J. Matas, M. Mesquida, A. AdánÂ
Introducción
La tomografía de coherencia óptica (OCT) ha supuesto una auténtica revolución en el manejo de las enfermedades de la retina. Aporta información sustancial sobre los cambios patológicos y estructurales que se producen en las distintas enfermedades. Desde la introducción de las primeras OCT
time-domain (TD-OCT), en los años 1990, esta tecnología ha avanzado de forma espectacular. Los escáneres de dominio espectral (SD-OCT) obtienen imágenes de alta definición para el estudio de la retina y de la interfase vítreo-retina. Permiten visualizar estructuras anatómicas de gran importancia, como la membrana limitante externa, la unión de los segmentos internos y externos de los fotorreceptores (capa de los elipsoides), la unión de los segmentos externos de los fotorreceptores con el epitelio pigmentario de la retina, y el complejo epitelio pigmentario-membrana de Bruch-coriocapilar.
Gupta
et al1 compararon la realización de TD-OCT (Stratus OCT) con SD-OCT (Cirrus HD-OCT) en pacientes con uveítis y opacidad vítrea de al menos 1+. Los resultados sugirieron que Cirrus tiene importantes ventajas frente a Stratus, en el sentido de que el primero es capaz de detectar pliegues en la membrana limitante interna, desprendimiento posterior de vítreo, espacios quísticos intrarretinales, agujeros lamelares posteriores y disrupción de la capa de unión entre los segmentos internos y externos de los fotorreceptores, hallazgos patológicos que no podían observarse con Stratus.
Actualmente, con la introducción de la
enhanced depth imaging (EDI) y la tercera generación de OCT llamada
swept-source (SS-OCT), es posible no sólo la correcta visualización de la coroides sino incluso de la esclera, haciendo posible estudiar patologías como la escleritis posterior mediante OCT.
Por todo ello, la OCT se ha convertido en una herramienta indispensable que forma parte de la práctica clínica diaria en la consulta de uveítis. Aparte de su valor diagnóstico en las enfermedades inflamatorias oculares y sus complicaciones estructurales, como el edema macular, la OCT permite realizar una estimación objetiva de la respuesta al tratamiento, predecir la recuperación visual y establecer el pronóstico de las distintas enfermedades que engloban las uveítis. La OCT es la técnica diagnóstica de elección en la detección, la monitorización del tratamiento y la determinación del pronóstico en el edema macular uveítico, así como en otras patologías maculares inflamatorias que constituyen complicaciones frecuentes de las uveítis, como la tracción vítreo-macular, la formación de membranas epiretinianas, los agujeros maculares lamelares o de grosor completo y la atrofia foveal.
A continuación se enumeran las principales ventajas que ha aportado la OCT en el manejo de las uveítis:
-
Localizar las lesiones o daños estructurales: interfase vítreo-retina, retina interna, retina externa, epitelio pigmentario de la retina, coroides.
-
Evaluar la gravedad de las lesiones a nivel anatómico.
-
Cuantificar de forma precisa el grosor de la retina.
-
Determinar la existencia de fluido y su localización.
-
Evaluar la progresión de las lesiones en el tiempo.
-
Determinar la respuesta al tratamiento.
-
Cuantificar el grado de inflamación en la cámara vítrea (en desarrollo) (Figura 1 y Figura 2).

Figura 1. Anatomía de la retina (corte histológico e ilustración esquemática).

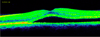
Figura 2. OCT de un ojo sano (Cirrus HD-OCT).
El valor pronóstico está determinado en la uveítis por el tipo de uveítis, la edad del paciente y el tipo de tratamiento, y también por rasgos característicos obtenidos mediante OCT, como son el grosor retiniano, el patrón del edema macular, la integridad de la capa de unión de los segmentos externos e internos de los fotorreceptores y el estado de la interfase vítreo-mácula. De esta forma, es de gran utilidad a la hora de monitorizar a los pacientes y valorar la respuesta terapéutica (
Figura 3).

Figura 3. Paciente que presenta en su ojo izquierdo edema macular quístico y desprendimiento de retina seroso subfoveal asociado a uveítis posterior por Brucella. Mediante la OCT se monitoriza la respuesta al tratamiento con un implante intravítreo de Ozurdex, observándose como disminuye el grosor retiniano a medida que se reabsorbe el fluido y se normaliza el perfil foveal tras el tratamiento.
Principales hallazgos de OCT en las uveítis
En la
Tabla 1 se detallan los principales hallazgos de la OCT en las uveítis.

Tabla 1. Principales hallazgos de OCT en las uveítis según localización.
Edema macular uveítico
El edema macular es la complicación más frecuente de las uveítis y la principal causa de pérdida visual en estos pacientes. La OCT es una herramienta muy útil para detectar, cuantificar y monitorizar el edema macular uveítico. Aporta información importante sobre la distribución del fluido en los ojos con edema macular y sobre la morfología de la interfase vítreo-retina.
En un estudio comparativo con la angiografía fluoresceínica, se encontró que la OCT tiene un 89% de sensibilidad para diagnosticar el edema macular quístico
2. En otro estudio, Markomichelakis
et al3, usando OCT, fueron los primeros en describir tres patrones distintos de distribución del fluido en la mácula de pacientes con uveítis:
-
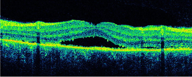
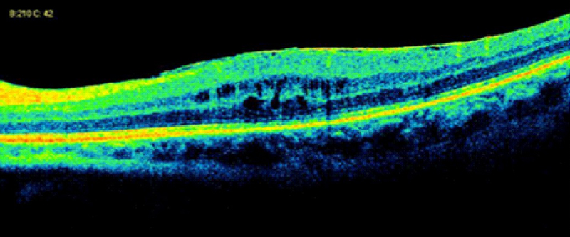
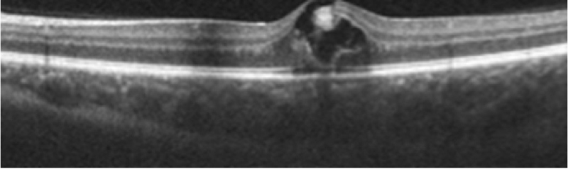
Edema macular difuso (EMD): incremento del grosor macular asociado a la presencia de pequeñas áreas hiporreflectivas que confieren una apariencia espongiforme a las capas de la retina.
-
Edema macular quístico (EMQ): presencia de espacios quísticos intraretinianos hiporreflectivos claramente definidos, separados por septos finos de tejido retiniano de alta reflectividad.
-
Desprendimiento de retina seroso (DRS): con acumulación de fluido entre el epitelio pigmentario de la retina y la retina neurosensorial.
La frecuencia relativa de estos tres patrones en las uveítis es variable, dependiendo de los criterios de selección de los pacientes
3-5. Tanto el EMQ como el EMD pueden asociarse a DRS (
Tabla 2 y
Figura 4,
Figura 5,
Figura 6 y
Figura 7).

Tabla 2. Características de OCT de los 3 subtipos de edema macular.

Figura 4. Edema macular quístico (EMQ).

Figura 5. Edema macular difuso (EMD).

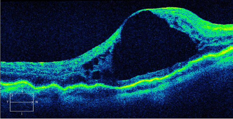
Figura 6. Desprendimiento de retina seroso (DRS) en una paciente con uveítis asociada a enfermedad de Behçet.

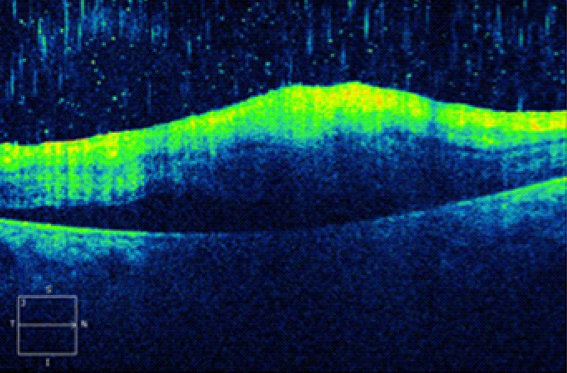
Figura 7. Desprendimiento de retina seroso subfoveal asociado a edema macular quístico en una paciente con coroidopatía tipo Birdshot.
Varios artículos han estudiado la correlación entre los patrones de OCT y el pronóstico visual. Se ha encontrado una relación inversa entre el grosor foveal central medido por OCT y la agudeza visual, con una diferencia significativa según el patrón de edema macular y que está fuertemente relacionada con la presencia de EMQ
3,4,6. Aunque la presencia de EMD se asocia a una mala recuperación visual tras el tratamiento, algunos estudios señalan que tienen peor pronóstico visual los pacientes con EMQ uveítico
3,7,8. Sin embargo, la presencia de DRS en pacientes con edema macular uveítico no se ha correlacionado con un peor pronóstico visual
9. En otro estudio similar, Lehpamer
et al10 analizaron el efecto de la presencia de fluido subretiniano (FSR), en pacientes con edema macular uveítico, sobre la agudeza visual y la respuesta al tratamiento. Los autores concluyeron que la presencia de DRS en la OCT está asociada a mayor grosor macular y a peor agudeza visual en el momento de presentación, pero que, sin embargo, los ojos con DRS y edema macular responden favorablemente al tratamiento y consiguen mayores tasas de mejoría y resolución del edema que los ojos sin DRS.
La presencia de edema macular y/o maculopatía en pacientes con artritis idiopática juvenil (AIJ) también se ha estudiado por OCT. La maculopatía ha sido documentada mediante OCT en el 84% de los ojos con uveítis asociada a AIJ, un porcentaje mucho más alto comparado con publicaciones previas basadas en hallazgos oftalmoscópicos (3,9-26%)
11. Los cambios maculares determinados por OCT incluyen engrosamiento perifoveal (74%), edema macular (48%), desprendimiento foveal (18%) y cambios atróficos en el 10% de los ojos con uveítis asociada a AIJ
12 (
Figura 8).

Figura 8. Fotografía del segmento anterior de una paciente con uveítis asociada a AIJ de larga evolución (A) que presentaba EMQ en la OCT (B), el cual se resolvió tras el tratamiento con adalimumab.
Membrana epiretiniana
La formación de membrana epiretiniana (MER) en asociación con los procesos inflamatorios intraoculares y con el edema macular uveítico es una complicación estructural relativamente frecuente. La OCT ha permitido mejorar la capacidad para detectar MER y describir sus efectos morfológicos sobre la retina. En la OCT, la MER aparece como una línea hiperreflectiva adherida a la retina. La OCT demuestra en los pacientes con uveítis un alto porcentaje de MER en comparación con las observadas oftalmoscópicamente. En gran parte de los casos con MER detectados por oftalmoscopia, la OCT revela también la presencia de tracción vitreoretiniana. De esta forma se confirma que la OCT tiene una alta sensibilidad para detectar la presencia de MER y anormalidades vitreoretinianas en el área macular, sugiriendo que el mecanismo traccional podría ser uno de los mecanismos etiopatogénicos del comienzo del edema macular en la uveítis (
Figura 9).

Figura 9. Edema macular quístico y traccional con presencia de membrana epiretiniana.
La formación de MER se ha asociado con peor agudeza visual en los pacientes con edema macular uveítico
13, así como con mayor riesgo de fallo de los tratamientos para el edema macular uveítico4. En un estudio, la aparición MER en el área foveal y su adherencia a la superficie interna de la retina eran factores predictores de mal pronóstico visual
14. Se ha visto que la presencia de MER es independiente de la localización de la inflamación, de los diferentes tipos de edema y del grosor macular
6.
En una publicación reciente, Lehpamer
et al15 han estudiado retrospectivamente 104 ojos de 77 pacientes con edema macular uveítico, en los cuales encontraron MER en 72 ojos de 59 pacientes en el momento de presentación. Estos autores hallaron que la presencia de MER junto con tracción macular con arrugamiento de la superficie retiniana estaba asociada a mayor grosor foveal central en la OCT, peor agudeza visual y peor respuesta al tratamiento médico, resultados que no se observaban en los ojos con MER sin arrugamiento de la retina.
La identificación de las MER mediante OCT permite plantear opciones terapéuticas quirúrgicas para mejorar la rehabilitación visual de estos pacientes.
Atrofia foveal
Otro hallazgo patológico grave que puede encontrarse en pacientes con uveítis es la atrofia foveal (
Figura 10 y
Figura 11).

Figura 10. Atrofia foveal bilateral en paciente con coroidopatía tipo Birdshot en estadio avanzado.

Figura 11. Paciente con uveítis asociada a enfermedad de Behçet (a, retinografía de campo amplio; b, angiografía fluoresceínica de campo amplio) que presentaba edema macular quístico de larga evolución (c), que al resolverse dejó atrofia foveal grave (d).
Forooghian
et al16 estudiaron la presencia de atrofia foveal en un grupo heterogéneo de pacientes con uveítis usando imágenes de OCT de alta definición (HD-OCT). Con Cirrus HD-OCT, los autores definieron la atrofia foveal como un punto central de grosor foveal <150 µm. Los diagnósticos más frecuentemente asociados a atrofia foveal fueron uveítis asociada a enfermedad de Behçet, coroidopatía serpiginosa y oftalmía simpática (13%, respectivamente), seguidas de otras uveítis posteriores, intermedias y panuveítis.
La causa de la atrofia foveal es multifactorial e incluye disfunción y atrofia del EPR y la coroides, antecedente de EMQ de larga evolución, isquemia macular secundaria a vasculitis oclusiva retiniana, neovascularización coroidea, desprendimiento de retina y posiblemente daño directo a través de anticuerpos contra los fotorreceptores. Los autores sugieren una observación cuidadosa de las uniones entre los segmentos internos (SI) y externos (SE) de los fotorreceptores mediante HD-OCT para identificar aquellos pacientes con riesgo de pérdida visual secundaria a atrofia foveal.
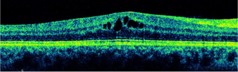
La integridad de la capa de los fotorreceptores se determina a través del análisis de los SI/SE, que es la llamada capa de los elipsoides. El estado entre la unión de los SI/SE se ha asociado a diferencias significativas en cuanto a la agudeza visual, de forma que la disrupción o incluso la desaparición de la capa de los elipsoides en la OCT se correlaciona con un mal pronóstico visual (
Figura 12 y
Figura 13).

Figura 12. Integridad de la capa de unión entre los SI/SE de los fotoreceptores en un paciente con EMQ uveítico.

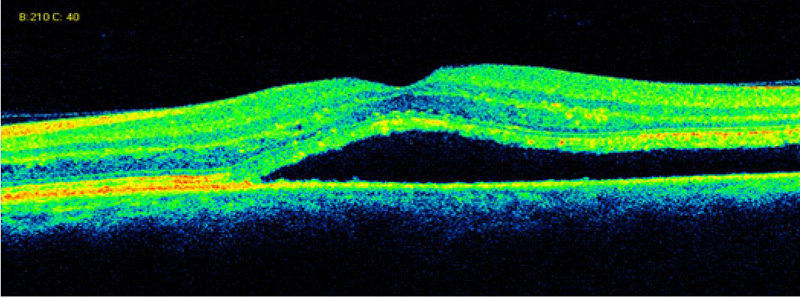
Figura 13. Separación entre los segmentos internos y externos de los fotoreceptores en un paciente con desprendimiento de retina seroso secundario a síndrome de Vogt-Koyanagi-Harada en fase de inflamación activa.

Figura 14. Disrupción de la capa de unión entre los SI/SE de los fotoreceptores en un paciente con EMQ uveítico de larga evolución.

Figura 15. Abolición de la capa de los elipsoides en un paciente con panuveítis idiopática de larga evolución.
Agujero macular asociado a uveítis
Entre las posibles alteraciones maculares de origen inflamatorio, Nussenblatt
17 describe el agujero macular como una complicación rara de las uveítis, siendo más frecuente el agujero macular idiopático o senil, postoperatorio o secundario a tracción vítreo-macular o membrana epiretiniana, pero infrecuente en la inflamación de segmento posterior.
En la literatura hay reportados 55 casos de agujero macular asociado a uveítis (
Tabla 3), 35 de ellos con agujeros maculares asociados a enfermedad de Behçet (
Figura 16 y
Figura 17).

Tabla 3. Casos publicados en la literatura de agujeros maculares secundarios a uveítis.

Figura 16. Paciente con uveítis posterior asociada a enfermedad de Behçet que tras un brote inflamatorio desarrolla un agujero macular completo con fluido submacular, que se resuelve tras cirugía de vitrectomía, consiguiendo un cierre completo.

Figura 17. Agujero macular de espesor completo y gran diámetro secundario a enfermedad de Behçet.

Figura 18. Focos de retinitis y vitritis en paciente con uveítis asociada a enfermedad de Behçet (a) en el que su OCT muestra celularidad vítrea y edema macular (c). Los focos de retinitis y la opacidad vítrea desaparecen con el tratamiento con infliximab (b) y la OCT se normaliza (d).
La patogénesis de los agujeros maculares asociados a inflamación es desconocida. Se cree que la inflamación intraocular induce cambios como la licuefacción del vítreo y contribuye al desprendimiento del vítreo posterior, lo cual produciría la primera constricción. El desarrollo de membrana epiretiniana sería la causa de la tracción tangencial. Finalmente, los focos de coriorretinitis y la presencia de edema macular provocan fragilidad en el tejido retiniano, facilitando la rotura de la retina y la formación de agujeros maculares. Tratando el proceso inflamatorio y limpiando el vítreo del infiltrado inflamatorio podrían aliviarse esas tracciones e incluso favorecer el cierre espontáneo de algunos agujeros maculares, como está descrito en la literatura
18. Otros casos requerirán cirugía de vitrectomía
19.
Inflamación intraocular
Actualmente, en la clínica de uveítis no se dispone de marcadores objetivos que midan la actividad inflamatoria, y ese es uno de los grandes retos en esta patología. Tanto en la práctica clínica como en los ensayos clínicos es de gran interés poder disponer de una medida objetiva y cuantitativa de la actividad de la enfermedad, que serviría para monitorizar la respuesta terapéutica y establecer la eficacia del tratamiento empleado. Recientemente, la OCT se está utilizando como herramienta para medir el grado de inflamación intraocular tanto en la cámara anterior como posterior en el vítreo
20.
Uveítis no infecciosas
Linfoma vitreoretiniano
El linfoma es un tumor maligno que a menudo puede enmascararse en forma de uveítis posterior o intermedia en los adultos mayores, afectando de manera combinada el vítreo, la retina o el nervio óptico. Típicamente se presenta en forma de vitreítis y lesiones subretinianas amarillentas.
La OCT se caracteriza por lesiones hiperreflectivas nodulares a nivel del EPR que corresponden a infiltrados de células malignas. Ocasionalmente, un infiltrado linfomatoso extenso puede elevar la retina. La afectación de la retina externa puede alterar la unión de los segmentos internos y externos los fotorreceptores y la membrana limitante externa
21,22.
La monitorización de los pacientes con OCT puede ser de utilidad en el seguimiento para detectar remisión de la enfermedad o recurrencia cuando las lesiones afectan la mácula.
Enfermedad de Behçet
La OCT ha ayudado a entender los cambios de la retina neurosensorial en la uveítis por enfermedad de Behçet. Los vasos retinianos son el principal objetivo en la vasculitis oclusiva producida por esta enfermedad. Según los hallazgos por OCT se ha sugerido que el engrosamiento de la coroides es producida por una vasculitis primaria
23. La duración de la enfermedad de Behçet se ha correlacionado con el engrosamiento retiniano medido por OCT y con la agudeza visual
24. Unoki
et al24 documentaron cambios en la fóvea durante la remisión de la uveítis por enfermedad de Behçet (
Figura 19 y
Figura 20).

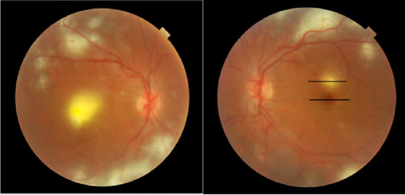
Figura 19. Hombre de 27 años que consulta por pérdida de visión en su ojo derecho. En la oftalmoscopia se observan áreas de vasculitis y edema con necrosis en polo posterior.

Figura 20. Hombre de 27 años que consulta por pérdida de visión en su ojo derecho. En la OCT hay un engrosamiento retiniano y un desprendimiento seroso de la retina.
Un hallazgo descrito es el defecto de la capa de fibras nerviosas en la uveítis por enfermedad de Behçet. Los defectos en cuña de la capa de fibras nerviosas peripapilar, corroborados por OCT, corresponden a defectos de campo visual en los pacientes con enfermedad de Behçet que no presentan afectación del sistema nervioso central. En estos casos el anillo neuroretiniano está preservado, a diferencia de lo que ocurre en los pacientes con patología glaucomatosa. Estos defectos aparecen típicamente tras la resolución de infiltrados retinianos en el polo posterior, sugiriendo un daño focal agudo en las capas de células ganglionares y la capa de fibras nerviosas
25.
Síndrome de Vogt-Koyanagi-Harada
El síndrome de Vogt-Koyanagi-Harada (VKH) es una enfermedad sistémica que se caracteriza por la aparición de panuveítis granulomatosa bilateral asociada a alteraciones del sistema nervioso central, alopecia, vitíligo e hipoacusia. La reacción inflamatoria provocada por la alteración del sistema inmunitario afecta a diversos órganos ricos en pigmentos, tales como la úvea y la retina.
En la enfermedad de VKH, el desprendimiento seroso de la retina es una manifestación frecuente que puede medirse por OCT. Maruyama y Kishi
26 evaluaron el desprendimiento seroso con el uso de OCT en pacientes con VKH y reportaron que se distingue un patrón diferente al desprendimiento seroso, que corresponde a la acumulación de fluido intraretiniano en la retina externa.
Son múltiples los hallazgos de los estudios en relación con las características de la enfermedad de VKH medidas por OCT (
Figura 21). En la
Tabla 4 se describen las características de la OCT en la fase activa de la enfermedad de VKH. La
Tabla 5 corresponde a las características en la fase inactiva, de recuperación tras un episodio de actividad de la enfermedad.

Figura 21. Paciente con enfermedad de VKH que presenta fluido subretiniano con desprendimientos seroso de la retina y quistes intraretinianos con septos.

Tabla 4. Características de OCT en el síndrome de Vogt-Koyanagi-Harada en fase activa.

Tabla 5. Características de características en fase inactiva.
Oftalmía simpática
La oftalmía simpática es una uveítis granulomatosa bilateral que se presenta tras un traumatismo penetrante o un procedimiento quirúrgico en uno de los dos ojos. En la OCT se observa desorganización y adelgazamiento de las capas internas de la retina, e importante desintegración del EPR y la coriocapilar
27.
En un análisis realizado en pacientes con oftalmía simpática
28 se observó la afectación de los fotorreceptores en la fase aguda de la enfermedad, que sin embargo se resolvió en fases tempranas de la enfermedad en todos ojos.
Otro hallazgo analizado son los nódulos de Dallen-Fuchs, que aparecen como nódulos discretos en el EPR asociados a desprendimiento seroso de la retina neurosensorial.
Síndrome de puntos blancos evanescentes
El síndrome de puntos blancos evanescentes comprende un grupo de enfermedades que se caracterizan por presentarse como una coroiditis multifocal idiopática.
Para describir y caracterizar los hallazgos de este síndrome se han realizado múltiples estudios de imagen por OCT. Durante la fase aguda hay una pérdida de las uniones internas y externas de fotorreceptores entre los focos blanquecinos de coroiditis
29. La disrupción de la segunda banda es un rasgo característico que puede resolverse tras la fase aguda. No obstante, no se asocia a afectación del EPR ni coriocapilar
30. El EPR tras la fase aguda podría separase de la membrana de Bruch.
Coriorretinopatía en perdigonada (birdshot)
La coriorretinopatía tipo birdshot se caracteriza por lesiones coroideas bilaterales, simétricas y despigmentadas, vitreítis, vasculitis, edema macular e inflamación leve en la cámara anterior, siendo el edema macular la causa más importante de pérdida de visión. Los hallazgos de la OCT en los pacientes con inicio de la enfermedad incluyen un engrosamiento difuso de la retina que puede contribuir a la formación de EMC. La atrofia foveal difusa y la formación de MER se han observado en pacientes con largo tiempo de evolución de la enfermedad.
Con el uso de OCT, Monnet
et al31 reportaron, en una serie de casos, que el 31% de los pacientes presentaron edema macular, el 19% MER y el 4% fluido subretiniano. En este mismo estudio se describió la asociación con el engrosamiento o el adelgazamiento del grosor macular, la formación de membrana neovascular subretiniana fibrótica y el agujero macular. Los autores concluyen que la disrupción de la tercera banda, la unión entre los SI/SE de los fotorreceptores, observada por OCT, tenía una asociación más fuerte que cualquier otro parámetro. A favor, Forooghian
et al32 demostraron que la resolución de la tercera banda y de la arquitectura de la retina externa tras el tratamiento se asociaba a mejoría clínica.


Figura 22 y Figura 23. Paciente con coriorretinopatía en perdigonada o enfermedad de Birdhshot tras un episodio de actividad. En la OCT se evidencia la atrofia foveal tras la remisión de la actividad.
Coroiditis serpiginosa
A través de la imagen por OCT se ha observado que la afectación de la retina externa y de la coroides característica de la coroiditis serpiginosa puede extenderse hacia la retina interna. De esta forma se produce un engrosamiento circunscrito de la retina en los pacientes con coroiditis multifocal que puede analizarse mediante OCT.
En la coriorretinitis multifocal, la información morfológica obtenida mediante OCT en la fase aguda de la enfermedad muestra una afectación limitada a la retina profunda y a las estructuras coroideas.
Las lesiones agudas de la coroiditis multifocal se localizan entre el EPR y la membrana de Bruch, y tienen un aspecto parecido a drusas; son, por lo tanto, áreas hiperreflectantes en la retina externa que se correlacionan con los hallazgos histopatológicos de la enfermedad. La OCT se caracteriza además por áreas extensas de pérdida de EPR.
Coroidopatía punteada interna
La OCT ha sido de utilidad para documentar y evaluar el efecto del tratamiento de las membranas neovasculares secundarias a coroidopatía punteada interna. Mediante imagen con OCT se ha demostrado la presencia de una acumulación de fluido secundario a membrana neovascular coroidea y engrosamiento homogéneo de la retina externa por encima de las lesiones asociadas a actividad inflamatoria recurrente
33.
Uveítis infecciosas
Toxoplasmosis ocular
La toxoplasmosis ocular, la infección del ojo por Toxoplasma gondii, es una causa común de retinitis y uveítis posterior que típicamente se presenta como inflamación aguda granulomatosa necrotizante de la retina y la coroides, acompañada de vitreítis
34. Las lesiones recurrentes típicamente se producen en los bordes de las cicatrices coriorretinianas.
La OCT es una herramienta diagnóstica ideal en la toxoplasmosis ocular, dado que permite monitorizar la progresión de la enfermedad y el desarrollo de complicaciones.
Se han identificado, mediante las imágenes de OCT, características que diferencian entre lesiones activas e inactivas por toxoplasmosis. Las lesiones activas se caracterizan por ser áreas intraretinianas hiperreflectivas correspondientes a focos de retinitis.
Otros hallazgos característicos de actividad son el engrosamiento y el desprendimiento de la hialoides posterior adyacente a la lesión y el aumento de la reflectividad de las capas internas de la retina con ensombrecimiento del EPR y la coriocapilar subyacente
31. De forma común en todas las lesiones corioretinianas activas se encuentran un aumento de la reflectividad y un engrosamiento de la retina adyacente a la lesión, y en algunos casos una acumulación de fluido subretiniano por debajo la lesión (
Tabla 6,
Figura 24 y
Figura 25).

Tabla 6. OCT en la toxoplasmosis ocular.

Figura 24. Paciente que presenta en su ojo derecho un foco de coriorretinitis peripapilar secundario toxoplasmosis.

Figura 25. En la OCT hay un área hiperreflectante intraretiniana con edema difuso y desprendimiento seroso de la fóvea.
Tras la lesión activa se observa una disminución significativa del engrosamiento retiniano en el área de la lesión. En la fase inactiva se forma una cicatriz con desorganización de las diferentes capas de la retina, se interrumpe la línea de unión entre los segmentos internos y externos de los fotorreceptores, y se forma una membrana epiretiniana cerca de la lesión en algunos pacientes (
Tabla 6). De igual forma puede asociarse desprendimiento seroso macular. La coriocapilar adyacente a la cicatriz se caracteriza por ser hiperreflectiva, dado que la retina tiene menor grosor.
Guagnini
et al35 observaron depósitos esféricos asociados a coriorretinitis recurrente por toxoplasmosis caracterizados por localizarse a lo largo de los vasos y en la interfase vitreoretiniana macular.
En los casos de toxoplasmosis congénita (
Tabla 6) se han descrito cambios estructurales en la mácula con el uso de la OCT
36. Los rasgos característicos son el adelgazamiento retiniano, la hiperreflectividad del EPR, la excavación, la formación de quistes intraretinianos y la fibrosis.
Citomegalovirus
El citomegalovirus (CMV) es una causa común de uveítis posterior en pacientes inmunodeprimidos. La retinitis por CMV es la principal causa de pérdida de visión en los pacientes con infección por el virus de la inmunodeficiencia humana, pero puede producir también pérdida de visión en pacientes sin inmunodepresión
37.
La OCT demuestra que la retinitis por CMV produce una necrosis del grosor completo de la retina. Las uniones de los segmentos internos y externos se dañan frecuentemente (
Figura 26).
El adelgazamiento progresivo y la atrofia de la retina y del EPR puede observarse mediante OCT. En la retinitis por CMV inactiva, los hallazgos frecuentes son atrofia retiniana, cicatrización y gliosis vitreorretiana
38. Esta alteración en la interfase vitreoretiniana y la tracción aparente en la OCT se han correlacionado con tasas elevadas de desprendimiento de retina en estos pacientes
39.

Figura 26. Retinitis por CMV en paciente con trasplante renal en tratamiento inmunosupresor.
Sífilis ocular
Tanto la afectación sistémica como la ocular por sífilis están aumentando. Dentro de las manifestaciones posteriores por CMV más frecuentes se incluye la retinitis. La retinitis por CMV se presenta como áreas pequeñas y grandes blanquecinas, asociadas con lesiones punteadas superficiales y opacidades vítreas preretinianas. El examen de estas áreas con OCT demuestra colecciones de material inflamatorio en la interfase vitreoretiniana y en la retina, con engrosamiento leve de esta (
Figura 27 y
Figura 28).

Figura 27. Paciente de 25 años que consulta por disminución de AV en ambos ojos (AO). En la exploración la AV es de 0,05 en AO y en el fondo de ojo hay focos de retinitis en polo posterior en AO.

Figura 28. En la OCT del ojo izquierdo la Figura X muestra un foco de retinitis y en la Y el perfil foveal con fluido subretiniano y desprendimiento seroso.
Otra forma de presentación es la epiteliopatía placoide multifocal posterior aguda, que en la OCT se observa como infiltrados coroides difusos que son complejos hiperreflectivos y áreas de engrosamiento del EPR/coriocapilar. Otro hallazgo de la OCT es la reducción en el tamaño y el número de vasos coroideos, y la disrupción de los segmentos internos y externos
40.
Toxocariasis
La toxocariasis ocular es una infección típicamente unilateral que se presenta en forma de granuloma en el polo posterior o en la retina periférica, o bien como un cuadro de endoftalmitis. La OCT ha demostrado ser útil para el diagnóstico diferencial entre el granuloma subretiniano de la toxocariasis y la neovascularización coroidea idiopática
41. El granuloma aparece en la OCT como una masa redondeada hiperreflectiva por encima el EPR. Mediante OCT puede observarse la extensión subretiniana y la migración de la larva
42 (
Figura 29 y
Figura 30).

Figura 29. Paciente de 17 años que consulta por presentar un escotoma central en su ojo izquierdo. En el examen del fondo de ojo de observa un engrosamiento y una imagen amarillenta central.

Figura 30. Paciente de 17 años que consulta por presentar un escotoma central en su ojo izquierdo. En la OCT se aprecia una imagen hiperreflectiva redondeada y edema macular que corresponde al nemátodoretinino de toxocariasis.
Conclusiones
La OCT es una herramienta esencial en la uveítis para detectar y monitorizar el edema macular uveítico, así como para determinar el pronóstico y el potencial de recuperación visual. Algunos de estos factores pronósticos identificados que se basan en la OCT y determinan el pronóstico reservado son la pérdida o la disrupción de la unión de los fotorreceptores, el grosor foveal, los cambios cistoides en la capa plexiforme externa y la nuclear interna, y la presencia de membrana epiretiniana.
Como puede observarse en los diferentes subtipos de uveítis descritos anteriormente, los hallazgos en la OCT muestran una variedad de características morfológicas que ayudan a orientar el diagnóstico. Además, el rendimiento de la OCT, tanto cualitativo como cuantitativo, es útil para el seguimiento de los cambios producidos en la retina y la coroides.
En el futuro, la tecnología de la OCT se desarrollará y probablemente permitirá obtener nuevas perspectivas de la retina y de la coroides, pudiendo así identificar y caracterizar mejor la patogénesis de la uveítis.
Bibliografía
-
Gupta V, Gupta P, Singh R, Dogra MR, Gupta A. Spectral-domain Cirrus high-definition optical coherence tomography is better than time-domain Stratus optical coherence tomography for evaluation of macular pathologic features in uveitis. Am J Ophthalmol. 2008;145(6):1018-22.
-
Antcliff J, Stanford MR, Chauhan DS, Graham EM, Spalton DJ, Shilling JS, et al. Comparison between optical coherence tomography and fundus fluorescein angiography for the detection of cystoid macular edema in patients with uveitis. Ophthalmol. 2000;107(3):593-9.
-
Markomichelakis NN, Halkiadakis I, Pantelia E, Peponis V, Patelis A, Theodossiadis P, et al. Patterns of macular edema in patients with uveitis: qualitative and quantitative assessment using optical coherence tomography. Ophthalmol. 2004;111(5):946-53.
-
Estafanous MF, Lowder CY, Kaiser PK. Patterns of macular edema in uveitis patients. Ophthalmol. 2005;112:360.
-
Sivaprasad S, Ikeji F, Xing W, Lightman S. Tomographic assessment of therapeutic response to uveitic macular oedema. Clin Experiment Ophthalmol. 2007;35:719-23.
-
Iannetti L, Accorinti M, Liverani M. Optical coherence tomography for classification and clinical evaluation of macular edema in patients with uveitis. Ocul Immunol Inflamm. 2008;16:155-60.
-
Al-Mezaine HS, Al-Muammar A, Kangave D, Abu El-Asrar AM. Clinical and optical coherence tomographic findings and outcome of treatment in patients with presumed tuberculous uveitis. Int Ophthalmol. 2008;28:413-23.
-
Iannetti L, Spinucci G, Abbouda A. Spectral-domain optical coherence tomography in uveitic macular edema: morphological features and prognostic factors. Ophthalmologica. 2012;228:13-8.
-
Ossewaarde-van Norel J, Berg EM, Sijssens KM, Rothova A. Subfoveal serous retinal detachment in patients with uveitic macular edema. Arch Ophthalmol. 2011;129:158-62.
-
Lehpamer B, Moshier E, Goldberg N, et al. Sub-retinal fluid in uveitic macular edema: effect on vision and response to therapy. Am J Ophthalmol. 2013;155:143-9.
-
Woreta, Fasika, et al. Risk factors for ocular complications and poor visual acuity at presentation among patients with uveitis associated with juvenile idiopathic arthritis. Am J Ophthalmol. 2007;143(4):647-55.
-
Paroli MP, et al. Retinal complications of juvenile idiopathic arthritis-related uveitis: a microperimetry and optical coherence tomography study. Ocul Immunol and Inflamm. 2010;18(1):54-9.
-
Munk MR, et al. Morphologic and functional evaluations during development, resolution, and relapse of uveitis-associated cystoid macular edema. Retina. 2013; 33(8):1673-83.
-
Nazari H, et al. Morphometric spectral-domain optical coherence tomography features of epiretinal membrane correlate with visual acuity in patients with uveitis. Am J Ophthalmol. 2012;154(1):78-86.
-
Lehpamer B, et al. Epiretinal membranes in uveitic macular edema: effect on vision and response to therapy. Am J Ophthalmol. 2014;157(5):1048-55.
-
Forooghian F, Yeh S, Faia LJ, Nussenblatt RB. Uveitic foveal atrophy: clinical features and associations. Arch Ophthalmol. 2009;127:179-86.
-
Nussenblatt RB. Macular alterations secondary to intraocular inflammatory disease. Ophthalmol. 1986;93(7):984-8.
-
Bonnin N, Cornut PL, Chaise F, Labeille E, Manificat HJ, Feldman A, et al. Spontaneous closure of macular holes secondary to posterior uveitis: case series and a literature. J Ophthalmic Inflamm Infect. 2013;3:34.
-
Mesquida M, Pelegrín L, Llorenç V, Espinosa G, Rios J, Dick AD, et al. Pars plana vitrectomy for vitreoretinal complications of Behçet uveitis. Eur J Ophthalmol. 2012.
-
Keane PA, Karampelas M, Sim DA, Sadda SR, Tufail A, Sen HN, et al. Objective measurement of vitreous inflammation using optical coherence tomography. Ophthalmol. 2014;
-
Liu TY, et al. Retinal optical coherence tomography manifestations of intraocular lymphoma. J Ophthalmic Inflamm Infect. 2012.
-
Liang F, et al. Subretinal lymphomatous infiltration in primary intraocular lymphoma revealed by optical coherence tomography. Graefes Arch Clin Exp Ophthalmol. 2011.
-
Iaccarino G, et al. Evaluation of posterior pole with ecography and optical coherence tomography in patients with Behçet’s disease. Ophthalmologica. 2009;223:250-5.
-
Unoki N, et al. Structural changes of fovea during remission of Behçet’s disease as imaged by spectral domain optical coherence tomography in patients with Behçet’s disease. Ophthalmologica. 2010;223:250-5.
-
Sumru O, et al. Optical coherence tomography imaging in uveitis: review. Int Ophthalmol. 2014;34:401-35.
-
Maruyama Y, Kishi S. Tomographic features of serous retinal detachment in Vogt-Koyanagi-Harada syndrome. Ophthalmic Surg Lasers Imaging. 2003;35(3):239-42.
-
Winter FC. Sympathetic uveitis: a clinical and pathologic study of the visual result. Am J Ophthalmol. 1955;39:340-7.
-
Gupta V, Gupta A, Dogra MR, Singh I. Reversible retinal changes in the acute stage of sympathetic ophthalmia seen on spectral domain optical coherence tomography. Int Ophthalmol. 2011;31:105-10.
-
Spaide RF, Koizumi H, Freund KB. Photoreceptor outer segment abnormalities as a cause of blind spot enlargement in acute zonal occult outer retinopathy complex diseases. Am J Ophthalmol. 2008;146:111-20.
-
Forooghian F, Stetson PF, Gross NE, Meyerle CB. Quantitative assessment of photoreceptor recovery in atypical multiple evanescent white dot syndrome. Ophthalmic Surg Lasers Imaging. 2010;41:S77-S80.
-
Monnet D, et al. Optical coherence tomography in ocular toxoplasmosis. Int J Med Sci. 2009;6:137-8.
-
Forooghian F, Gulati N, Jabs DA. Restoration of retinal architecture following systemic immunosuppression in birdshot chorioretinopathy. Ocul Immunol and Inflamm. 2010;18(6):470-1.
-
Stepien KE, Carroll J. Using spectral-domain optical coherence tomography to follow outer retinal structure changes in a patient with recurrent punctate inner choroidopathy. J Ophthalmol. 2011;753-1.
-
Vansconcelos-Santos DV. Ocular manifestations of systemic disease: toxoplasmosis. Curr Opin Ophthalmol. 2012;23:543-50.
-
Guagnini AP, et al. Atypical spherical deposition on vitreoretinal interface associated with toxoplasmic chorioretinitis. Graefe's Archive for Clinical and Experimental Ophthalmology. 2007;245(1):158-60.
-
Garg, et al. Imaging of congenital toxoplasmosis macular scars with optical coherence tomography. Retina. 2009;29:631-7.
-
Gupta S, et al. Cytomegalovirus retinitis in the absence of AIDS. Can J Ophthalmol. 2013;48:126-9.
-
Sun LL, et al. Optical coherence tomography changes in macular CMV retinitis. Digit J Ophthalmol. 2012;18:1-4.
-
Brar, et al. Vitreorretinal interface abnormalities in healed cytomegalovirus retinitis. Retina. 2010;30:1262-6.
-
Meira Freitas D. Optical coherence tomography and indocyanine green angiography findings in acute syphilitic posterior placoid choroidopathy: case report. Arq Bras Oftalmol. 2009;72:832-5.
-
Higashide T, Akao N, Shirao E, Shirao Y. Optical coherence tomographic and angiographic findings of a case with subretinal Toxocara granuloma. Am J Ophthalmol. 2003;136(1):188-90.
-
Suzuki T, Joko, T, Akao N, Ohashi Y. Following the migration of a Toxocara larva in the retina by optical coherence tomography and fluorescein angiography. Jpn J Ophthalmol. 2005;49(2):159-61.