2Hospital Sant Joan de Déu, Esplugues de Llobregat. Barcelona
CORRESPONDENCIA
Hospital de Bellvitge.
L'Hospitalet de Llobregat. Barcelona
E-mail: comasbedmar@gmail.com
A la exploración oftalmológica presentaba una agudeza visual bajo corrección óptica de 1.0 en ambos ojos. La refracción utilizada por el paciente era la siguiente: 10º -1.0D +3.75D en el ojo derecho y +2.5D de valor esférico en el ojo izquierdo, sin componente cilíndrico. La biomicroscopía en lámpara de hendidura del polo anterior no presentaba alteraciones a destacar. Las imágenes de fondo de ojo se presentan a continuación.

Figura 1. Imágenes de fondo de ojo.
En la exploración funduscópica se observa una lesión pequeña, oval, hiperpigmentada, bien delimitada, de aspecto plano localizada a las 9h de la retina ecuatorial del ojo izquierdo (Figura 1c). El resto de las estructuras del fondo de ojo no presentaban alteraciones destacables.
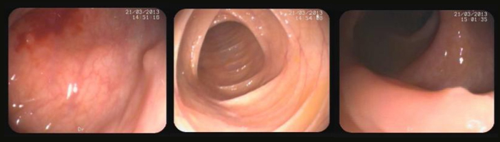
Investigando en la anamnesis, se había realizado recientemente al paciente una colonoscopia en la que destacaban las siguientes imágenes.

Figura 2. Imágenes sugestivas de pólipos (flechas) en sigma.
De acuerdo con la anamnesis y los hallazgos de la exploración física y oftalmológica del paciente, ¿cuál de las siguientes afirmaciones parece la más correcta?.
a. La lesión retiniana es compatible con un hamartoma simple de retina, y no presenta relación alguna con los hallazgos en la colonoscopia.
b. La lesión retiniana es compatible con una lesión retiniana pigmentada que, junto con las imágenes de pólipos colónicos sugiere el diagnóstico de Poliposis Adenomatosa Familiar.
c. Se trata de un nevus coroideo, su presencia en pacientes con pólipos colónicos aumenta la probabilidad que las lesiones colónicas evolucionen a carcinoma.
d. La imagen en la retina parece una espícula periférica, por lo que ha de sospecharse una distrofia retiniana en fase inicial y deberíamos indagar más ampliamente sobre los antecedentes de ceguera en la família.
e. La presencia de lesiones retinianas pigmentadas y pólipos colónicos en edad pediátrica debe hacer sospechar de Síndrome de Peutz-Jeghers.
Respuesta correcta: b
Bibliografía
- Traboulsi EI. Pigmented and depigmented lesions of the ocular fundus. Curr Opin Ophthalmol. 2012;23:337-43.
- Half E, Bercovich D, Rozen P. Familial adenomatous polyposis. Orphanet J Rare Dis. 2009;4:22.

