M. Bozal, J. Tarrús Bozal, N. Tarrús, A Millán, T. Torrent
La conjuntivitis leñosa es una enfermedad rara, de tratamiento difícil en general por la falta de tratamiento efectivo en el mercado. En este artículo se describe como obtener un colirio eficaz y económico para su tratamiento.
La conjuntivitis lignis és una malaltia rara, de tractament difícil en general, per manca de tractaments efectius al mercat. En aquest article es descriu com obtenir un col•liri eficaç i econòmic per el seu tractament.
Ligneous conjunctivitis is a rare disease, difficult to treat due to lack of effective treatment in the market. In this article we describe how to get useful and inexpensive eye drops for the treatment of this disease.
Introducción
La conjuntivitis leñosa es una conjuntivitis membranosa crónica, recurrente, que se acompaña de pseudomembranas. Afecta principalmente la conjuntiva tarsal superior, aunque se han descrito afectaciones de la conjuntiva inferior y bulbar. Predomina entre niños de 2 a 6 años, más frecuentemente de sexo femenino, aunque hay descripciones de pacientes de todas las edades. Está producida por un déficit de plasminógeno, bien homocigoto o heterocigoto compuesto (déficit de plasminógeno tipo I), secundario a mutaciones en el gen plasminógeno (PLG6q26). Aunque la mayoría de casos son esporádicos, se han descrito casos de herencia familiar autosómica recesiva. La prevalencia es desconocida, se estima entre 0,13 a 0,42 en pacientes con hipoplasminogenémia heterocigótica
1.
Suele iniciarse con lagrimeo crónico, enrojecimiento de la conjuntiva y formación de membranas, sobretodo en la zona palpebral que progresan a blanco, blanco-amarillento o a espesas masas rojizas de consistencia densa que sustituyen la mucosa normal, similar a consistencia leñosa, de lo cual su nombre. Pueden afectar, aunque raramente, la conjuntiva bulbar y la conjuntiva tarsal inferior. Si progresa la vascularización en la córnea, ésta puede afectarse y en ocasiones progresar a la queratomalacia e incluso hasta la perforación. La afectación corneal es del 30%, en el 51% de los casos el proceso es bilateral
2.
El diagnóstico diferencial debe hacerse con otras conjuntivitis crónicas.
La conjuntivitis leñosa es una manifestación ocular de una patología sistémica, que se manifiesta en otras mucosas o tejidos: boca, nasofaringe, árbol traqueo-bronquial, intestinos, riñones y aparato genital femenino. Durante la fase aguda del proceso, las alteraciones sistémicas como fiebre e infecciones respiratorias, urinarias o de tracto a genital femenino, actúan como desencadenantes de la formación de membranas. También puede ser provocada por heridas locales, infecciones oculares y cirugía ocular
3.
Caso clínico
Una paciente de 58 años consultó por una masa subconjuntival indolora en su ojo izquierdo, de 1 cm de longitud por 0,5 de grosor (
Figura 1,
Figura 2 y
Figura 3). Tras la resección se produjo una recidiva inmediata. Se extirpó en dos ocasiones más y se combinó con crioterapia en la base y mitomicina 0,02%. Se observó recidiva a las pocas semanas (
Figura 4). En el estudio de anatomía patológica se apreció la presencia de una reacción inflamatoria aguda y crónica, con depósito de material fibrohialino, sugestivo de conjuntivitis lignea. En el corte histológico de la pseudomembrana, destacaba la presencia de fibrina en el tejido subepitelial, células inflamatorias agudas y crónicas, y abundante material eosinófilo amorfo.

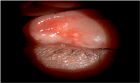
Figura 1. Ojo derecho: membranas protuberantes a partir de conjuntiva tarsal superior.

Figura 2. Ojo izquierdo: hipertrofia conjuntival con depósitos dentro de la membrana.

Figura 3. Hipertrofia conjuntival y membrana con pedículo.

Figura 4. Hipertrofia conjuntival OI, recidivante después de exéresis.
Se reinterrogó a la paciente, que refirió una tumoración vaginal 30 años atrás, que se extirpó en varias ocasiones hasta precisar una conización vaginal. También refería el antecedente de pólipo faríngeo recidivante extirpado en varias ocasiones y que se atrofió espontáneamente 35 años atrás.
La determinación de plasminógeno en sangre detectó un déficit de éste sin otras alteraciones generales, por lo que se decidió obtener plasminógeno en solución tópica
4. En el Banc de Sang i Teixits se fabricó un colirio a partir de la sangre de la paciente donde se concentró el plasminógeno y se vehiculó en suero autólogo. Con la posología de 1 gota cada 8 horas, se constató en 15 días la desaparición de la masa subconjuntival (
Figura 5). Tras 2 años de seguimiento, no se han detectado recidivas.

Figura 5. Conjuntiva tarsal después 1 mes de tratamiento.
Discusión
La conjuntivitis leñosa es una afección poco frecuente, adscrita a las enfermedades de tratamiento huérfano. El tratamiento con plasminógeno vía general se puede obtener en forma oral como medicación extranjera a un elevado precio, se considera como medicamento huérfano. El tratamiento tópico es sencillo y asequible mediante el concentrado de plasminógeno vehiculado en suero autólogo del paciente.
Bibliografía
-
Ligneous conjunctivitis. Prof. Volker SCHUSTER. Orpha number:ORPHA97231 april 2008.
-
Kuonen A, Schuster V, Albisetti M, et al. Ligneous conjunctivitis in a young patient with homozygous K19E plasminogen gene mutation: a diagnostic and therapeutic challenge. Klin Monbl Augenheilk. 2013;230(4):346-8. doi: 10.1055/s-0032-1328375
-
Sauer A, Bourcier T, Speeg-Schatz C. Ligneous conjunctivitis. J Fr Ophtalmol. 2012;35 (10):849-50. doi: 10.1016/j.jfo.2012.01.005. Epub 2012 Sep 10
-
Heidemann DG, Williams GA, Hartzer M, et al. Treatment of ligneous conjunctivitis with topical plasmin and topical plasminogen. Cornea. 2003;22(8):760-2.