S. Jordán M. Abia, F. Mascaró
Introducción
Durante los años 70 y 80 se implantó el uso de las bandas esclerales de hidrogel para el manejo del desprendimiento de retina. En los años 90 este material fue retirado dado el creciente número de pacientes con complicaciones tardías
1-3.
Se cree que la principal causa de las complicaciones es la capacidad del hidrogel para absorber líquido y aumentar su volumen, creando un efecto masa a la vez que el material pierde su resistencia y propiedades elásticas. De este modo, puede aparecer adelgazamiento del lecho escleral, migración y fragmentación del implante, restricción de los movimientos oculares, estrabismo, diplopia y/o simular un tumor intraorbitario
1-3.
A continuación se presentan dos casos de complicaciones tardías secundarias a bandas de hidrogel y su abordaje quirúrgico.
Caso 1
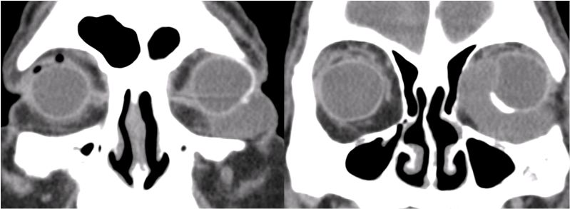
Varón de 82 años, miope con antecedente de desprendimiento de retina en el ojo izquierdo (OI) y cirugía de cataratas en ambos ojos, 33 y 26 años antes, respectivamente. Refería esotropia del OI y la presencia de una tumoración de 20 años de evolución en el tercio externo del párpado inferior del mismo. La exploración mostraba una tumoración subcutánea de superficie roma, consistencia gomosa, no adherida a planos profundos, con extensión a región intraorbitaria; y limitación de los movimientos oculares en todas direcciones sin diplopia asociada por baja visión.
La tomografía computerizada revelaba una masa isodensa respecto al globo ocular, homogénea y bien definida, con extensión desde la región más anterior, temporal e inferior de la órbita, hacia su región medial más posterior, afectando al músculo recto medial y alterando la morfología del globo ocular (
Figura 1).

Figura 1. TC orbitario (cortes coronales). Se aprecia una masa isodensa, homogénea, bien delimitada que rodea el globo ocular izquierdo desde su porción anterior, temporal e inferior hacia región medial más posterior.
Caso 2
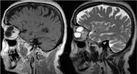
Mujer de 77 años derivada por diplopia binocular vertical de un año de progresión. Como antecedentes oftalmológicos, la paciente refería ambliopía y cirugía de desprendimiento de retina y de catarata 20 años antes en ojo derecho (OD). La exploración revelaba la presencia de 3mm de exoftalmos y limitación a la dextro- y supralevoversión del OD.
La resonancia magnética mostraba una lesión bien delimitada, homogénea e hipointesa en T1 e hiperintensa en T2, localizada en el cuadrante nasal superior y sin captación de contraste (
Figura 2 y
Tabla 1).

Figura 2. RMN (cortes sagitales). Izquierda: imagen de T1 que muestra una lesión de márgenes delimitados, homogénea e hipointensa que comprime el globo ocular desde su región superior. Derecha: imagen en T2 con la misma masa hiperintensa.

Tabla 1. Comparativa de los dos pacientes.
Discusión
El tratamiento de las complicaciones se realiza mediante la extracción quirúrgica del material hidratado. Característicamente el hidrogel es friable y difícil de eliminar, pudiendo permanecer material residual; asimismo es habitual el adelgazamiento del lecho escleral con el consecuente riesgo de perforación ocular. Revisando la literatura son diferentes los métodos empleados: desde abordaje por una o múltiples incisiones de diferente localización, al uso de diferentes instrumentos quirúrgicos. Es un hecho contrastado que el uso de instrumentos romos disminuye el riesgo de perforación ocular y la fragmentación del material durante su extracción. Existen técnicas descritas con pinzas sin dientes, ganchos de estrabismo, periostotomos, cánulas de aspiración, etc.
En los casos presentados, ambos pacientes fueron intervenidos mediante una única incisión por vía transpalpebral (sobre párpado inferior en el primera caso y superior en el segundo). La extracción del hidrogel se realizó mediante una cucharilla de evisceración como instrumento principal para minimizar la fragmentación y a su vez proteger la esclera. Se obtuvo un material inorgánico, translúcido, extremadamente friable envuelto por una fina cápsula fibrosa (
Figura 3 y
Figura 4). Como único hallazgo remarcable, en el primer caso quedaron mínimos restos en la porción medial. Ningún caso presentó complicaciones intra o postquirúgicas.

Figura 3. Imagen del abordaje quirúrgico en que se muestra la cápsula fibrosa abierta con restos de material obtenido de aspecto translúcido.

Figura 4. Final de la cirugía con todo el contenido extraído.
Tras la recuperación, los movimientos oculares mejoraron claramente en el primer caso; el segundo presentó una recuperación completa con desaparición de la diplopia.
Conclusión
La extracción de la banda escleral de hidrogel es un método seguro y efectivo para tratar las complicaciones tardías producidas por este material. Para ello es importante planificar previamente el abordaje quirúrgico con ayuda de pruebas de imagen.
Dadas las complicaciones técnicas de la cirugía, es recomendable el uso de instrumentos romos. La cucharilla de evisceración resulta cómoda y su vez ayuda a proteger la esclera de la perforación.
Bibliografía
-
Richards AL, Meyer DR. Late complications of hydrogel scleral buckle implants and a technique for effective removal. Ophtal Reconstr Surg. 2012;28:455-8.
-
Kearney JJ, Lahey JM, et al. Complications of hydrogel explants used in scleral buckling surgery. AM J Ophtalmol. 2004;137:96-100.
-
Bernardino CR, Mihora Ld, et al. Orbital complications of hydrogel scleral buckles. Ophtal Plast Reconstr Surg. 2006;22:206-8.c