Volumen 23 - Número 2 - Abril - Junio 2015
Diplopía vertical y traumatismo facial: una cortina de humo
C. Sierra Alonso1, S. Muñoz2, JJ. Sánchez2,3
1Hospital de l’Esperança. Parc de Salut MAR. Barcelona
2Hospital Universitari de Bellvitge. L’Hospitalet de Llobregat, Barcelona.
3IDI, L’Hospitalet de Llobregat, Barcelona.
2Hospital Universitari de Bellvitge. L’Hospitalet de Llobregat, Barcelona.
3IDI, L’Hospitalet de Llobregat, Barcelona.
CORRESPONDENCIA
Carlos Sierra Alonso
E-mail: CSierra@parcdesalutmar.cat
E-mail: CSierra@parcdesalutmar.cat
RESUMEN
Se presenta un paciente con visión doble vertical de larga evolución con antecedentes de traumatismo facial y neoplasia de próstata. La presentación clínica era compatible con síndrome de Brown adquirido, en el estudio diagnóstico se hallaron alteraciones del marco óseo que plantearon el diagnóstico diferencial entre displasia fibrosa, callo de fractura y metástasis ósea de neoplasia de próstata. Se discuten las causas más frecuentes de diplopía vertical y el protocolo de actuación sugerido.
RESUM
Es presenta un pacient amb visió doble vertical de llarga evolució amb antecedents de traumatisme facial i neoplàsia de pròstata. La presentació clínica era compatible amb síndrome de Brown adquirit i a l’estudi diagnòstic es van trobar alteracions del marc ossi que van fer plantejar el diagnòstic diferencial entre displàsia fibrosa, call de fractura i metàstasi òssia de neoplàsia de pròstata. Es discuteixen les causes més freqüents de diplopia vertical i el protocol d’actuació suggerit.
ABSTRACT
A male patient with previous history of facial trauma and prostate gland cancer presented long standing vertical diplopia. Clinical picture suggested acquired Brown syndrome, work-up studies detected orbital rim bone abnormalities. The differential was done amongst fibrous dysplasia, callous bone, and bone metastasis from previous cancer. We review the commonest causes of vertical diplopia and the suggested study protocol.
Caso clínico
Un varón de 60 años consultó por diplopía binocular vertical de larga evolución que predominaba en la mirada superior. Entre sus antecedentes patológicos destacaba diabetes mellitus tipo 2, hipertensión arterial y adenocarcinoma de próstata detectado 3 años atrás. No había extensión extra-prostática en el momento del diagnóstico. Fue tratado mediante prostatectomía radical de manera exitosa, y no se objetivó enfermedad residual en los sucesivos controles. No presentaba antecedentes oftalmológicos de interés.El paciente refería una caída casual dos años atrás con traumatismo facial y deformidad nasal residual que relacionaba con la aparición de la visión doble, pues ésta se instauró tras la caída. La postura del paciente era de tortícolis derecho espontáneo. La agudeza visual era 0.8 en el ojo derecho y 1 en el ojo izquierdo. El examen del segmento anterior y posterior estaba dentro de los límites de la normalidad, no se detectaron alteraciones pupilares. Se objetivó una desviación vertical (izquierdo sobre derecho) de 8 dioptrías prismáticas en posición primaria. La motilidad extrínseca ocular era anormal pues había limitación de la elevación del ojo derecho mayor en aducción (Figura 1). No se observaron anomalías en la depresión de globo ni en los movimientos horizontales, ni tampoco visión doble en estas posiciones. No había exoftalmos, ni alteraciones de la posición palpebral. El test de Lancaster (Figura 2) reveló la limitación del recto superior derecho (RSD) y del oblicuo inferior derecho (OID). Se completó el estudio de la motilidad con el test de ducción forzada que resultó positivo, lo que sugería un componente restrictivo. En la Tabla 1 se presenta el diagnóstico diferencial entre las principales causas de diplopía vertical.

Tabla 1. Diagnóstico diferencial entre las principales causas de diplopía vertical.

Figura 1. Limitación de la elevación en aducción en el ojo derecho.

Figura 2. Test de Lancaster: Se aprecia una desvación izquierdo sobre derecho y se confirma la disminución de la elevación del ojo derecho a expensas de hipofunción del oblicuo inferior derecho.
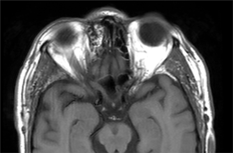
La determinación de hormonas tiroideas y anticuerpos anti-tiroides (anti-tiroglobulina y anti-peroxidasa) resultaron normales y negativos respectivamente. La tomografía computerizada (TC) de órbita no mostró engrosamiento ni asimetría de las dimensiones de los músculos extrínsecos oculares. Se observaron unas alteraciones en el ángulo superointerno del marco óseo de la órbita derecha (Figura 3a y Figura 3b) que involucraban múltiples huesos y se sugirió el diagnóstico de displasia fibrosa poliostótica. En la Tabla 2 se presentan las características clínicas y radiológicas de la displasia fibrosa y se incluyen otros trastornos con los que se establece el diagnóstico diferencial.

Figura 3a. TC órbita: Lesión en el ángulo superointerno de la órbita derecha con zonas hipodensas moteadas, con posible crecimiento intracraneal. Destaca a nivel del hueso frontal derecho, un engrosamiento óseo que ocupa parte del seno frontal ipsilateral y celdillas etmoidales anteriores derechas. En su interior se identifican zonas de esclerosis. Deforma discretamente el techo de la órbita derecha.

Figura 3b. RM T1 axial con contraste. La musculatura extrínseca ocular de la región (oblicuo superior) queda incluida en las alteraciones óseas lo que condiciona una restricción del la polea y el cuadro de síndrome de Brown adquirido.

Tabla 2. Diagnóstico diferencial de lesión ósea esclerótica solitaria.
Discusión
La displasia fibrosa (DF) es una enfermedad no maligna en la que el tejido óseo normal y su médula ósea son substituidos por tejido fibroso inmaduro de distribución anárquica4. La afectación puede ser monostótica (un sólo hueso) o poliostótica (múltiples huesos) (ratio 7:3)5 La forma monostótica es más frecuente en las segunda y tercera décadas, mientras que la forma poliostótica es más frecuente en niños, típicamente menores de 10 años. En ocasiones forma parte del síndrome de McCune Allbright (MCA) que incluye displasia fibrosa poliostótica, manchas café con leche en la piel, y endocrinopatía (pubertad precoz).Aunque se ha asociado el síndrome de MCA a una mutación del gen GNAS1, la etiología de la displasia fibrosa es desconocida4. Las localizaciones más frecuentes son los huesos craneofaciales, el fémur proximal y la cadera. En la afectación monostótica el complejo cigomático-maxilar es la región más frecuentemente afectada. En la forma poliostótica y el síndrome de MCA, la región craneofacial se afecta en el 90% de los casos y la base craneal anterior en el 95%. La mayor parte de lesiones de la órbita son por DF monostótica, aunque estas lesiones afectan múltiples huesos del cráneo sin respetar las líneas de sutura. En adultos hay una mayor prevalencia de manifestaciones oftalmológicas4. La historia natural es la de crecimiento lento e indolente. La deformidad facial o la distorsión de las estructuras próximas (nervio óptico, globo ocular, vía área, nervio VIII, dientes) es gradual e insidiosa. Sólo en niños y adolescentes prepuberales las lesiones presentan un rápido crecimiento y suelen asociarse a otras lesiones patológicas y mayor riesgo de transformación maligna (< 1% de transformación a osteosarcoma y otros tipo de sarcoma) Los signos y síntomas son variables, pero incluyen deformidad y asimetría facial, pérdida visual, hipoacusia, congestión u obstrucción nasal, dolor, parestesias y maloclusión dental. Muchos pacientes se encuentran asintomáticos, el diagnóstico lo realiza una tercera persona que no ha visto al paciente durante un largo periodo de tiempo y detecta algún cambio físico, o por una anomalía incidental en alguna prueba de imagen (RX o TC).
Los hallazgos comunes relacionados con la afectación ocular4 son proptosis, distopía, hipertelorismo, exoftalmos, diplopía, parálisis de músculos extraoculares y déficit visual por afectación de los huesos de la región frontal, esfenoidal y etmoidal. Las complicaciones secundarias observadas son mucocele o transformación maligna. Otros hallazgos menos característicos son: neuropatía óptica, estrabismo, problemas de oclusión palpebral, obstrucción del conducto nasolagrimal con epífora, neuralgia del trigémino, y parálisis muscular. Un estudio señala que la complicación neurológica más frecuente es la pérdida de visión por la compresión del nervio óptico, cuya descompresión profiláctica (“unroofing”) es muchas veces infructuosa porque el tejido displásico tiene capacidad de volver a crecer.
Los hallazgos radiológicos de la DF son poco específicos y diversos. Lo más característico es que tenga una apariencia de “vidrio esmerilado” con una corteza ósea fina y sin distinción de los bordes, aunque la lesión puede variar su aspecto al envejecer2.
Tratamiento
No se dispone de un tratamiento eficaz para la displasia fibrosa, depende del grado de afectación ósea y la sintomatología del paciente. Ante el hallazgo de una forma poliostótica se debe referir al paciente al endocrino. Se indica la cirugía para obtener una biopsia confirmatoria, corrección de deformidades, ante el fracaso de la terapia médica, prevención de cambios patológicos, y erradicación de lesiones sintomáticas. Como opciones no quirúrgicas se han utilizados los fármacos bifosfonados. Las nuevas terapias emergentes como denosumab, anticuerpo monocolonal humano IgG2 que actúa como inhibidor del ligando RANK presente en la superficie de osteoblastos y células del estroma, no ha demostrado utilidad en la reducción de la extensión de la DF o mejora de los síntomas. Por último, se recomienda el seguimiento de las lesiones asintomáticas para descartar su progresión.Bibliografía
- Chung M, Murphey E, Mark D, et al. Pediatric Orbit Tumors and Tumorlike Lesions: Osseous Lesions of the Orbit. Radiographics. 2008;(28)4:1193-214.
- Bradley J. Katz, et al. Ophthalmic Manifestations of Fibrous Dysplasia. A Disease of Children and Adults. Ophthalmology 1998;105:2207-15.
- Ali Sadeghi Tari, Masoud Aghsaie Fard. Orbital paget disease: a case report. Orbit. 2010; 29(4):219-21.
- Lee JS, FitzGibbon EJ, Chen,YR, et al. Clinical guidelines for the management of craniofacial fibrous dysplasia. Orphanet Journal of Rare Diseases. 2012;7(Suppl 1):S2.
- Martin-Carreras Teresa. Sanchez, Edward. W. Bancroft, Laura. Diagnosis: Polyostotic Fibrous Dysplasia. Orthopedics. 2014;37(11):722-82.
- Spector, Robert H. Vertical Diplopia (Major Review). Survey of Ophthalmology. 1993;38(1):31-62.
- Gonzalez Manrique M, et al. Parálisis oculomotoras.(capítulo 12), de Rebolleda, Gema y Muñoz Negrete, FJ, P; Protocolos en Neuro-Oftalmología, Mesa Redonda, 86 Congreso de la Sociedad Española de Oftalmología, Madrid 2010.

