Uso del acetato de triamcilonona (AT) intravítreo en el tratamiento del desprendimiento de retina mediante cirugía vitreorretiniana
R. Bolados Ugrinovic, A. Boixadera Espax, V. MartÃnez-Castillo  (Incluye vÃdeo)
El uso del AT intravítreo durante la cirugía vitreorretiniana tiene como objetivo permitir la identificación del gel vítreo y la base del vítreo; permitiendo cuantificar la extensión de gel disecado. Se reducen de esta forma los riesgos de incarceración vítrea en esclerotomías, rotura retiniana iatrogénica o desprendimiento de retina. El efecto adverso más frecuente es la Hipertensión ocular (HTO), habitualmente transitorio y fácilmente controlado con medicación tópica. Las indicaciones quirúrgicas más importantes son el desprendimiento de retina con hialoides posterior aplicada, visualización de incarceración vítrea en esclerotomías, y el pelado de hialoides posterior (HP) durante la cirugía de la membrana epirretiniana y agujero macular.
L'ús de l'AT intravitri durant la cirurgia vitreoretiniana té com a objectiu permetre la identificació del gel vitri i la base del vitri; permetent quantificar l'extensió de gel dissecat. Es redueixen d'aquesta manera els riscos d’incarceració vítria en les esclerotomies, d’esquinç retinià iatrogènic o de despreniment de retina. L'efecte advers més freqüent és la hipertensió ocular (HTO), habitualment transitòria i fàcilment controlable amb medicació hipotensora tòpica. Les indicacions quirúrgiques més importants són el despreniment de retina amb hialoides posterior aplicada, visualització d’incarceració vítria a les esclerotomies, i el pelat de hialoides posterior (HP) durant la cirurgia de la membrana epirretiniana i forat macular.
TA (triamcinolone acetonide) intravitreal use during vitreoretinal surgery facilitate the identification of the vitreous gel; allowing a correct dissection of the posterior hyaloid and base. Therefore it reduces the risk of vitreous incarceration in sclerotomies, tear and retinal detachment. The most common side effect is ocular hypertension (OHT), usually temporary and easily controlled with topical medication. The major surgical indications are retinal detachments with posterior hyaloid applied, vitreous incarceration in sclerotomies and posterior hyaloid peeling (PH) during surgery for epiretinal membrane and macular hole.
Introducción
El acetato de triamcilonona es un esteroide en forma Depot que, pese a no estar formulado para uso oftalmológico, resulta útil en el tratamiento de numerosas enfermedades retinianas, así como en la visualización de diferentes estructuras del polo posterior. El acetónido de triamcinolona (AT) es un derivado sintético de la triamcinolona, cuatro veces más potente que ésta, y ocho veces más potente que la prednisona en modelos animales de inflamación. Sus formas comerciales incluyen el Trigón
®, Kenalog
®, Triesense
® y Trivaris
®, siendo aprobados por la FDA para uso intraocular sólo el Trivaris
® y Triesense®. Se presenta en forma de un polvo cristalino, en suspensión en viales de 1 cc y 40 mg. Es insoluble en agua y soluble en alcohol, metanol y cloroformo. En la presentación comercial Trigón depot® (Squibb Industria Farmacéutica, SA. Barcelona), tiene como vehículo el alcoholbencílico, así como 0,75% de carboximetilcelulosa, 0,04% de polisorbato, e hidróxido sódico y ácido clorhídrico para ajustar el pH final entre 5.0 y 7.5
1. Desde un punto de vista farmacológico el AT es un éster de triamcinolona, lo cual le proporciona su mecanismo depot. En contacto con las esterasas tisulares se produce una desesterificación liberándose la forma activa que es ligeramente más soluble en agua. Su uso en cirugía Vitreorretiniana fue descrito por primera vez por Peyman
2 (
Retina, 2000) como un facilitador en la identificación del gel vítreo.
Los estudios realizados en modelos animales otorgan al AT una vida media de 18,6 días tras la inyección intravítrea de 4 mg en ojos no vitrectomizados frente a tan sólo de 3,2 días para ojos vitrectomizados, siendo detectable la presencia del fármaco a los 93 días de la inyección. El AT disponible comercialmente utiliza alcohol bencílico como disolvente, lo cual se cree puede ser la causa de algunos de los casos producidos de endoftalmitis estériles.
El AT se está utilizando actualmente también en la cirugía vitreorretiniana para facilitar la visualización del vítreo y de la hialoides posterior (HP) y permitir así una vitrectomía más completa y un mejor despegamiento de la hialoides. También se puede emplear en la visualización de las membranas epirretinianas y de la membrana limitante interna, en sustitución de otros colorantes de mayor toxicidad que se venían empleando, como el verde indocianiana y el azul tripán
1-4. Se ha empleado en la visualización del perfluorocarbono líquido al final de la cirugía para facilitar su completa eliminación
5. Otras aplicaciones en cirugía, son la visualización de los restos de vítreo tras la cirugía complicada del segmento anterior
6,7.
A una mayor difusión del empleo del AT contribuye el hecho de reducir la aparición de edemas maculares tras la cirugía, especialmente en pacientes diabéticos, y de reducir el riesgo de proliferación vitreorretiniana.
Técnica Quirúrgica (Vídeo)
Técnica de preparación y uso de AT en cirugía Vitreorretiniana
Se necesita una jeringa de 1cc, donde utilizaremos sólo el decantado del acetónido de triamcinolona (Trigondepot
®) y eliminaremos el sobrenadante como se muestra en la siguiente imagen (
Figura 1).

Figura 1. Preparación acetato de triamcilonona intravitreo.
Luego con una cánula de punta de silicona se procede a la inyección del fármaco en cavidad vítrea ayudado por microscopio, logrando la visualización del gel vítreo y permitiendo de esta forma objetivar de forma más precisa la base del mismo; además de las zonas de tracción y adherencia.
Para obtener la identificación del gel incarcerado en las esclerotomías se realiza el depósito bajo depresión escleral de la esclerotomía permitiendo la identificación completa de las fibras de gel (
Figura 2,
Figura 3, Figura 4 y
Figura 5).

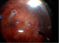
Figura 2. Desprendimiento de retina en Miope magno donde no se aprecia claramente el gel vítreo.

Figuras 3 y 4. Disección de Hialoides posterior ayudado por Triamcilonona y Perfluorocarbono (PFCL) en desprendimiento de retina.

Figura 5. Cavidad vítrea bajo aire, donde no se objetivan restos de PFCL, ni TA.
En un estudio multicéntrico prospectivo (Yamakiri
et al., 2007)
8 con 774 pacientes comparando Vitrectomía pars plana con o sin TA; obtuvieron como resultado la disminución de roturas retinianas y desprendimiento de retina, debido a la utilización de triamcilonona en la visualización del gel; obteniendo como resultado adverso de esta maniobra la hipertensión ocular (HTO) y catarata, debido a que resulta imposible la eliminación completa del corticoide en cavidad vítrea. Esta HTO resultó ser sólo ser transitoria y controlada con medicación tópica.
Las principales indicaciones del uso de TA en cirugía vitreorretiniana son:
-
En la cirugía del desprendimiento de retina, especialmente en pacientes jóvenes con hialoides posterior (HP) aplicada.
-
En pacientes diabéticos con HP engrosada y membrana epimacular9.
-
En pacientes con retinopatía diabética proliferativa.
-
En la cirugía del agujero macular.
-
En la incarceración vítrea en esclerotomías.
Conclusiones
La vitrectomía
pars plana asociando el uso de TA resulta ser una herramienta importante en aquellos casos en los cuales la visualización del gel resulte difícil, asegurando de esta forma la correcta disección de la hialoides posterior y del gel hasta su base, disminuyendo la incarceración vítrea, roturas y desprendimiento de retina. Los efectos adversos son escasos y habitualmente reversibles
Bibliografía
-
Hardman J, Limbird L, Goodman A. Goodman and Gilman’s The pharmacological basis of therapeutics. Décima edición, McGraw-Gil. Chicago 2001;1673-85.
-
Peyman GA, Cheema R, Conway MD, Fang T. Triamcinoloneacetonide as anaid to visualization of thevitreous and the posterior hyaloidduringpars plana vitrectomy. Retina 2000;20:554–5
-
Furino C, Micelli Ferrari T, Boscia F, Cardascia N, Recchimurzo N, Sborgia C. Triamcinolone-assistedpars plana vitrectomy for proliferativevitreoretinopathy. Retina. 2003;23:771-6.
-
Narayanan R, Kenney MC, Kamjoo S, Trinh THT, Seigel GM, Resende GP, Kuppermann BD. (2005). Trypan blue: effect on retinal pigment epithelial and neurosensory retinal cells. Investigative Ophthalmology & Visual Science. 2005;46(1),304–9. doi:10.1167/iovs.04-0703
-
Jonas JB. Intravitreal triamcinoloneacetonide for the treatment of sympatheticophthalmia. Am J Ophthalmol. 2004;137:367-8.
-
Hirata F, Tamura H, Ogura Y. Visualization of residual perfluorocarbon liquidus ing intravitreal triamcinolone acetonide. Ophthalmic Surg Lasers Imaging. 2005;36:169-72
-
Burk SE, Da Mata AP, Snyder ME, Schneider S, Osher RH, Cionni RJ. VisualizingvitreoususingKenalogsuspension. J Cataract Refract Surg. 2003;29:645651.
-
Yamakiri K, Sakamoto T, Noda Y, Nakahara M, Ogino N, Kubota T, Ishibashi T. (2007). Reduced Incidence of Intraoperative Complications in a Multicenter Controlled Clinical Trial of Triamcinolone in Vitrectomy. Ophthalmology. doi:10.1016/j.ophtha.2006.07.044
-
Couch, SM, Bakri SJ. (2008). Use of triamcinolone during vitrectomy surgery to visualize membranes and vitreous. Clinical Ophthalmology (Auckland, N.Z.). doi:10.2147/OPTH.S3434.