MJ. Rubio Caso, I. Flores-Moreno
De todas las modalidades diagnósticas actualmente empleadas en oftalmología, la tomografía de coherencia óptica (OCT,
Optical Coherence Tomography) es la que mejor ha relacionado la evolución tecnológica respecto de la capacidad diagnóstica. Las OCT de tercera generación tipo
Time-Domain (TD-OCT) fueron las primeras OCT adoptadas de forma masiva en la práctica clínica diaria. La sustitución de estas OCT por las
Spectral-Domain (SD-OCT) representó un salto cualitativo importantísimo en la capacidad diagnóstica de esta tecnología. Este sesgo tecnológico es muy importante y se refleja de forma fiel en las conclusiones de los trabajos realizados en esta patología.
Actualmente está disponible una nueva generación de OCT basadas en fuentes de iluminación láser ajustables en frecuencia (
Swept-Source OCT), que duplican la velocidad de captación de A-
Scans respecto de las SD-OCT y mejoran su penetración.
El uso de esta tecnología para evaluar la anatomía macular es necesario en la actualidad en cualquier patología macular. Sin embargo, es importante remarcar que se trata de una tecnología que explora la anatomía, y que cualquier inferencia que se realice sobre la función (la agudeza visual) se ha de corroborar con otras técnicas que exploren la función macular (como el ERG multifocal o la microperimetría). La inconcordancia que Wilkinson
1 encontró, en su excelente revisión, entre las alteraciones anatómicas documentadas por OCT y las alteraciones funcionales es fácilmente comprensible por la multitud de factores no controlables en series quirúrgicas con influencia en la agudeza visual.
Alteraciones preoperatorias
Los primeros trabajos realizados con OCT en el desprendimiento de retina fueron los de Ip
et al.2, en los que se plantea el uso de esta tecnología para el diagnóstico diferencial entre desprendimiento de retina y retinosquisis. Por otro lado, Hashimura
et al.
3 fueron los primeros en describir las alteraciones de la retina desprendida: engrosamiento retiniano, separación de las capas intraretinianas y ondulaciones de la retina externa (
Figura 1 y
Figura 2). Por último, Yetik
et al.
4 describieron diferencias en el engrosamiento de la retina externa en pacientes afectos de desprendimiento de retina respecto del ojo adelfo. Estos trabajos pioneros estaban muy limitados por el uso de OCT de primera generación, que presentaban una resolución muy limitada.

Figura 1. Desprendimiento de retina crónico. Se observan separaciones en las capas intraretinianas (Topcon SS-OCT DR-1).

Figura 2. Desprendimiento de retina agudo. Se observan ondulaciones de la retina externa (OLU) (Topcon SS-OCT DR-1).
Trabajos posteriores realizados con SD-OCT han examinado con más detenimiento los cambios preoperatorios en la mácula de pacientes afectos de desprendimiento de retina con afectación macular. Nakanishi
et al.5 observaron la relación directa entre la alteración de la línea OS/IS preoperatoria (presencia de huecos o
gaps) y la mala agudeza visual postoperatoria. Más recientemente, Cho
et al.
6 apuntaron en una pequeña serie la relación entre la presencia de ondulación de la retina externa (OLU) y un mal resultado funcional postoperatorio. Joe
et al.
7 clarifican esta relación: la presencia preoperatoria de separación intraretiniana entre las capas de la retina (IRS) y/o la OLU se asocian de forma directa con la presencia postoperatoria de disrupciones en la capa OS/IS y en la MLE, con la repercusión funcional que esto conlleva. Además, la presencia de IRS y de OLU está directamente relacionada con la altura del desprendimiento de retina a nivel macular. Esta asociación entre la altura del desprendimiento macular y el engrosamiento de la retina externa preoperatorio también ha sido verificada en la serie de Matsui
et al.
8.
Por tanto, puede decirse que, además de los factores preoperatorios clásicos clínicamente relacionados con el resultado funcional tras la cirugía, como la afectación macular y la duración del desprendimiento de retina, debe incluirse la altura del desprendimiento de retina a nivel macular y la presencia de separación intraretiniana y la OLU como factores relacionados con la agudeza visual preoperatoria y postoperatoria.
Alteraciones postoperatorias
Multitud de trabajos han sido publicados sobre las alteraciones postoperatorias maculares detectadas por OCT en la cirugía de desprendimiento de retina. Al evaluar los trabajos publicados, respecto a los resultados funcionales, hay que tener previamente en cuenta tres factores importantes: técnica empleada para la cirugía, técnica empleada para la obtención de las OCT y, por último, pero no menos importante, los factores preoperatorios, intraoperatorios y perioperatorios. Estos tres factores son difícilmente controlables, como en todas las series quirúrgicas, y pueden tener una repercusión importante en los resultados publicados cuando se evalúan variables anatómicas contra variables funcionales.
Fluido subretiniano
La presencia de fluido subretiniano submacular (
Figura 3 y
Figura 4) y su relación con un mal resultado funcional fue explorado con OCT por primera vez por Wolfensberger
et al.9. A partir de esta serie, otras muchas
10-17 encontraron lo mismo. Sin embargo, otros estudios fallaron en encontrar esta relación
18-21. Todos estos estudios tienen en común el uso de TD-OCT para la evaluación de la anatomía macular, lo que explica la disonancia en los resultados, ya que aunque la TD-OCT es capaz de detectar la presencia de FSR, no es tan precisa para delimitar los cambios en la retina externa
22.
En conclusión, la influencia del FSR en la agudeza visual postoperatoria es, cuanto menos, controvertida.

Figura 3. Múltiples burbujas de fluido subretiniano (Topcon 3D 2000 SD-OCT).

Figura 4. Membrana epiretiniana y fluido subretiniano subfoveal (Zeiss Cirrus SD-OCT).
Alteraciones en la retina externa
La aparición de la SD-OCT permitió cuantificar las alteraciones de la retina interna de forma mucho más exacta. Especial interés despertaron las alteraciones en los fotorreceptores, en especial la ausencia de la línea OS/IS y la MLE
5-8,21-30. De todas estas series, destacan las de Lecleire-Collet
et al.21 y Schocket
et al.
23, que fueron las primeras que incidieron en la relación entre las alteraciones de la línea OS/IS y la agudeza visual postoperatoria.
Posteriormente, la serie de Wakabayashi
et al.24 apuntaló la relación entre la alteración en la línea OS/IS, la alteración en la MLE y la mala agudeza visual postoperatoria (
Figura 5). Ahondando en esta relación, describió el fenómeno de restauración de la línea OS/IS, que sólo ocurrió en aquellos pacientes que presentaban una MLE íntegra, y que explicaría la progresiva recuperación de la agudeza visual de forma lenta en los casos con mácula afecta (
Figura 6).

Figura 5. Alteración de la membrana limitante externa (MLE) y la capa de fotorreceptores (OS/IS) subfoveal (Zeiss Cirrus SD-OCT).

Figura 6. Reparación de la capa OS/IS con membrana limitante externa íntegra (Zeiss Cirrus SD-OCT).
Series más recientes, como la de Matsui
et al.
8, inciden en la asociación entre la alteración de la línea OS/IS a los 3 meses y el mal resultado postoperatorio. Estas alteraciones presentan recuperación en los casos con MLE íntegra en un 67% a los 6 meses. Por último, la serie de Akkoyun
et al.
30 señala la alteración de la capa OS/IS como el factor predictor más importante del resultado funcional en el desprendimiento de retina con afección macular.
Otras alteraciones maculares
La presencia de quistes en la retina externa o interna (
Figura 7), membranas epiretinianas, agujeros maculares lamelares o de espesor completo, en pacientes operados de desprendimiento de retina, ha sido ampliamente documentada por SD-OCT. La presencia de membrana epiretiniana (
Figura 8) es un hallazgo relativamente frecuente
20,25,31 en el postoperatorio que no parece tener relación con la agudeza visual, pero sí con la macropsia
32.

Figura 7. Membrana epiretiniana. Plano horizontal y coronal (en face) (Topcon SS-OCT DR-1).

Figura 8. Agujero macular lamelar (Topcon SS-OCT DR-1).
En el caso de los agujeros maculares de espesor completo
33, no son tan frecuentes y se asocian con mal resultado funcional incluso en caso de cierre anatómico tras la cirugía. Los agujeros maculares lamelares
34 (
Figura 9) tampoco son frecuentes y se encuentran asociados a la presencia de membrana epiretiniana. La agudeza visual no parece empeorar en estos casos respecto de la obtenida postoperatoriamente.

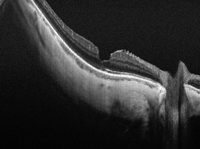
Figura 9. Pliegue macular postoperatorio (Topcon 3D 2000 SD-OCT).
Otras alteraciones detectables por OCT en el postoperatorio son los pliegues retinianos de espesor completo
35,36 (
Figura 10), en los que la morfología del pliegue por OCT puede ser orientativa en el manejo conservador o quirúrgico del pliegue. La presencia de perfluorocarbono líquido subretiniano también presenta una morfología característica en la OCT, de letra omega, que ayuda a su detección
37.

Figura 10. Quistes en la retina interna. Plano horizontal y coronal (en face) (Topcon SS-OCT DR-1).
Tendencias futuras
OCT intraoperatoria
La integración de la OCT en el microscopio operatorio abre un nuevo abanico de posibilidades en la cirugía vitreoretiniana
38, al poder visualizar en tiempo real los cambios que se inducen durante la cirugía. Ehlers
et al.39 utilizan esta técnica durante la cirugía de desprendimiento de retina y verifican dos hallazgos importantes: la presencia de FSR en todos los casos, a pesar del uso de perfluorocarbono líquido, y la importancia del adelgazamiento foveolar intraoperatorio, que en los casos más graves produce un agujero macular de espesor completo intraoperatorio. Este agujero macular no fue visualizado en el postoperatorio, pero se asoció a peor agudeza visual. Tales preocupantes hallazgos deben ser estudiados con más profundidad en un estudio en curso.
Swept-Source OCT
El uso de esta tecnología tiene dos ventajas respecto a la SD-OCT: aporta mejor información sobre la coroides debido a su mayor penetración
40 y permite mejorar la detección de anomalías maculares gracias a la superior velocidad de medición, lo que facilita la obtención de planos coronales (
En face OCT). En la actualidad no existen estudios publicados con esta tecnología en el desprendimiento de retina.
Bibliografía
-
Wilkinson, CP. Mysteries regarding the surgically reattached retina. Trans Am Ophthalmol Soc. 2009;107:55-7.
-
Ip M. Differentiation of degenerative retinoschisis from retinal detachment using optical coherence tomography. Ophthalmology. 1999;106(3):600-5.
-
Hagimura N. Optical coherence tomography of the neurosensory retina in rhegmatogenous retinal detachment. Am J Ophthalmol. 2000;129(2):186-90.
-
Yetik H. Structural features of attached retina in rhegmatogenous retinal detachments. Retina. 2004;24(1):63-8.
-
Nakanishi H. Spectral-domain optical coherence tomography imaging of the detached macula in rhegmatogenous retinal detachment. Retina. 2009;29(2):232-42.
-
Cho M. Optical coherence tomography predicts visual outcome in macula-involving rhegmatogenous retinal detachment. Clin Ophthalmol. 2012;6:91-6.
-
Joe SG, K. Y. Structural recovery of the detached macula after retinal detachment repair as assessed by optical coherence tomography. Korean J Ophthalmol. 2013;27(3):178-85.
-
Matsui A. Preoperative and postoperative optical coherence tomography findings in patients with rhegmatogenous retinal detachment involving the macular region. ISRN Ophthalmol. 2013; Sep 11 .
-
Wolfensberger TJ. Optical coherence tomography in the evaluation of incomplete visual acuity recovery after macula-off retinal detachments. Graefes Arch Clin Exp Ophthal. 2002;240(2):85-9.
-
Abouzeid H. Macular recovery after retinal detachment. Acta Ophthalmol Scand. 2006;84(5):597-605.
-
Theodossiadis PG. Optical coherence tomography findings in the macula after treatment of rhegmatogenous retinal detachments with spared macula preoperatively. Retina. 2003;23(1):69-75.
-
Wang Y, L. S. Metamorphopsia after successful retinal detachment surgery: an optical coherence tomography study. Acta Ophthalmol Scand. 2005;83(2):168-71.
-
Benson SE, S. P. Optical coherence tomography analysis of the macula after vitrectomy surgery for retinal detachment. Ophthalmology. 2006;113(7):1179-83.
-
Gibran SK. Foveal detachment after successful retinal reattachment for macula on rhegmatogeneous retinal detachment: an ocular coherence tomography evaluation. Eye (Lond). 2006;20(11):1284-7.
-
Benson SE. Optical coherence tomography analysis of the macula after scleral buckle surgery for retinal detachment. Ophthalmology. 2007;114(1):108-12.
-
Cavallini GM. Visual recovery after scleral buckling for macula-off retinal detachments: an optical coherence tomography study. Eur J Ophthalmol. 2007;17(5):790-6.
-
Gibran SK. Ocular coherence tomographic examination of postoperative foveal architecture after scleral buckling vs vitrectomy for macular off retinal detachment. Eye (Lond). 2007;21(9):1174-8.
-
Panozzo G. OCT in the monitoring of visual recovery after uneventful retinal detachment surgery. Semin Ophthalmol. 2003;18(2):82-4.
-
Baba T. Tomographic image and visual recovery of acute macula-off rhegmatogenous retinal detachment. Graefes Arch Clin Exp Ophthalmol. 2004;242(7):576-81.
-
Lecleire-Collet A. Predictive visual outcome after macula-off retinal detachment surgery using optical coherence tomography. Retina. 2005;25(1):44-53.
-
Lecleire-Collet A. Evaluation of macular changes before and after successful retinal detachment surgery using stratus-optical coherence tomography. Am J Ophthalmol. 2006;142(1):176-9.
-
Smith AJ. High-resolution Fourier-domain optical coherence tomography and microperimetric findings after macula-off retinal detachment repair. Ophthalmology. 2008;115(11):1923-9.
-
Schocket LS. Ultra high-resolution optical coherence tomography in patients with decreased visual acuity after retinal detachment repair. Ophthalmology. 2006;113(4):666-72.
-
Wakabayashi T. Foveal microstructure and visual acuity after retinal detachment repair: imaging analysis by fourier-domain optical coherence tomography. Ophthalmology. 2009;116(3):519-28.
-
Lai WW. Simultaneous spectral domain OCT and fundus autofluorescence imaging of the macula and microperimetric correspondence after successful repair of rhegmatogenous retinal detachment. Br J Ophthalmol. 2010;94(3):311-8.
-
Sheth S. Spectral domain-optical coherence tomography study of retinas with a normal foveal contour and thickness after retinal detachment surgery. Retina. 2010;30(5):724-32.
-
Gharbiya M. Correlation between spectral-domain optical coherence tomography findings and visual outcome after primary rhegmatogenous retinal detachment repair. Retina. 2012;32(1):43-53.
-
Delolme MP. Anatomical and functional macular changes after rhegmatogenous retinal detachment with macula off. Am J Ophthalmol. 2012;153(1):128-36.
-
Rashid S. Five-year follow-up of macular morphologic changes after rhegmatogenous retinal detachment repair: Fourier domain OCT findings. Retina. 2013;33(10):2049-58.
-
Akkoyun I. Optical coherence tomography: anatomic and functional outcome after scleral buckling surgery in macula-off rhegmatogenous retinal detachment. Klin Monbl Augenheilkd. 2013;230(8):814-9.
-
Heo MS. The clinical features of macular pucker formation after pars plana vitrectomy for primary rhegmatogenous retinal detachment repair. Korean J Ophthalmol. 2012;26(5):355-61.
-
Okamoto F. Aniseikonia and foveal microstructure after retinal detachment surgery. Invest Ophthalmol Vis Sci. 2014 , Jul 17. [Epub ahead of print].
-
García-Arumí J. Macular holes after rhegmatogenous retinal detachment repair: surgical management and functional outcome. Retina. 2011;31(9):1777-82.
-
Xirou T. Lamellar macular hole formation following vitrectomy for rhegmatogenous retinal detachment repair. Clin Ophthalmol. 2012;6:571-4.
-
Herbert EN. Treatment of retinal folds using a modified macula relocation technique with perfluoro-hexyloctane tamponade. Br J Ophthalmol. 2003;87(7):921-2.
-
Ruiz-Moreno JM. Sliding macular fold following retinal detachment surgery. Graefes Arch Clin Exp Ophthalmol. 2011;249(2):301-3.
-
Figueroa MS. Characteristics of retained subretinal perfluoro-n-octane on optical coherence tomography. Retina. 2012;32(10):2177-8.
-
Binder S. Feasibility of intrasurgical spectral-domain optical coherence tomography. Retina. 2011;31(7):1332-6.
-
Ehlers JP. Novel microarchitectural dynamics in rhegmatogenous retinal detachments identified with intraoperative optical coherence tomography. Retina. 2013;33(7):1428-34.
-
Copete S. Direct comparison of spectral-domain and swept-source OCT in the measurement of choroidal thickness in normal eyes. Br J Ophthalmol. 2014;98(3):334-8.