Volumen 21 - Número 5 - Diciembre 2013
Ecografía en tumores intraoculares
S. Jordán, A. Filloy
Hospital Universitari de Bellvitge. L’Hospitalet de Llobregat. Barcelona
CORRESPONDENCIA
Sara Jordán
E-mail: sajocu@gmail.com
E-mail: sajocu@gmail.com
El uso de los ultrasonidos aplicados a la oftalmología aparece por primera vez en el año 1956, a cargo de Mundt y Hughes mediante el uso de ecografía A. Desde entonces, la aparición de la ecografía B y la mejora de las sondas utilizadas han convertido a esta técnica en esencial parael diagnóstico de los tumores intraoculares, aunque no deben olvidarse los antecedentes del paciente ni los hallazgos clínicos. Dicha importancia radica en la posibilidad de estudiar las lesiones cuando hay opacidad de medios (si su tamaño supera los 0,8 mm de grosor), ensu utilidad en el diagnóstico diferencial de los procesos neoformativos y en la capacidad de determinar las dimensiones del tumor, por lo que es útil en el estudio evolutivo.Utilizaremos la ecografía de contacto o convencional para lesiones en el polo posterior, y el método por inmersión en los tumores del iris y del cuerpo ciliar.
En oftalmología existen dos modos ecográficos igualmente importantes enel estudio de la patología intraocular: la representación unidimensional (modo A), en la cual los ecos se representan como picos verticales a partir de una línea basal isoeléctrica, y la representación bidimensional (modo B).
Hay tres tipos de exploración ecográfica: topográfica, cuantitativa y cinética.
La topográfica nos informa de:
Su morfología es variable,y puede ser cupuliforme o presentar crecimiento “en champiñón” (Figura 1) (forma patognomónica, especialmente en tumores de gran tamaño, debido a la rotura de la membrana de Bruch). Con menos frecuenciapuede ser binodular, multinodular o difuso.
Es un tumor de celularidad densa, lo que se traduce en una reflectividad media-baja, estructura interna homogénea y gran atenuación (se aprecia el denominado ángulo kappa (Figura 2) en modo A, en el cualaparece un primer pico alto correspondiente a la retina con una disminución marcada de los ecos posteriores y sombra posterior en eco B).Los tumores muy grandes pueden presentar una mayor irregularidad interna a causa de la vascularización y la necrosis.
Característicamente presenta un alto flujo vascular en la base, por lo que aparecen flickering spikes. También es típica la excavación coroidea (Figura 3), una baja reflectividad en la base del tumor.
La extensión del melanoma uveal puede llegar a ser extraescleral (Figura 4), y la ecografía es la técnica más sensible. Para ser detectado debe ser igual o superior a 1,5 mm, y se aprecia un área de vacío ecogénico bien delimitada, homogénea, adyacente a la masa intraocular.
Puede asociar desprendimiento de retina seroso (Figura 1, Figura 3 y Figura 5) que se extiende desde el margen hacia la zona ocular inferior.
Característicamente se encuentran en el polo posterior, son planas, difusas, con superficie irregular (Figura 10), y pueden asociar desprendimiento de retina exudativo desproporcionado al tamaño del tumor en comparación con el causado por el melanoma coroideo.
Su reflectividad es media-alta y son típicamente heterogéneas (Figura 11). Presentan atenuación moderada y ausencia de pulso vascular. Rara vez causan desprendimiento coroideo exudativo o sangrado.
Para finalizar mostramos un resumen con las principales características ecográficas de los diferentes tumores para facilitar su diagnóstico diferencial (Tabla 1).
En oftalmología existen dos modos ecográficos igualmente importantes enel estudio de la patología intraocular: la representación unidimensional (modo A), en la cual los ecos se representan como picos verticales a partir de una línea basal isoeléctrica, y la representación bidimensional (modo B).
Hay tres tipos de exploración ecográfica: topográfica, cuantitativa y cinética.
La topográfica nos informa de:
- Localización.
- Extensión.
- Forma de la lesión (únicamente en modo B).
Utilizamos la exploración cuantitativa para valorar:
- Reflectividad: altura de las ondas en modo A.
- Estructura interna: homogénea o heterogénea, dependiendo de la similitud de las ondas en modo A.
- Grado de atenuación:
- Modo A: evolución de las ondas a medida que el haz atraviesa la lesión.
- Modo B: cuando el grado es alto aparece sombra acústica posterior.
- Con la exploración cinética valoramos:
- Movilidad.
- Vascularización del tejido: se representa mediante el movimiento espontáneo o flickering de baja amplitud, con cambios constantes en modo A.
A continuación se exponen los principales tumores intraoculares y sus características ecográficas.
Melanoma uveal
Es el tumor primario intraocular más frecuente en el adulto. Pese a que la mayoría puede diagnosticarse por sus signos clínicos, un porcentaje de melanomas requieren el uso de ecografía para diferenciarlos de otras lesiones pigmentadas. Para conseguir diferenciar con seguridad que estamos frente a un melanoma, el tumor debe superar los 2-2,5 mm de grosor.Su morfología es variable,y puede ser cupuliforme o presentar crecimiento “en champiñón” (Figura 1) (forma patognomónica, especialmente en tumores de gran tamaño, debido a la rotura de la membrana de Bruch). Con menos frecuenciapuede ser binodular, multinodular o difuso.

Figura 1. Melanoma coroideo con crecimiento “en champiñón”, con desprendimiento de retina asociado, en eco B.
Es un tumor de celularidad densa, lo que se traduce en una reflectividad media-baja, estructura interna homogénea y gran atenuación (se aprecia el denominado ángulo kappa (Figura 2) en modo A, en el cualaparece un primer pico alto correspondiente a la retina con una disminución marcada de los ecos posteriores y sombra posterior en eco B).Los tumores muy grandes pueden presentar una mayor irregularidad interna a causa de la vascularización y la necrosis.
Característicamente presenta un alto flujo vascular en la base, por lo que aparecen flickering spikes. También es típica la excavación coroidea (Figura 3), una baja reflectividad en la base del tumor.

Figura 2. Tras el vacío ecogénico producido por el vítreo se observa un primer pico de reflectividad correspondiente al tumor, que de manera marcada disminuye progresivamente a medida que las ondas atraviesan la lesión, formando el denominado ángulo kappa (línea oblicua).

Figura 3. Melanoma con crecimiento en champiñón y desprendimiento asociado, con presencia de sombra acústica posterior.
La extensión del melanoma uveal puede llegar a ser extraescleral (Figura 4), y la ecografía es la técnica más sensible. Para ser detectado debe ser igual o superior a 1,5 mm, y se aprecia un área de vacío ecogénico bien delimitada, homogénea, adyacente a la masa intraocular.
Puede asociar desprendimiento de retina seroso (Figura 1, Figura 3 y Figura 5) que se extiende desde el margen hacia la zona ocular inferior.

Figura 4. Área de vacío ecogénico, bien delimitada y homogénea, correspondiente a una extensión extraescleral.

Figura 5. Melanoma con crecimiento cupuliforme y desprendimiento de retina asociado.
Nevus coroideo
Son tumoraciones benignas complicadas de valorar mediante ecografía, por su poca altura. Los ultrasonidos son útiles en el control evolutivo para evaluar si presentan crecimiento. Se caracterizan por tener una reflectividad alta y una estructura interna homogénea (Figura 6).

Figura 6. Nevus coroideo
Hemangioma coroideo
Puede presentarse de manera circunscrita, cupuliforme (Figura 7) en el polo posterior (típica en adultos), o difusa, con engrosamientos coroideos, asociada al síndromede Sturge-Weber (más típico en la infancia). En ambas formas las lesiones se caracterizan por ser sólidas, homogéneas con alta reflectividad (por las múltiples paredes vasculares) (Figura 8), con flujo vascular interno lento y, por lo tanto, ausencia de pulso vascular. En ambos casos el desprendimiento de retina asociado es raro.

Figura 7. Hemangioma coroideo cupuliforme.

Figura 8. Eco A en la que se observa una alta reflectividad interna del tumor.
Hemangioma capilar retiniano
Son lesiones vasculares redondeadas, sólidas y de alta reflectividad. No presentan excavación coroidea ni sombra acústica. En ocasiones pueden mostrar tracción fibrovascular y desprendimiento de retina exudativo, que da lugar a una imagen de “tumor flotante” (Figura 9).

Figura 9. Hemangioma capilar retiniano con desprendimiento de retina asociado, que da una imagen de “tumor flotante”.
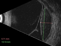
Metástasis coroideas
Representan el tumor maligno intraocular más frecuente. Puede haber una o múltiples lesiones, de aparición unilateral o bilateral.Característicamente se encuentran en el polo posterior, son planas, difusas, con superficie irregular (Figura 10), y pueden asociar desprendimiento de retina exudativo desproporcionado al tamaño del tumor en comparación con el causado por el melanoma coroideo.
Su reflectividad es media-alta y son típicamente heterogéneas (Figura 11). Presentan atenuación moderada y ausencia de pulso vascular. Rara vez causan desprendimiento coroideo exudativo o sangrado.

Figura 10. Metástasis coroidea de superficie irregular en la eco B.

Figura 11. Diferentes grados de reflectividad en el interior del tumor debidos a su heterogeneidad.
Para finalizar mostramos un resumen con las principales características ecográficas de los diferentes tumores para facilitar su diagnóstico diferencial (Tabla 1).

Tabla 1. Diagnóstico diferencial con las principales característica ecográficas de los tumores intraoculares más relevantes.
Bibliografía recomendada
- Ryan, Stephen J. Diagnostic ultrasound. Retina. St. Louis: Mosby; 1989;191-273.
- Mascaró Ballester F, Mascaró Zamora F, Caminal Mitjana JM. Atlas de ecografía ocular. Barcelona: Glosa; 2007.
- Scott IU, Murray TG, Hughes J. Evaluation of imaging techniques for detection of extraocular extension of choroidal melanoma. Arch Ophthalmol. 1998;116(7):897-9. doi:10.1001/archopht.116.7.897.
- Sobottka B, Kreissig I. Ultrasonography of metastases and melanomas of the choroid. Curr Opin Ophthalmol. 1999;10(3):164-7.

