B. Yeste, C. Fresno, E. Puigventós, E. Jiménez, S. Suh, I. Ayet Roger, J. Català -Mora
La ambliopía es la disminución de agudeza visual en uno o ambos ojos con la mejor corrección y las causas más frecuentes son la anisometropía y el estrabismo.
El objetivo de este artículo es analizar las características de la ambliopía y establecer un protocolo de evaluación y tratamiento del paciente.
L´ambliopia és la disminució de l´agudesa visual en un o ambdós ulls amb la millor correcció i les causes més freqüents són l´anisometropia i l´estrabisme.
L´objectiu d´aquest article és analitzar les característiques de l’ambliopia i establir un protocol per a l’avaluació i tractament del pacient.
Amblyopia is the loss of visual acuity in one or both eyes with the best correction and the most common causes are anisometropia and strabismus
The aim of this paper is to analyze amblyopia features and to propose a protocol for the evaluation and treatment of these patients.
Definición
La ambliopía es la disminución de agudeza visual mejor corregida en uno o ambos ojos, no atribuible directamente a ninguna causa orgánica del ojo o de la vía visual posterior. Puede ser unilateral o, con menor frecuencia, bilateral.
Se considera ambliopía cuando la diferencia es de 2 o más líneas entre ambos ojos.
A veces la ambliopía puede coexistir con otras patologías en el mismo ojo como hipoplasia del nervio óptico siendo responsable sólo en parte de la falta de agudeza visual de éste.
Incidencia
La ambliopía es la causa más frecuente de baja visión monocular en la infancia y es la responsable de más casos de disminución unilateral de la visión que la combinación del resto de causas en la edad pediátrica. La prevalencia se estima entre el 2-4% en función de la población que estudiemos.
Si se diagnostica a tiempo y se trata correctamente la pérdida visual ambliópica es reversible (parcial o totalmente) pero puede pasar perfectamente desapercibida para los padres, cuidadores y maestros si no va asociada a estrabismo u otra causa evidente de obstaculización del eje visual. De ahí la importancia de los programas de screening de agudeza visual en edades tempranas en la consulta del pediatra cuando el pronóstico del tratamiento es mejor.
Se han postulado como factores de riesgo:
-
Antecedentes familiares de ambliopía y/o estrabismo.
-
Prematuridad.
-
Retraso psicomotor.
-
Alcohol, drogas o tabaco durante la gestación.
Etiología
La ambliopía es un defecto principalmente de la visión central y resulta de la degradación de la imagen retiniana durante los periodos crítico y sensible del desarrollo visual. Estos periodos críticos corresponden al momento en que el sistema visual en desarrollo del niño es sensible a impulsos anormales causados por la privación del estímulo, el estrabismo o errores de refracción significativos
1.
La ambliopía se puede considerar como la consecuencia de dos mecanismos básicos:
-
Pasivo. La ausencia de estímulos adecuados y la inhibición fisiológica alterarían las conexiones visuales.
-
Activo. El ojo con mejores estímulos tiene mejores conexiones corticales y además activa mecanismos de supresión para dificultar las conexiones del otro ojo2.
Estos mecanismos provocarían que las células de la corteza visual primaria puedan perder su capacidad innata de responder al estímulo de uno de los dos ojos. Estas anomalías pueden estar presentes también en el cuerpo geniculado lateral.
La inhibición lateral es un mecanismo que se produce frente a la presencia de un estímulo visual y que tiene como objetivo bloquear la transmisión de los impulsos nerviosos extrafoveales para permitir, de esta manera, que el estímulo fóvea llegue con mayor intensidad y nitidez al córtex visual. En el ojo ambliope la inhibición lateral se encuentra reducida, con lo que la imagen transmitida por la fóvea carece de nitidez al ir acompañada del “ruido de fondo” de las otras células ganglionares
2, de esta manera la fóvea pierde su superioridad frente a la retina periférica en los ojos ambliopes.
De los estudios de Lavegne y Wald y Burian se deduce que el ojo ambliope funciona como un sistema visual adaptado a la oscuridad. Funciona peor en condiciones fotópicas (Burian concluyó que la ambliopía supone una pérdida de la superioridad fisiológica de la fóvea en condiciones fotópicas). La zona foveal se comporta como si se tratara de retina periférica, posee mejor visión en condiciones escotópicas y resuelve peor las formas.
El proceso de la ambliopización podría inducir cambios morfológicos en la retina, especialmente la zona macular. Se han encontrado espesores foveolares más gruesos en retinas de ojos ambliopes cuando se compara con los ojos de control visualmente normales. En un metaanálisis de 28 publicaciones con 408 pacientes afirman que estas diferencias de grosor son más frecuentes en los pacientes con ambliopías anisometrópicas
3,4.
Clasificación
La ambliopía se puede clasificar según la agudeza visual o según la causa.
Según la agudeza visual5
-
Ambliopía severa: la AV entre 0,05 y 0,2.
-
Ambliopía moderada: la AV entre 0,2 y 0,5.
-
Ambliopía leve: la AV mayor a 0,5.
Según la causa6
Estrabismo: es unilateral. La fóvea del ojo desviado es estimulada por una imagen distinta a la del ojo fijador produciéndose así , mecanismos adaptativos que llevan a la supresión de aquél, y como consecuencia la ambliopía7.
La ambliopía estrábica se considera como el resultado de una interacción competitiva o inhibitoria entre las neuronas que llevan los impulsos de los ojos que no pueden fusionarse. Este mecanismo conduce a una dominancia de los centros de la visión cortical por el ojo fijador y una actividad reducida mantenida a los impulsos del ojo que no fija2.
Los centros corticales del ojo fijador dominan sobre el ojo no fijador debido a una estimulación reducida de forma crónica.
En la ambliopía estrábica la capacidad para distinguir figuras formadas por patrones rayados uniformes (test de Teller, visión preferencial) está menos afectada que la capacidad para discriminar optotipos de agudeza visual tipo Snellen.
Los estrabismos fijos ambliopizan más que los alternantes.
Ametropía: ambliopía que acompaña a un defecto refractivo que provoca una imagen desenfocada en la retina, normalmente el más amétrope
8,9.
Puede ser unilateral o bilateral y a su vez se puede clasificar en:
-
Ambliopía anisometrópica: es unilateral y está causada por un error refractivo diferente entre ambos ojos. Por anisohipermetropía o anisoastigmatismo, una diferencia de tan solo 1-2 D puede causar la ambliopía. La anisometropia miópica leve (<3 dioptrías) no suele causar ambliopía.
-
Ambliopía meridional: puede ser bilateral o unilateral y está causada por la falta de nitidez en la visión de un meridiano. Está asociada a astigmatismos no corregidos.
-
Ambliopía isoametrópica: es bilateral y está causada por errores de refracción simétricos y altos, normalmente hipermetropías. Suele ser relativamente leve.
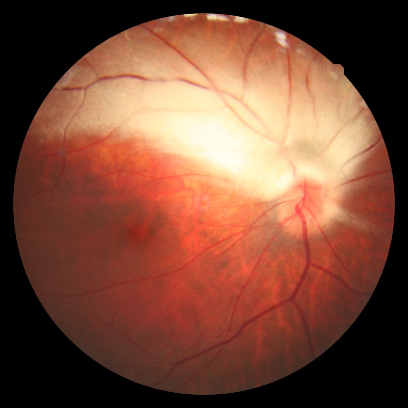
Por deprivación: ambliopía resultante de la obstrucción física de la visión sobre la fóvea. Es la causa menos común de ambliopía y a la vez la más difícil de tratar. El tiempo necesario para generar una ambliopía por privación es más corto que en cualquier otra causa. Puede ser bilateral o unilateral. En los casos unilaterales el pronóstico visual será mucho peor que en los bilaterales, debido a los efectos interoculares añadidos al impacto directo del desarrollo de una degeneración en la imagen (
Figura 1a y
Figura 1b).
Podemos ver un resumen en la
Tabla 1.

Figura 1a. Retinografía de un paciente con ambliopía secundaria a presencia de fibras de mielina que provoca deprivación y anisometropía.

Figura 1b. Retinografía del ojo normal contralateral del mismo paciente.

Tabla 1. Clasificación según la causa.
Manejo del paciente con ambliopía
El tratamiento de la ambliopía implica lo siguiente:
-
Eliminar cualquier obstáculo para la visión.
-
Corregir el error de refracción.
-
Forzar el uso del ojo peor limitando el uso del mejor.
Se debe individualizar cada caso según sus propias particularidades pero en líneas generales la primera valoración de los pacientes con ambliopía debe incluir:
-
Agudeza visual monocular y binocular.
-
Exploración ducciones y versiones y Cover test.
-
Biomicroscopía si es posible.
-
Refracción bajo cicloplejia.
-
Fundoscopia.
-
Prescripción del error refractivo si precisa (basado en la refracción bajo cicloplejía)10.
Controles
-
Se recomienda un control a los dos o tres meses de prescribir la corrección óptica para nueva valoración de la agudeza visual y la motilidad extraocular.
-
Una vez estabilizada la visión con corrección, si es insuficiente, valorar oclusión del ojo con mejor agudeza visual (Tabla 2, tratamiento).*En algunos casos puede ser conveniente según las características del paciente iniciar la oclusión al mismo tiempo que se prescribe la corrección óptica.
-
Control a cada dos o tres meses para reajustar la oclusión hasta alcanzar la agudeza visual deseada o a la estabilización de la misma, momento en que iniciaremos la retirada del parche, que debe ser gradual, para disminuir el riesgo de recidiva. Durante la retirada se deberá controlar la agudeza visual periódicamente. *Si durante los controles, la recuperación de la ambliopía no resulta satisfactoria y el cumplimiento es adecuado, se debe reevaluar los ojos y la refracción bajo cicloplejía para descartar posibles errores en la valoración inicial.
-
En el momento de la retirada total de la oclusión debemos controlar la agudeza visual a los dos meses y posteriormente cada seis hasta los 9 años.

Tabla 2. Horas de oclusión según edad y ambliopía
Oclusión y penalización
El tratamiento de la ambliopía más común es la
oclusión mediante el parche. El pronóstico es mejor a más temprana edad se inicie el tratamiento. Se han propuesto tratamientos en niños mayores e incluso en adultos pero los resultados en estos grupos son muy variables.
En nuestro centro el protocolo de oclusiones depende de la edad y del grado de ambliopía (
Tabla 2).
El grupo PEDIG
(Pediatric Eye Disease Investigator Group) obtuvo resultados equivalentes al ocluir 6h/d respecto a ocluirlo todo el día. En los resultados del MOTAS
(Monitored Occlusion Treatment of Amblyopia Study) ocluir 2h/d equivale a 6h/d, aunque habría que prolongar las semanas de tratamiento. De este modo se reducirían las horas de oclusión
11,12.
Como hemos referido anteriormente, en el momento en que obtengamos estabilizada una agudeza visual simétrica no debe retirarse la oclusión de manera brusca ya que aumenta el riesgo de recidiva, se debe hacer de forma gradual. Se aconseja ir reduciendo dos horas respecto a las horas que se está ocluyendo hasta la retirada total de la oclusión
13.
Atropina
Midriático y cicloplégico. Es un fármaco que bloquea la inervación parasimpática de la pupila y el músculo ciliar, causando una dilatación pupilar y pérdida de la capacidad acomodativa.
El grupo PEDIG obtuvo que en el caso de ambliopías moderadas aunque inicialmente con la oclusión mediante parches se obtienen mejorías más rápidas, a largo plazo la los resultados con atropina administrada diariamente son comparables a la oclusión 6h/d
14,15. También demostraron que atropina instilada a diario en ambliopías moderadas era equivalente a la instilación sólo dos veces por semana
16.
Las grandes ventajas de la atropina son el cumplimiento y que los ojos pueden trabajar juntos (útil en niños con nistagmus).
Se aconseja reservar el uso de atropina a casos puntuales en los que no se tolera o se cumple bien la oclusión, que es la opción prioritaria utilizada en este centro.
Otros
-
Oclusión mediante lentes de contacto opacas: el efecto es igual que el del parche pero existe un mayor grado de dificultad en el manejo.
-
Penalización óptica del ojo sano: se prescribe una corrección en el ojo sano, suficiente para distorsionar la imagen.
-
Filtros difusores.
-
Filtro de Bargenter.
-
Dispositivos ópticos con diferentes algoritmos de oclusión: su uso no se ha estandarizado y aún están en proceso de validación.
Conclusiones
Al plantear el tratamiento de una ambliopía los principales factores a valorar son la edad del paciente, la presencia de patología oftalmológica asociada y los tratamientos previos. A pesar de que debemos tener en cuenta unas directrices para plantear un protocolo secuencial de tratamiento es importante individualizar cada caso para poder decidir el mejor abordaje terapéutico.
La detección y tratamiento a edades tempranas mejoran mucho el pronóstico.
El primer paso para el tratamiento de la ambliopía es la correcta prescripción del error refractivo y, una vez corregido, iniciar el tratamiento que se haya decidido para el paciente hasta conseguir la mayor agudeza visual posible. En nuestro centro el tratamiento de elección es la oclusión con parche y es básica la implicación del niño y de la familia en el proceso del tratamiento para asegurar un buen cumplimiento. En casos en los que el cumplimiento no es satisfactorio debemos valorar tratamiento con atropina en el ojo a penalizar.
Gracias a los estudios del grupo PEDIG hemos podido mejorar la calidad de vida de los pacientes en tratamiento con oclusiones reduciendo el tiempo de la misma. Sin embargo aún quedan retos por asumir: mejorar el cumplimiento de nuestros pacientes, plantear tratamientos efectivos en niños mayores e incluso en adultos, etcétera.
Recientemente se han propuesto nuevos tratamientos para la ambliopía. Sin embargo es preciso realizar estudios controlados y bien diseñados que validen estas opciones antes de incorporarlas en la práctica clínica habitual
17.
Bibliografía
-
Galan Terraza A, Visa Nasarre J. LXXXVIII Ponencia oficial de la Sociedad Española de Oftalmología 2012. Estado Actual del Tratamiento del Estrabismo. (Gómez de Liaño Z, ed.). Madrid: Sociedad Española de Oftalmología; 2012.
-
American Academy of Ophthalmology. 2014-2015 Basic and Clinical Science Course (BCSC): Section 6: Pediatric Ophthalmology and Strabismus. (Lueder GT, ed.).; 2014.
-
Li J, Ji P, Yu M. Meta-analysis of retinal changes in unilateral amblyopia using optical coherence tomography. Eur J Ophthalmol. 2015:0–0. doi:10.5301/ejo.5000583.
-
Yen M-Y. Retinal Nerve Fiber Layer Thickness in Unilateral Amblyopia. Invest Ophthalmol Vis Sci. 2004;45(7):2224–2230. doi:10.1167/iovs.03-0297.
-
Beck RW. A Randomized Trial of Prescribed Patching Regimens for Treatment of Severe Amblyopia in Children. Ophthalmology. 2003;110(11):2075-87. doi:10.1016/j. ophtha. 2003.08.001.
-
Von Noorden GK. Classification of amblyopia. Am J Ophthalmol. 1967;63(2):238-44. doi:10.4103/0301-4738.27085.
-
Shotton K, Elliott S. Interventions for strabismic amblyopia. Cochrane Database Syst Rev. 2008;7(2):CD006461. doi:10.1002/14651858.CD006461.pub2.
-
Shotton K, Powell C, Voros G, Hatt SR. Interventions for unilateral refractive amblyopia. Cochrane Database Syst Rev. 2008;(4):CD005137. doi:10.1002/14651858.CD005137.pub2.
-
Eshraghi B, Akbari MR, Fard MA, Shahsanaei A, Assari R, Mirmohammadsadeghi A. The prevalence of amblyogenic factors in children with persistent congenital nasolacrimal duct obstruction. Graefes Arch Clin Exp Ophthalmol. 2014;252(11):3-8. doi:10.1007/s00417-014-2643-1.
-
Cotter SA. Treatment of Anisometropic Amblyopia in Children with Refractive Correction. Ophthalmology. 2006;113(6):895-903. doi:10.1016/j.ophtha.2006.01.068.
-
Stewart CE, Moseley MJ, Stephens DA, Fielder AR. Treatment dose-response in amblyopia therapy: The Monitored Occlusion Treatment of Amblyopia Study (MOTAS). Investig Ophthalmol Vis Sci. 2004;45(9):3048-54. doi:10.1167/iovs.04-0250.
-
Repka MX, Beck RW, Holmes JM, et al. A randomized trial of patching regimens for treatment of moderate amblyopia in children.; 2003. doi:10.1097/00132578-200401000-00018.
-
Holmes JM, Melia M, Bradfield YS, Cruz OA, Forbes B. Factors Associated with Recurrence of Amblyopia on Cessation of Patching. Ophthalmology. 2007;114(8):1427-32. doi:10.1016/j. ophtha.2006.11.023.
-
Scheiman MM, Hertle RW, Kraker RT, et al. Patching vs atropine to treat amblyopia in children aged 7 to 12 years: a randomized trial. Arch Ophthalmol. 2008;126(12):1634-42. doi:10.1016/S0084-392X(09)79147-6.
-
Tejedor J, Ogallar C. Comparative Efficacy of Penalization Methods in Moderate to Mild Amblyopia. Am J Ophthalmol. 2008;145(3):562-9. doi:10.1016/j.ajo.2007.10.029.
-
Kushner BJ. Atropine vs patching for treatment of amblyopia in children. JAMA. 2002;287(16):2145-6. doi:10.1097/00132578-200210000-00006.
-
Hoyt C. What Is Next in Amblyopia Treatment? Ophthalmology. 2015;122(5):871-3. doi:10.1016/j.ophtha.2015.02.015.