Carcinomas Basocelular y Epidermoide de cantos internos simultáneamente en paciente con Síndrome de Steinert
JC. Sánchez España1, M. Cobos Fernández1, S. Pérez Padilla1, MC. González Gallego2.
La enfermedad de Steinert es una enfermedad multi-sistémica con afectación cardiaca, muscular, cerebral, dermatológica y oftalmológica. Se presenta un caso de un paciente varón de 40 años con lesiones en la piel los cantos internos de ambos ojos informadas por el servicio de anatomía patológica como Carcinoma Basocelular y Epidermoide. Se describe el manejo y reconstrucción posterior.
La malaltia d'Steinert és una afecció multisistèmica amb afectació cardíaca, muscular, cerebral, dermatològica i oftalmològica. Es presenta un cas d'un pacient, home de 40 anys amb lesions a la pell dels cantos interns d'ambdós ulls, informats pel servei d'anatomia patològica com a carcinoma basocelular i epidermoide. Es descriu la tècnica quirúrgica d'exèresi i reconstrucció posterior.
Steinert 's disease is a multi - systemic disease with heart, muscle, brain, dermatologic and ophthalmic affection. A case of a 40 years old male patient with skin lesions the inner edges of both eyes informed by the pathology department as basal cell and squamous cell carcinoma. Describing the management and subsequent reconstruction.
Introducción
La enfermedad de Steinert o Distrofia Miotónica tipo 1 (DM1) es una enfermedad hereditaria autosómica dominante, multisistémica crónica. Es considerada la distrofia muscular más común del adulto, con una prevalencia en Europa de 1:10.000
1. Se caracteriza por una reducción de la masa muscular con miotonía, cataratas sub-capsulares posteriores, defectos en la conducción del impulso cardíaco, cambios endocrinos, alteraciones cerebrales e infertilidad
2. Presentamos el caso de un paciente varón de 40 años con diagnóstico de DM1 quien presenta lesiones en ambos cantos internos informadas por el servicio se anatomía patológica como Carcinoma Basocelular en OD y Epidermoide en OI. Mostrando el tratamiento y su reconstrucción posterior. No se encuentra caso similar descrito anteriormente en la literatura.
Caso clínico
Paciente varón de 40 años, de piel blanca y trabajador del campo, con antecedentes patológicos de DM1 diagnosticada por el servicio de Neurología, Retraso metal leve y bloqueo cardiaco, quien acude refiriendo aparición de lesiones en la piel de los cantos internos de ambos ojos de aproximadamente 6 meses de evolución que han ido aumentando de tamaño progresivamente.
Al examen físico se observa un paciente con fenotipo típico de facies alargadas como de hacha y calvicie frontal. Como antecedentes oftalmológicos de importancia destaca una pseudo-faquia por cataratas en ambos ojos descritas en la historia clínica como en “árbol de navidad”. En la exploración llama la atención una blefaroptosis bilateral a nivel de la pupila. Se observa en canto interno del ojo derecho una lesión nodular de superficie perlada sobre-elevada con telangiectasias y centro deprimido de 1.3 x 1 cm. En canto interno del ojo izquierdo se observa una lesión de aspecto queratinoso de 0.8 x 1cm en forma de placa. Ninguna adherida a planos profundos (
Figura 1).

Figura 1. Imagen preoperatoria del paciente que muestra detalle en la lesión de canto interno OD.
Se decide realizar biopsia excisional de ambas lesiones dejando un margen de seguridad de 3 mm marcando sus bordes con seda 6-0 y reconstrucción diferida a las 48 h con el reporte de anatomía patológica.
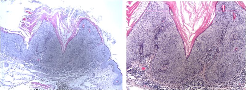
La biopsia es reportada como: OD. Múltiples nidos de células basalioides, en disposición aleatoria y con agrupamiento de células en la periferia, a modo de empalizada, rodeados por unos espacios claros “de retracción” los núcleos son hipercromáticos con citoplasma escaso y mal definido. Diagnóstico: Carcinoma Basocelular nodular ulcerado que no alcanza los bordes de resección sin invasión perineural ni vasculo linfática (
Figura 2a). OI. Células epiteliales escamosas con núcleos alargados y pleomórficos con mitosis confinado a la epidermis.

Figura 2a. Carcinoma Basocelular (H-E. X 5 y 20).
Diagnóstico
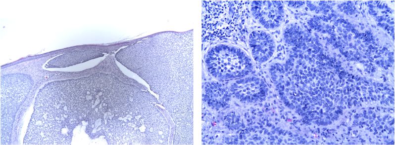
Carcinoma epidermoide
“In situ” (intra-epitelial) que alcanza los bordes de resección superior, externo y próximo al borde profundo. Asociado a esto se encuentran zonas de queratosis actínica con displasia leve (
Figura 2b).

Figura 2b. Carcinoma Epidermoide in situ (H-E. X 5 y 10).
Posteriormente se realiza la reconstrucción del canto interno del ojo derecho mediante un colgajo glabelar en isla reavivando la zona cruenta y dejando un pedículo sub-dérmico nutricio (
Figura 3). En el canto interno del ojo izquierdo, cuyos márgenes resultaron afectos, se decide ampliar la resección 3 mm con reporte de biopsia intra-operatoria de bordes de resección con usencia de signos de malignidad. Se decide dejar cierre por segunda intención. En revisiones posteriores a los 9 meses aun no se aprecian signos de recidiva local con buen aspecto estético y funcional (
Figura 4).

Figura 3. Colgajo glabelar pediculado para reconstrucción de canto interno en OD.

Figura 4. Estado del paciente a los 9 meses post operatorio.
Discusión
La enfermedad de Steinert afecta múltiples órganos, a nivel dermatológico tienen mayor prevalencia de alopecia, dermatitis seborreica, y enfermedades inflamatorias; en ocasiones encontrándose patología proliferativa de los anejos
3. Nuestro paciente tiene piel tipo 1 y antecedente de exposición solar lo cual guarda relación directa con las de tumores de la piel. La aparición de diferentes tipos de neoplasias dermatológicas en un mismo paciente es mas común de personas con patologías de base predisponentes tipo Xeroderma pigmentoso
4, no siendo el caso del las DM1. Es muy importante el papel que juega el patólogo ya que dependiendo de su diagnóstico histológico se planea el tratamiento y reconstrucción posterior ya que el objetivo principal es la curación oncológica. Los colgajos en isla desde la glabela aportan una rica vascularización en la zona donante lo que aumenta la probabilidad de éxito
5.
Conclusiones
-
Ante una lesión clínicamente de aspecto maligno el abordaje inicial es biopsia si es posible excisional y su reconstrucción hasta tener márgenes libres de enfermedad.
-
La Enfermedad de Steinert no tiene clara relación con la aparición de neoplasias dermatológicas.
Bibliografía
-
Suominen T, Bachinski LL, Auvinen S, Hackman P, Baggerly KA, Angelini C, Peltonen L, Krahe R, Udd B. Population frequency of myotonic dystrophy: higher than expected frequency of myotonic dystrophy type 2 (DM2) mutation in Finland. Eur J Hum Genet. 2011; 19:776-82.
-
Campanati A, Giannoni M, Buratti L, Cagnetti C, Giuliodori K, Ganzetti G, et al. Skin features in myotonic dystrophy type 1: An observational study. Neuromuscul Disord. 2015;25:409-13.
-
Stieler W, Plewig G. Multiple basaliomas in Curschmann Steinert myotonia atrophica. Hautarzt. 1986;37(4):226-9.
-
El-Hayek M, Lestringant GG, Frossard PM. Xeroderma pigmentosum in four siblings with three different types of malignancies simultaneously in one. J Pediatr Hematol Oncol. 2004;26(8):473-5.
-
Morrison WA, Donato RR, Breidahl AF, Theile DR, Callan PP. Island inner canthal and glabellar flaps for nasal tip reconstruction. Br J Plast Surg. 1995;48:263-70.