Volumen 23 - Número 5 - Diciembre 2015
Enfermedad de Stargardt y tratamiento con isotretinoína
P. Garcia Bru, E. Cobos, M. Rubio
Servicio de Oftalmología. Hospital Universitari de Bellvitge
CORRESPONDENCIA
Pere Garcia Bru
E-mail: p.garcia@bellvitgehospital.cat
E-mail: p.garcia@bellvitgehospital.cat
RESUMEN
Se presenta un caso clínico de enfermedad de Stargardt que fue diagnosticada tras experimentar disminución de agudeza visual al recibir isotretinoína. Dicho fármaco podría enlentecer la progresión de la enfermedad de Stargardt, aunque también puede ocasionar numerosos efectos secundarios, entre los cuales se encuentra la afectación visual ya que puede modificar el funcionamiento del ciclo de la rodopsina.
RESUM
Es presenta un cas clínic de malaltia de Stargardt diagnosticada després d’experimentar disminució de l’agudesa visual associada a isotretinoina. Aquest tractament podria alentir la progressió de la malaltia de Stargardt, tot i que també pot ocasionar nombrosos efectes secundaris, un dels quals és la disminució visual ja que pot modificar el funcionament del cicle de la rodopsina.
ABSTRACT
We report a clinical case of Stargardt disease diagnosed when the patient experienced visual loss after having started isotretinoin. This drug could modify the outcome of Stargardt disease by slowing its progression. Nevertheless it may can cause several side effects including vision loss because it interferes with rhodopsin cycle.
Caso clínico
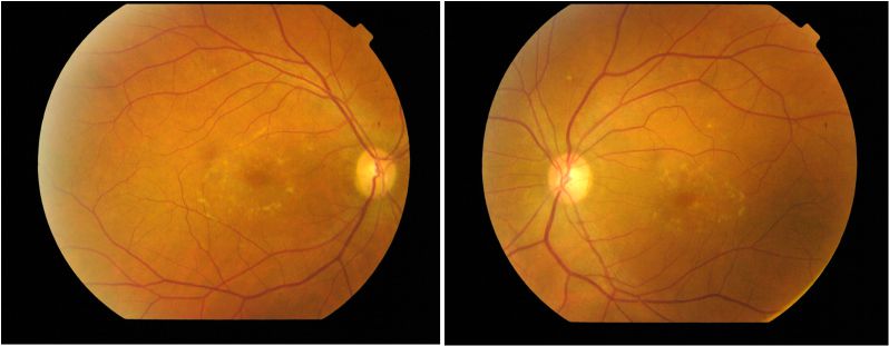
Una mujer de 35 años sin antecedentes médicos, familiares ni oftalmológicos de interés, consultó por disminución visual bilateral tras iniciar una terapia con isotretinoína oral (Roacutan®) indicado para el tratamiento del acné.La agudeza visual con corrección óptica era de 0,15 en el ojo derecho y 0,50 en el ojo izquierdo. El segmento anterior y la presión intraocular no mostraban alteraciones significativas. El fondo de ojo destacaba la presencia de manchas amarillentas maculares en ambos ojos (Figura 1).

Figura 1. Retinografías. Fondo de ojo con coloración de “bronce golpeado” y presencia de flecks perifoveales.
La tomografía de coherencia óptica detectó un adelgazamiento foveal bilateral más pronunciado en el ojo derecho (Figura 2). Se realizó una angiografía con fluoresceína que objetivó silencio coroideo en todas las fases del angiograma y la aparición de múltiples focos hiperfluorescentes alrededor de la fóvea en ambos ojos (Figura 3). La autofluorescencia determinó una hipoautofluorescencia foveal bilateral con presencia de pequeños puntos hiperautofluorescentes perifoveales (Figura 4).

Figura 2. Tomografía de coherencia óptica. Atrofia foveal bilateral más pronunciada en el ojo derecho (imagen de la izquierda).

Figura 3. Angiografía con fluoresceína. Silencio coroideo en todas las fases del angiograma y defecto ventana perifoveal bilateral por atrofia del epitelio pigmentario de la retina.

Figura 4. Autofluorescencia. Hipoautofluorescencia foveal bilateral por atrofia del epitelio pigmentario de la retina y puntos hiperautofluorescentes perifoveales.
En base a los hallazgos descritos de atrofia foveal y la valoración de las pruebas complementarias, se estableció el diagnóstico de enfermedad de Stargardt.
Se procedió a suspender el tratamiento con isotretinoína por la relación temporal entre inicio del tratamiento y afectación visual. La paciente experimentó una ligera mejora visual subjetiva al suspender el fármaco aunque la agudeza visual objetivada en las exploraciones posteriores se mantuvo estable.
Discusión
La enfermedad de Stargardt es la segunda causa más frecuente de distrofia retiniana en nuestro medio. Habitualmente se diagnostica entre la primera y segunda década de la vida y afecta a ambos ojos. Debido a una alteración en el gen ABCA4, existe un acúmulo patológico de lipofucsina en las células del epitelio pigmentario de la retina (EPR) y se puede producir atrofia de los fotoreceptores a nivel foveal. El fondo de ojo característico muestra una retina con una coloración de “bronce golpeado” y en algunos casos aparecen unos puntos amarillentos perimaculares (flecks)1,2.La angiografía con fluoresceína muestra el signo del silencio coroideo debido al bloqueo de la fluoresceína por la acumulación de lipofucsina en EPR. Cuando se establece la atrofia macular es posible observar una hiperfluorescencia secundaria a un defecto ventana por la pérdida del EPR.
En cuanto al tratamiento, se recomienda la protección ultravioleta y evitar los suplementos de vitamina A. Es posible que la terapia génica pueda beneficiar a los pacientes con esta enfermedad en un futuro cercano.
La isotretinoína (ácido 13-cis-retinoico) es un fármaco del grupo de los retinoides, derivados de la vitamina A, muy utilizado en dermatología para el tratamiento del acné. Puede provocar numerosos efectos secundarios entre los cuales destaca su capacidad teratogénica. A nivel ocular ocasiona frecuentemente sequedad ocular pero también se ha descrito la posibilidad de pérdida visual durante la administración del fármaco secundaria a una modificación bioquímica del ciclo visual de la rodopsina.
La rodopsina es una proteína transmembrana de los discos de los fotoreceptores de la retina y es responsable de la fototransducción. Consta de una parte proteica, la opsina, y una no proteica, el 11-cis-retinal, la cual es inestable y se altera fácilmente con la luz cambiando su estructura molecular a 11-trans-retinal3.
En algunos estudios con animales se ha demostrado que la administración exógena de la isotretinoína (13-trans-retinol) interfiere en el normal funcionamiento del ciclo visual de la rodopsina, enlenteciendo el mismo. Esto podría beneficiar a algunos sujetos en los que se produce un acúmulo patológico de lipofucsina como consecuencia del exceso de formación de dicho pigmento como consecuencia de cada ciclo visual4,5.
Evidentemente la reducción del funcionamiento bioquímico del ciclo de la rodopsina puede ser percibido por el paciente en forma de disminución visual si éste es modificado de una forma significativa y sobretodo en caso de existir una patología previa de los fotoreceptores maculares.
Conclusiones
La enfermedad de Stargardt es una distrofia retiniana para la cual no existe un tratamiento causal efectivo en la actualidad. Se ha descrito la posibilidad de retrasar la pérdida visual en estos pacientes mediante el tratamiento con isotretinoína, ya que dicho fármaco interfiere en el ciclo visual de la rodopsina y podría enlentecer la acumulación de lipofucsina en el epitelio pigmentario de la retina. Sin embargo, la modificación del funcionamiento del ciclo visual por isotretinoina, podría aumentar la incidencia de disminución visual secundaria en sujetos con la enfermedad de Stargardt y afectación macular incipiente o moderada como en el caso presentado. No existen ensayos clínicos con un alto nivel de evidencia médica para dar mayor validez a estas conclusiones.Bibliografía
- Haji A, Hirose T. Stargardt-Fundus flavimaculatus: recent advancements and treatment. Semin Ophthalmol. 2013;28(5-6):372-6.
- Sparrow JR, Marsiglia M, Allikmets R, et al. Flecks in Recessive Stargardt Disease: Short-Wavelength Autofluorescence, Near-Infrared Autofluorescence, and Optical Coherence Tomography. Invest Ophthalmol Vis Sci. 2015;56(8):5029-39.
- Adler L, Boyer NP, Chen C, et al. The 11-cis Retinal Origins of Lipofuscin in the Retina. Prog Mol Biol Transl Sci. 2015;134.
- Radu RA, Mata NL, Nusinowitz S, et al. Treatment with isotretinoin inhibits lipofuscin accumulation in a mouse model of recessive Stargardt's macular degeneration. Proceedings of the National Academy of Sciences of the United States of America. 200315;100 (8):4742-7.
- Sieving PA, Chaudhry P, Kondo M, et al. Inhibition of the visual cycle in vivo by 13-cis retinoic acid protects from light damage and provides a mechanism for night blindness in isotretinoin therapy. Proceedings of the National Academy of Sciences of the United States of America. 2001;98(4):1835-40.

