Volumen 20 - Número 2 - Abril-Junio 2012
Actualización en la cirugía extracapsular de catarata, túnel escleral y extracción de la catarata mediante “técnica del anzuelo”
J. Jiménez-Benito1,5, J. Loscos Arenas2,5, C. Moser Wurth3,5, M. Ferran Fuertes3,5, J. Cámara Hermoso4,5 (Incluye vídeo)
1Licenciado en Medicina. Complejo Hospitalario de Burgos
2Licenciado en Medicina, Hospital Universitari “Germas Trias i Pujol” Badalona
3Licenciado en Oftalmología, Hospital General de l’Hospitalet de Llobregat
4Doctor en Medicina
5Proyecto Visión. Asociación Médica para la Prevención de la Ceguera
2Licenciado en Medicina, Hospital Universitari “Germas Trias i Pujol” Badalona
3Licenciado en Oftalmología, Hospital General de l’Hospitalet de Llobregat
4Doctor en Medicina
5Proyecto Visión. Asociación Médica para la Prevención de la Ceguera
CORRESPONDENCIA
RESUMEN
Objetivos/ métodos: La principal causa de ceguera de causa evitable en el mundo es la catarata. Presentamos una técnica creada en 1997 en el Lahan Eye Hospital, Nepal, de cirugía extracapsular de catarata con túnel escleral que no precisa de sutura.
Resultados/conclusiones: Consideramos la cirugía extracapsular de catarata con túnel escleral la técnica de elección en países en vías de desarrollo donde existe un gran número de pacientes, por lo que se requiere de una técnica rápida, que precise poco instrumental quirúrgico y con bajo coste económico. Esta técnica quirúrgica permite una rehabilitación visual precoz y poco tiempo de seguimiento del paciente.
Resultados/conclusiones: Consideramos la cirugía extracapsular de catarata con túnel escleral la técnica de elección en países en vías de desarrollo donde existe un gran número de pacientes, por lo que se requiere de una técnica rápida, que precise poco instrumental quirúrgico y con bajo coste económico. Esta técnica quirúrgica permite una rehabilitación visual precoz y poco tiempo de seguimiento del paciente.
RESUM
Objectius/mètodes: La principal causa de ceguera de causa evitable en el món és la cataracta. Presentem una tècnica creada al 1997 en el Lahan Eye Hospital, Nepal, de cirurgia extracapsular de cataracta amb túnel escleral que no precisa sutura.
Resultats/conclusions: Considerem la cirurgia extracapsular de cataracta amb túnel escleral la tècnica d’elecció en països en vies de desenvolupament on existeix un gran nombre de pacients, pel que es requereix d’una tècnica ràpida, que precisa poc instrumental quirúrgic i amb baix cost econòmic. Aquesta tècnica quirúrgica permet una rehabilitació visual precoç i poc temps de seguiment del pacient.
Resultats/conclusions: Considerem la cirurgia extracapsular de cataracta amb túnel escleral la tècnica d’elecció en països en vies de desenvolupament on existeix un gran nombre de pacients, pel que es requereix d’una tècnica ràpida, que precisa poc instrumental quirúrgic i amb baix cost econòmic. Aquesta tècnica quirúrgica permet una rehabilitació visual precoç i poc temps de seguiment del pacient.
ABSTRACT
Purpose/methods: The main cause of avoidable blindness all over the world is cataract. We describe a technique created in 1997 in Lahan Eye Hospital, Nepal, about extracapsular surgery using scleral tunnel without suture.
Results/conclusions: We consider extracapsular surgery using scleral tunnel is the best technique in developing countries where number of patients is extremely high and thereby a fast technique, simple microsurgical instruments and low cost are required. This technique allows early visual rehabilitation and short time of patients follow-up.
Results/conclusions: We consider extracapsular surgery using scleral tunnel is the best technique in developing countries where number of patients is extremely high and thereby a fast technique, simple microsurgical instruments and low cost are required. This technique allows early visual rehabilitation and short time of patients follow-up.
Introducción
La catarata es la primera causa de ceguera de causa evitable en el mundo, consideramos la última cifra facilitada por la OMS del año 2002, según la cual se estima que existen unos 18 millones de personas ciegas y 60 millones con baja visión debido a cataratas1. La definición de ceguera y baja visión según la OMS en su International Statistical Classification of Diseases, Injuries and Causes of Death, 10ª revision:- Baja visión, se define como la agudeza visual inferior a 0.33 pero igual o mejor que 0.05, o una pérdida de campo visual menor de 20º del punto de fijación, en el mejor ojo y con la mejor corrección posible. Se considera entre 0.33 y 0.1 baja visión leve, y entre 0.1 y 0.05 baja visión grave2,3.
- Ceguera, se define como la agudeza visual menor de 0.05 o pérdida campo visual menor de 10º del punto de fijación, en el mejor ojo y con la mejor corrección posible1.
Maniobras quirúrgicas
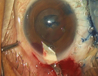
Presentamos una técnica de cirugía extracapsular de catarata iniciada en el año 1997 en el hospital de Sagarmatha Choudhary Eye en Lahan, Nepal. Esta técnica se realiza con anestesia retrobulbar o peribulbar. Apertura conjuntival perilímbica base fórnix, incisión en esclera a unos 2 mm de limbo y una longitud entre 5 mm a 9 mm dependiendo del tamaño de la catarata (Figura 1) en forma de “sonrisa invertida” o bien incisión lineal de localización superior o temporal , que no precisa sutura de tracción y está especialmente indicada en cirugía combinada. Tallado de túnel escleral con tunelizador y con una profundidad de mitad del espesor de la esclera entrando en córnea clara en 1 a 2 milímetros (Figura 2), considero que este es el paso con más dificultad técnica. Apertura de cámara anterior con cuchillete angulado de faco de 3.2 mm o 2.8 mm ampliando la incisión en córnea a los laterales para conseguir una apertura de la cámara anterior mayor en córnea que el túnel escleral (esta maniobra se facilita si se repone la cámara anterior con viscoelástico, que puede ser hidroxipropilmetilcelulosa por tener menor coste) (Figura 3), el mismo cuchillete de faco se puede utilizar para hacer la capsulotomía tipo sobre. Después se hace hidrodisección de la catarata y se luxa parcialmente del saco, se vuelve a colocar viscoelástico debajo de la catarata y se introduce una aguja de 30 g modificada con forma de anzuelo (Ver video: Maniobra de extracción del núcleo)6 para extraer la catarata por el túnel escleral. Esta maniobra también puede hacerse con asa normal o con asa con irrigación. Después se lavan masas con cánula manual de doble vía tipo Simcoe, se implanta la lente intraocular (LIO) previo llenado del saco con viscoelástico y finalmente se corta la cápsula anterior y se aspira el viscoelástico. Se comprueba que la cámara anterior se mantiene formada y por tanto el túnel escleral está estanco y no precisa de sutura (Figura 4). El túnel escleral no siempre precisa sutura pero sí es recomendable cuando la incisión es superior un punto de sutura nylon 10/0 para evitar astigmatismos en contra de la regla. No es necesario suturar conjuntiva. Comentar que esta técnica permite realizar una paracentesis de ayuda, y, con o sin Vision Blue®, hacer capsulorexis para un mejor centrado de la lente, aunque requiere pericia por el cirujano siendo más difícil de hacer que por córnea clara, además se recomienda una capsulorexis grande para poder extraer el núcleo que en muchos pacientes es una catarata madura.Video Maniobra de extracción del núcleo6

Figura 1

Figura 2

Figura 3

Figura 4
Conclusión
La cirugía de túnel escleral para extracción de la catarata es una excelente técnica cuando existe un gran volumen de pacientes porque precisa poco instrumental quirúrgico, se puede realizar con muy pocos medios (microscopio o incluso telelupas), permite una rápida recuperación de la visión, poco tiempo de seguimiento postoperatorio (si precisa sutura en incisión escleral no es necesario retirarla porque está recubierta por conjuntiva) y es una técnica muy barata. Por todas estas características, está indicada en países en desarrollo, donde la catarata es un problema sanitario de primer orden y existe escasez de recursos. La técnica ofrece unos magníficos resultados, comparables incluso a la facoemulsificación por la rapidez de recuperación la visión, y precisar poco tiempo de control postoeperatorio4,7. El daño sobre el endotelio corneal es menor que con la facoemulsificación y en las cataratas maduras es un factor a tener presente. El aprendizaje de esta técnica para un cirujano que conozca la cirugía extracapsular no es muy difícil siendo el túnel escleral la parte que consideramos más difícil destacando la importancia de entrar en córnea clara con el tunelizador 1-2 mm (Figura 2).El mayor problema que existe es la opacificación de cápsula posterior debido en gran medida al material de la LIO, no a la técnica quirúrgica, ya que el implante habitual es polimetilmetacrilato (PMMA) que ocasionan más fibrosis de la cápsula posterior que las lentes acrílicas de facoemulsificación. El coste de estas lentes no permite su uso masivo en los pacientes con catarata en países en desarrollo, debido en gran medida a los derechos de patente que no permite su producción por otras empresas para que se pueda abaratar su precio.
El porcentaje de pacientes operados con túnel escleral es considerado un indicador de calidad en los países en desarrollo por sus excelentes resultados y su relación coste/efectividad. En dos hospitales en Nepal, Sagarmatha Choudhary Eye Hospital y en Biratnagar Eye Hospital, se operaron en el año 2010 la abrumadora cifra de 68.899 cataratas, de las cuales 52.547 fueron con la técnica del túnel escleral, 13.593 mediante facoemulsificación, 1.388 extracapsular con sutura, 1.200 cataratas en niños, 171 clasificados como otros procedimientos de extracción del cristalino8.
Creemos que es conveniente conocer otras técnicas quirúrgicas ya que esta crisis económica global puede hacer replantear las propias técnicas en función del coste económico. Es lo que tiene el futuro, no sabemos lo que nos puede esperar.
Bibliografía
- Johnson GJ, Minassian DC, Weale RA, West SK. The Epidemiology of eye disease. Second edition. London: Arnold Hodder Headline Group, 2003.
- Apple DJ, Ram J, Foster A, Peng Q. Blindness in the world. Surv Ophthalmol 2000; 45(Supp 1):S21-31.
- Schwab L, Taylor HR, Nauze JL. Cataract and delivery of surgical services in developing nations. In: Duanes’s Clinical Ophthalmology. Philadelphia: Lippincott Williams & Wilkins; 2001; V: Chapter 57.
- Natchiar G. Manual Small Incision Cataract Surgery. Second Edition. Madurai: Aravind Eye Hospital & Postgraduate Institute of Ophthalmology, 2004.
- Brian G, Tylor H. Cataract blindness-challenges for the 21st century. Bulletin of the World Health Organization 2001;79:249-56.
- Extracción extracapsular de catarata por túnel escleral sin suturas: conceptos y trucos. Miriam Ferran Fuertes, Carlos Luís Moser Wurth, Andrés Bujan Rivas. Servei d'Oftalmologia. Hospital General de L'Hospitalet. Consorci Sanitari Integral.
- Henning A, Kumar J, Yorston D. Sutureless catataract surgery with nucleus extraction: outcome of a prospective study in Nepal. Br J Ophthalmol 2003;87:266-70.
- Annual Report 2010 [página en internet]. Eastern Regional Eye Care Programme. Sagarmatha Choudhary Eye Hospital en Lahan y Biratnagar Eye Hospital en Biratnagar; 2010 [consultado 7 de noviembre 2011]. Disponible en: http://www.erec-p.org/images/stories/erec-p/pdfs/annual_report_2010.pdf

