 1992;15:315-21.
- Levinson RD, Brezin A, Rothova A, Accorinti M, Holland GN. Research criteria for the diagnosis of birdshot chorioretinopathy: results of an international consensus conference. Am J Ophthalmol. 2006;141:185-7.
- Rush RB, Goldstein D a, Callanan DG, Meghpara B, Feuer WJ, Davis JL. Outcomes of birdshot chorioretinopathy treated with an intravitreal sustained-release fluocinolone acetonide-containing device. Am J Ophthalmol. 2011;151:630-6.
- Kiss S, Ahmed M, Letko E, Foster CS. Long-term follow-up of patients with birdshot retinochoroidopathy treated with corticosteroid-sparing systemic immunomodulatory therapy. Ophthalmol. 2005;112:1066-71.
- Monnet D, Brézin AP, Holland GN, Yu F, Mahr A, Gordon LK, et al. Longitudinal cohort study of patients with birdshot chorioretinopathy. I. Baseline clinical characteristics. Am J Ophthalmol. 2006;141(1):135-42.
- Gordon LK, Monnet D, Holland GN, Brézin AP, Yu F, Levinson RD. Longitudinal cohort study of patients with birdshot chorioretinopathy. IV. Visual field results at baseline. Am J Ophthalmol. 2007;144:829-37.
- Fardeau C, Herbort CP, Kullmann N, Quentel G, Lehoang P. Indocyanine Green Angiography in Birdshot. Ophthalmol. 1999;1928-34.
- Caballero-Presencia A, Diaz-Guia E, López-López JM. Acute anterior ischemic optic neuropathy in birdshot retinochoroidopathy. Ophthalmologica. 1988;196:87-91.

