A. Laiseca GarcÃa1, G. MartÃnez Grau1, F. Tresserra Casas2Â
La técnica de resección de la aponeurosis del músculo elevador es una cirugía frecuentemente realizada para las ptosis con buena función del músculo elevador del párpado superior. Aunque las complicaciones de esta cirugía están bien descritas en la literatura, puede haber complicaciones inesperadas, incluso si todo el procedimiento se realizó cuidadosamente. Se describe un caso de una mujer de 62 años con ptosis palpebral del ojo izquierdo que tras la intervención quirúrgica presentó edema palpebral intermitente, de varios meses de evolución, de causa desconocida.
La tècnica de resecció de l’aponeurosi del múscul elevador és una cirurgia habitual en la correcció de la ptosis palpebral amb bona funció de l'elevador de la parpella superior. Encara que les complicacions estan ben descrites en la literatura, en poden aparèixer d'inesperades, fins i tot si el procediment ha estat realitzat acuradament. Es descriu un cas d’una dona de 62 anys amb ptosis palpebral unilateral que després de la intervenció quirúrgica presentà un edema palpebral intermitent de mesos d’evolució de causa desconeguda.
Levator resection surgery is a commonly performed surgery for ptosis when there is good levator function of the upper eyelid. Although surgery complications are well described in the literature, there may be unexpected complications, even if the whole procedure is done carefully. We report a case of a 62 year old woman with unilateral ptosis who experienced intermittent eyelid swelling of unknown cause during several months after the surgery.
Introducción
La ptosis palpebral es la posición anormalmente baja del párpado superior (PS), situándose el margen normal del PS 1-2 mm por debajo del limbo esclerocorneal. La ptosis representa una malposición palpebral relativamente frecuente con múltiples etiologías. En la infancia la causa más frecuente es la congénita simple mientras que en los adultos mayores la aponeurótica involutiva
1. Existen diversas técnicas quirúrgicas que permiten corregirla, se clasifican en las que actúan sobre la aponeurosis, las técnicas de resección en bloque y los métodos de suplencia.
Aun cuando los cirujanos evalúan minuciosamente los pacientes, deciden el método quirúrgico más adecuado, y realizan cuidadosamente la técnica, las complicaciones postoperatorias pueden ser inevitables. Entre éstas se incluyen: hipocorrección e hipercorrección, malposición palpebral dando lugar a lagoftalmos, retracción palpebral, entropión o ectropión, prolapso conjuntival, pérdida de pestañas, alteraciones corneales incluyendo abrasión corneal y queratopatía por exposición, alteraciones nerviosas, daño de los músculos extraoculares, alteraciones secundarias al material utilizado, y mal resultado estético. También existen las complicaciones postoperatorias generales como infección, hemorragia, dehiscencia de la herida y cicatrización desfavorable
2,3.
Se presenta un caso clínico de una complicación infrecuente de la cirugía de ptosis palpebral.
Caso clínico
Una mujer de 62 años consultó para valoración de la ptosis de su ojo izquierdo. Como antecedentes personales destacaba pseudoexoftalmo en OI por asimetría en el diámetro anteroposterior (AP) del globo ocular (ojo derecho 21 mm ø AP, ojo izquierdo 25 mmø AP) tras descartar mediante TC orbitario exoftalmos por efecto masa y ptosis en ojo izquierdo (OI) de varios años de evolución.
En la exploración del OI se apreciaba una hendidura palpebral de 2 mm, el surco del párpado superior de 10 mm, ausencia de distancia reflejo margen, una función del elevador del párpado superior (EPS) de 15 mm, no se detectó lagoftalmos y el reflejo de Bell era normal. La exoftalmometría Hertel reveló una medición de 19 mm en OD y 23 mm en OI
(Figura 1). La tensión ocular en ambos ojos era de 15 mmHg. La exploración del segmento anterior y posterior resultó normal en ambos ojos.

Figura 1. Imagen preoperatoria de la paciente que muestra la ptosis del OI.
Se decidió el tratamiento quirúrgico de la ptosis palpebral. Se realizó bajo anestesia local mediante la infiltración subcutánea de un vial de 1,8 ml con una mezcla de epinefrina 0,005 mg/ml con hidrocloruro de articaína 40 mg/ml y la técnica habitual de resección de la aponeurosis del EPS. Se colocó un punto de sutura central en tarso con la aponeurosis avanzada empleando una sutura de tipo reabsorbible 6/0, se eliminó la aponeurosis sobrante y la cirugía finalizó con sutura continua de piel con polipropileno 7/0. En el postoperatorio inmediato la incisión mostraba un aspecto correcto y había un discreto edema palpebral superior e inferior y hematoma periocular mínimo.
A los 20 días de la cirugía la paciente consultó por hinchazón en el párpado intervenido de predominio matutino. Se evidenció un discreto edema en el tercio interno del PS del OI, siendo el resto de exploración normal. Se pautó tratamiento con crema de metilprednisolona aceponato 2 veces al día (
Figura 2). Debido a la persistencia del edema tras un mes de tratamiento se sustituyó por amoxicilina-ácido clavulánico 2 comprimidos al día durante 10 días, prednisona de 30 mg 2 comprimidos al día durante 10 días y drenajes linfáticos basados en masajes locales y medidas posturales. Tras 15 días se evidenció una clara mejoría con mínimo edema palpebral residual. Sin embargo, dos semanas más tarde se apreció un nuevo episodio de edema palpebral en OI.

Figura 2. Edema en párpado superior OI a los 20 días de la cirugía de ptosis mediante la técnica de resección de la aponeurosis del elevador. Se pauta tratamiento con crema de metilprednisolona aceponato 2 veces al día en PSOI.
Ante este cuadro de edema crónico palpebral recidivante, se decidió a los 3 meses de la primera cirugía, reintervenir para realizar una exploración y toma de biopsia. Se practicó una incisión siguiendo la línea de cicatriz de la cirugía de ptosis previa, hallando una importante fibrosis en la zona media y nasal. Se resecó la totalidad de la zona fibrótica y se remitió para estudio anatomopatológico.
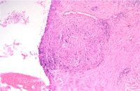
En el estudio histológico se encontraron representaciones de partes blandas que incluían tejido adiposo y músculo esquelético con fibrosis y cambios inflamatorios focales. Destacaba la presencia de un pequeño granuloma con histiocitos epiteloides acompañado de un pequeño foco de necrosis central
(Figura 3). En este granuloma se identificaron células gigantes multinucleadas de tipo cuerpo extraño (
Figura 4). La técnica de Kinyoun para la detección de bacilos ácido alcohol resistentes fue negativa. La conclusión diagnóstica fue de fibrosis e inflamación granulomatosa de tipo cuerpo extraño.

Figura 3. Pequeño granuloma de células epiteliodes con un microfoco central necrótico (H&E x 100).

Figura 4. Detalle de una célula gigante multinucleada con un cuerpo extraño intracitoplasmático (flecha). (H&E x 1000)
En base a los hallazgos del estudio anatomopatológico, la paciente fue valorada por medicina interna. Se practicó una exploración completa, radiografía de tórax y analítica (hemograma completo, perfil hepático, reactantes de fase aguda, inmunología -factor reumatoide, ANCAs y ANAs-, función tiroidea y renal) Los resultados fueron normales o negativos.
A los dos meses de la reintervención se observó un nuevo empeoramiento del edema con eritema palpebral, decidiendo en ese momento pauta de cortisona tópica y nueva tanda de drenajes linfáticos (
Figura 5a). Se realizaron controles cada 15 días por el departamento de oculoplastia y medicina interna apreciando momentos de remisión y empeoramiento del edema. Finalmente, tras la inyección local de corticoides se llegó a la remisión completa (
Figura 5b).

Figura 5. En la foto de la izquierda (5a) se observa empeoramiento del edema con eritema palpebral a los dos meses de la reintervención. En la foto de la derecha (5b) se aprecia la remisión del edema a los 15 días de la inyección local de corticoides.
Discusión
La técnica de resección de la aponeurosis del músculo elevador es una cirugía habitual para el tratamiento de la ptosis con buena función del EPS
4,5. Es un procedimiento eficaz y se puede combinar fácilmente con muchos procedimientos de cirugía estética facial. La complicación más común de la cirugía de la ptosis es la asimetría palpebral leve
3, generalmente secundaria a una hipocorrección
1. Entre las complicaciones menos frecuentes se incluyen la abrasión corneal o queratitis, el entropión o ectropión, la dehiscencia de la herida, las cicatrices adversas, la pérdida de las pestañas, el prolapso conjuntival, las infecciones y el hematoma
6.
A pesar de que el edema crónico recidivante es un caso raro en la literatura, es una complicación relativamente importante por la mala respuesta al tratamiento conservador y por la necesidad de una segunda intervención quirúrgica que permita aclarar la etiología de la misma cuando los síntomas son persistentes. También es importante establecer el diagnóstico diferencial con otras causas como las enfermedades infecciosas, reacciones alérgicas a material extraño o una posible enfermedad granulomatosa. Por tanto es preciso el estudio multidisciplinar para filiar la causa del edema recidivante postquirúrgico.
En el caso que se describe, la resolución transitoria del edema del párpado superior, junto a una exploración general y pruebas complementarias dentro de la normalidad permitió descartar la causa infecciosa y las enfermedades granulomatosas.
En resumen, el edema crónico intermitente tras cirugía de ptosis mediante la técnica de resección de la aponeurosis del EPS, es una complicación infrecuente y de difícil manejo que implica un abordaje multidisciplinar, y la necesidad de realizar numerosas pruebas complementarias para descartar etiologías tratables de este trastorno.
Bibliografía
-
Toledano N, Martínez G, Prada C, Sanz A, Medel R, Blanco G. Cirugía palpebral y periocular. Sociedad Española de Oftalmología. 2009;187-188:204-7
-
Chang Yeom Kim, Eunji Oh, Cheng-Zhe Wu, Jin Sook Yoon, Sang Yeul Lee. Marginal Ectropion Inducedby Conjunctival Ingrowth After Levator Resection Surgery. Aesthetic Plastic Surgery. 2014;38:749-54.
-
Barutca SA, Bilgic MI, Askeroglu U, Aksan T, Akan M (2011) An unusual complication following eyelid ptosis surgery: superior rectus paralysis. J Plast Reconstr Aesthet Surg. 64:e201–e204
-
Kumar S, Kamal S, Kohli V. Levator plication versus resection in congenital ptosis, a prospective comparative study. Orbit. 2010;29:29e34.
-
Whitehouse GM, Grigg JR, Martin FJ. Congenital ptosis: results of surgical management. Aust N Z J Ophthalmol. 1995;23:309e14.
-
De la Torre JI, Martin SA, De Cordier BC, et al. Aesthetic eyelid ptosis correction: a review of technique and cases. Plast Reconstr Surg. 2003;112:655e60.