Angiografía fluoresceínica en la patología macular: coriorretinopatía serosa central, membrana epiretiniana y agujero macular
JA. Buil, JI. VelaÂ
Para la correcta comprensión de la angiografía fluoresceínica hay que conocer los siguientes conceptos:
-
Luminiscencia: es la emisión de luz que se produce cuando hay una absorción de energía en forma de radiación electromagnética y la subsiguiente reemisión en otra frecuencia. El fenómeno supone un cambio desde una longitud de onda más corta (energía + alta) a otra longitud de onda más larga (energía + baja).
-
Fluorescencia: es la luminiscencia que se mantiene sólo con la excitación continua, alterándose su emisión cuando cesa la excitación.
-
Acción del filtro excitador: la fluoresceína sódica es un hidrocarburo que responde a la energía luminosa generada por un filtro entre 465 y 490 nanómetros (azul), emitiendo fluorescencia en una longitud de onda entre 520 y 530 nanómetros (verde-amarillo). La fluoresceína capaz de emitir fluorescencia es la que no está unida a las proteínas (20%), ya que el resto (80%), que va unida a las proteínas, no puede emitirla.
-
Acción del filtro barrera: finalmente existe un filtro barrera fuera de la cámara que deja pasar la luz verde-amarilla, pero no deja entrar en la cámara la luz azul reflejada por las estructuras del fondo del ojo.
Angiografía fluoresceínica de la coriorretinopatía serosa central
Es una ayuda para confirmar el diagnóstico, que en general se realiza con la anamnesis clínica y la exploración funduscópica (
Figura 1), y es necesaria si se plantea realizar tratamiento mediante fotocoagulación láser.

Figura 1. Coriorretinopatía serosa central en un ojo derecho. Se aprecian los límites del fluido subretiniano en el área macular.
Angiográficamente pueden encontrarse diferentes patrones:
-
Patrón en borrón de tinta: representa el 65% de los casos. Aparece un punto hiperfluorescente en la fase arteriovenosa del angiograma, que aumenta rápidamente su intensidad de fluorescencia. En tiempos muy tardíos del angiograma puede observarse un llenado por la fluorescencia del espacio subretiniano (Figura 2).
-
Patrón en humo de chimenea o en paracaídas: representa el 20% de los casos. A partir de un punto de fuga, la pérdida de colorante se va hacia arriba hasta el límite superior del levantamiento sensorial (Figura 3). Este ascenso de la fluorescencia se debe al menor peso específico del colorante respecto al fluido subretiniano (Figura 4 a y b).
-
Patrón redondeado y amplio de hiperfluorescencia subretiniana desde el inicio del angiograma: supone el 10% de los casos. Se observa pérdida de colorante a partir de varios puntos, que rellena el espacio subretiniano. Las áreas redondeadas son de color amarillento y corresponden a la existencia de DEP (Figura 5).
-
En un pequeño porcentaje de los casos, en torno al 5%, el patrón angiográfico se caracteriza por presentar el punto de fuga en un DEP bien definido.
-
Otros patrones angiográficos:
-
En algunos casos se observa un desprendimiento sensorial, sin que pueda demostrarse angiográficamente ningún punto de fuga, lo que probablemente se debe a una cicatrización espontánea y sin secuelas del mismo, y con el fluido subretiniano en fase de reabsorción (Figura 6).
-
En otros casos puede haber varios puntos de fuga, hallazgo que podría condicionar un peor pronóstico evolutivo, ya que para la reabsorción del fluido subretiniano sería necesaria la cicatrización de todos los puntos de fuga.
-
Otros casos pueden presentar un patrón en fuga descendente.
-
A veces el patrón angiográfico presenta un viraje del patrón en chimenea al de borrón, correspondiendo el primero a la fase aguda del proceso y el segundo a la forma cronificada.
-
Una forma bien diferenciada de CRSC crónica asocia desprendimiento retiniano seroso periférico y atrofia del epitelio pigmentario en banda, que se extiende hacia zonas de la periferia inferior (Figura 7).

Figura 2. Patrón en borrón de tinta. Aparece un punto hiperfluorescente que aumenta con el paso del tiempo angiográfico de manera uniforme.

Figura 3. Patrón en humo de chimenea o paracaídas. Se observa el punto de fuga nasal a la fóvea.

Figura 4. a) Patrón en humo de chimenea. La pérdida de colorante asciende desde el punto de fuga. En este caso destaca un desprendimiento del epitelio pigmentario en dicho punto. b) El colorante llega al límite superior del levantamiento sensorial y adopta la forma de paracaídas.

Figura 5. Patrón redondeado y amplio de hiperfluorescencia subretiniana.

Figura 6. Fondo de ojo en el que se aprecia levantamiento sensorial con alteración del epitelio pigmentario de la retina. En la angiografía no se apreciaba punto de fuga visible.

Figura 7. Corioretinopatía serosa central crónica con alteración del epitelio pigmentado e imagen en reguero.
Aparecen zonas de fuga típicas en el epitelio pigmentario de la retina (EPR), así como dilatación de los capilares retinianos, incompetencia parietal de los mismos depósitos lipídicos en la retina y edema macular quístico. Todo esto puede conducir a atrofia coriocapilar, neovascularización subretiniana y cicatrización disciforme.
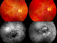
Angiografía fluoresceínica de la membrana epiretiniana
La angiografía fluoresceínica en los estadios evolutivos iniciales de la membrana epiretiniana evidencia de forma clara la alteración del trayecto vascular condicionado por la presencia del tejido anómalo de la membrana. Los vasos que se dirigen hacia la mácula desde las arcadas vasculares superior e inferior son traccionados en dirección al rafe medio, produciéndose hipertortuosidad en su trayecto vertical. Por el contrario, los vasos con trayecto horizontal, que siguen la dirección del haz papilomacular, sufren un estiramiento que provoca una rectificación de su trayecto normal, convirtiéndolo en rectilíneo hacia el epicentro de la membrana (
Figura 8).

Figura 8. Membrana epiretiniana en ojo izquierdo que produce una modificación del trayecto vascular, con aumento de la tortuosidad de los vasos.
En la fase de preinyección, la retinografía libre de rojo puede ser útil para valorar detalles sutiles en los cambios anatómicos que se producen en los estadios menos evolucionados de las membranas epiretinianas (
Figura 9).

Figura 9. Retinografía libre de rojo que muestra cambios sutiles en la mácula debidos a una membrana epiretiniana incipiente.
La angiografía fluoresceínica permite observar con mayor detalle las alteraciones vasculares, y es típica la aparición de hipervascularización en la zona macular, al mismo tiempo que la zona avascular de la fóvea se evidencia ocasionalmente más pequeña de lo normal, y en ocasiones con localización ectópica (
Figura 10).

Figura 10. La angiografía muestra una ligera hipervascularización y rectificación de los vasos en el área macular con desplazamiento de la zona avascular foveal, debidos a la presencia de una membrana.
En estas fases evolutivas iniciales de la membrana epiretiniana no se constata la existencia de edema macular (
Figura 10). En el estadio más evolucionado, cuando se produce plegamiento de la mácula causado por la contracción de la membrana
(pucker), se observa un ocultamiento de los vasos retinianos, así como áreas de edema retiniano, con pérdida de contraste, que paulatinamente da lugar a zonas de hiperfluorescencia irregular, donde rara vez pueden objetivarse espacios quísticos (
Figura 11).

Figura 11. Pucker macular con ocultamiento vascular, áreas de edema retiniano y pérdida progresiva de contraste en ojo derecho.
En caso de membrana epiretiniana con imagen de pseudoagujero macular, la angiografía fluoresceínica suele ser absolutamente normal; si acaso, puede encontrarse cierto grado de tortuosidad vascular y disminución de la zona avascular de la fóvea. No existe pérdida del contraste a partir de los vasos retinianos, y si existe un epicentro de contracción de la membrana epiretiniana puede verse un desplazamiento de los vasos hacia ese punto.
Angiografía fluoresceínica del agujero macular
La evolución tecnológica ha condicionado que la angiografía fluoresceínica, como prueba complementaria en la exploración diagnóstica del agujero macular, haya sido sustituida en gran medida por la tomografía de coherencia óptica (OCT).
En general puede decirse que la angiografía fluoresceínica, en la exploración del agujero macular, presenta una hiperfluorescencia precoz de la mácula, que en condiciones normales debe permanecer oscura (
Figura 12). Esto se debe a un defecto de transmisión de la fluorescencia del fondo debido a la alteración del epitelio pigmentado retiniano, por desplazamiento del pigmento xantófilo macular y/o atrofia del epitelio pigmentado retiniano en los casos más evolucionados. Sin embargo, hay que establecer matices según el estadio evolutivo que se explore:
-
En los estadios 0 y 1, la angiografía fluoresceínica presenta una discreta hiperfluorescencia desde los estadios iniciales del angiograma, debido a la alteración presente en el epitelio pigmentado, que se va haciendo más patente a medida que el agujero macular evoluciona desde el estadio 0 al 1b.
-
En el estadio 2, la hiperfluorescencia, desde las fases tempranas del angiograma, es algo más intensa, debido a la mayor alteración del epitelio pigmentado de la retina. En el transcurso de los tiempos angiográficos no se produce acúmulo de colorante en los espacios quísticos retinianos, y los vasos retinianos, así como los capilares de la zona avascular de la fóvea, muestran competencia parietal y no pierden contraste (Figura 12).
-
En los estadios 3 y 4, la angiografía fluoresceínica muestra un incremento de la hiperfluorescencia de transmisión desde los tiempos iniciales del angiograma, debido a las importantes alteraciones presentes en el epitelio pigmentado de la retina, y a la pérdida de filtro que supone el pigmento xantófilo propio del tejido retiniano macular (Figura 13).

Figura 12. Imagen que muestra hiperfluorescencia precoz debida a un agujero macular en un ojo izquierdo.

Figura 13. Incremento de la hiperfluorescencia de transmisión por la alteración producida en el epitelio pigmentado de la retina por un agujero macular crónico en un ojo izquierdo.