Volumen 21 - Número 2 - Junio 2013
Injerto dermograso
G. Martínez Grau (Incluye vídeo)
Departamento de Oculoplastia del Centro de Oftalmología Barraquer. Barcelona
CORRESPONDENCIA
Gorka Martínez Grau
E-mail: gorka@barraquer.com
E-mail: gorka@barraquer.com
La enucleación o evisceración del globo ocular constituye probablemente la cirugía ocular con mayor repercusión psicológica para el paciente, tanto por las consecuencias funcionales como estéticas que de ella se derivan.
En el manejo de estos pacientes es de gran importancia el conjunto de maniobras que deben llevarse a cabo para asegurar un correcto resultado estético como el mantenimiento de la funcionalidad de los párpados y la conservación a largo plazo del volumen de la cavidad anoftálmica. En el tratamiento del aumento de volumen orbitario y sobretodo de las exposiciones de implante es donde el injerto dermograso es una técnica de elección.
Las indicaciones actuales de los injertos dermograsos se pueden resumir en las siguientes: alteraciones de los implantes orbitarios (exposición o extrusión), deformidades del surco superior, contracción del socket o como técnica combinada coincidiendo con la enucleación.
La técnica que se realiza actualmente fue descrita inicialmente por Smith y Petrelli en 1978, y aportó como novedad el uso de injertos combinados de grasa y dermis, lo que mejoró los resultados por dos motivos: la dermis minimizaba la reabsorción de la grasa, y servía de estructura de soporte a la conjuntiva, con lo que se conseguía una mayor hermeticidad y uniformidad de la superficie.
A continuación describiremos los pasos intraoperatorios de la técnica empleada.
A continuación, con el mismo bisturí penetramos por el borde de la circunferencia, de manera totalmente perpendicular a la superficie de la piel, hasta unos 2 centímetros de profundidad, y seguimos los límites del círculo hasta completarlo. Al final de esta maniobra la grasa subdérmica tiende a protruir hacia el exterior por sí misma, con lo que sólo nos queda recortar la base con tijeras de Stevens. Esta cavidad se sutura fácilmente en dos planos.
Una vez concluida la cirugía, colocamos un conformador de plástico rígido sobre un colchón de pomada antibiótica. La presencia de este conformador-protector nos permite tanto controlar la evolución, como facilitar la instilación de colirios antibióticos y antiinflamatorios, sin necesidad de retirarlo, gracias a los orificios que presenta.
A los 3 meses de la cirugía, la superficie dérmica se presenta completamente lisa y conjuntivalizada, lo que permite al ocularista adaptar la pertinente lente cosmética.
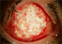
Presentamos dos casos de ejemplo de buen resultado de implante dermograso (Figuras 1 a 7).
En el manejo de estos pacientes es de gran importancia el conjunto de maniobras que deben llevarse a cabo para asegurar un correcto resultado estético como el mantenimiento de la funcionalidad de los párpados y la conservación a largo plazo del volumen de la cavidad anoftálmica. En el tratamiento del aumento de volumen orbitario y sobretodo de las exposiciones de implante es donde el injerto dermograso es una técnica de elección.
Las indicaciones actuales de los injertos dermograsos se pueden resumir en las siguientes: alteraciones de los implantes orbitarios (exposición o extrusión), deformidades del surco superior, contracción del socket o como técnica combinada coincidiendo con la enucleación.
La técnica que se realiza actualmente fue descrita inicialmente por Smith y Petrelli en 1978, y aportó como novedad el uso de injertos combinados de grasa y dermis, lo que mejoró los resultados por dos motivos: la dermis minimizaba la reabsorción de la grasa, y servía de estructura de soporte a la conjuntiva, con lo que se conseguía una mayor hermeticidad y uniformidad de la superficie.
A continuación describiremos los pasos intraoperatorios de la técnica empleada.
Preparación de la cavidad orbitaria (Video 1)
En aquellos casos de exposición del implante por debajo de la capa de Tenon, realizamos peritomía conjuntival de 360 grados y profundizamos con las ramas de la tijera de Stevens en los cuadrantes nasales y temporales (superior e inferior) con la intención de conseguir el suficiente espacio donde introducir la grasa del injerto que previamente habremos dividido en cuatro partes, por la cara opuesta a la dermis, para un perfecto encaje. En los pacientes afectos de retracción de bolsillo anoftálmico, deberemos conseguir asimismo un espacio orbitario virtual a partir de una incisión conjuntival para colocar el injerto del modo anteriormente descrito.Obtención del botón donante (Video 2)
Lo extraemos del cuadrante superoexterno del glúteo, una zona que presenta las características idóneas en cuanto a volumen de grasa y carencia de repercusiones estéticas. Dibujamos con un marcador un círculo de 2 cm de diámetro que remarcaremos con bisturí, con el que delaminaremos la epidermis traccionando con pinza de Adson. Es importante "limpiar" todo el círculo dejando la dermis lisa y totalmente expuesta, que se nos muestra con su aspecto rosado y discretamente sangrante.A continuación, con el mismo bisturí penetramos por el borde de la circunferencia, de manera totalmente perpendicular a la superficie de la piel, hasta unos 2 centímetros de profundidad, y seguimos los límites del círculo hasta completarlo. Al final de esta maniobra la grasa subdérmica tiende a protruir hacia el exterior por sí misma, con lo que sólo nos queda recortar la base con tijeras de Stevens. Esta cavidad se sutura fácilmente en dos planos.
Sutura y finalización de la cirugía (Video 3)
Suturamos Tenon y conjuntiva por separado encima de la dermis con la opción de la sutura de los músculos rectos en la dermis del injerto, lo que nos proporciona mejores resultados estéticos al incrementar la movilidad de la prótesis.Una vez concluida la cirugía, colocamos un conformador de plástico rígido sobre un colchón de pomada antibiótica. La presencia de este conformador-protector nos permite tanto controlar la evolución, como facilitar la instilación de colirios antibióticos y antiinflamatorios, sin necesidad de retirarlo, gracias a los orificios que presenta.
A los 3 meses de la cirugía, la superficie dérmica se presenta completamente lisa y conjuntivalizada, lo que permite al ocularista adaptar la pertinente lente cosmética.
Presentamos dos casos de ejemplo de buen resultado de implante dermograso (Figuras 1 a 7).








