MS. Alforja Castiella
Introducción
Desde su desarrollo inicial a principios de la década de 1990 hasta nuestros días se han producido una serie de modificaciones técnicas en los dispositivos de tomografía de coherencia óptica (OCT) que han mejorado de forma significativa la resolución de las imágenes
1.
El análisis cualitativo y cuantitativo de la OCT es útil para caracterizar la patología, para indicar la realización de determinados tratamientos, para el control evolutivo tras la realización de los mismos
2 y, junto con otros parámetros, para la comparación de distintos tratamientos
3. Incluso se ha convertido en una prueba necesaria en los protocolos de numerosos ensayos clínicos
4.
Después de la retinopatía diabética, las oclusiones venosas de la retina son la patología vascular más frecuente, y dentro de estas, la oclusión de la rama venosa retiniana es más frecuente que la oclusión de la vena central de la retina.
Puede encontrarse en la OCT cualquier variante de oclusión venosa de la retina, tanto de ramas principal y macular como de vena central, y en fases aguda o crónica del proceso
2.
Del mismo modo que en otras patologías, con la OCT puede realizarse un análisis detallado de la relación vítreo-retina, la arquitectura intraretiniana
5, y con los dispositivos de alta resolución pueden valorarse cada vez mejor el estado de la coroides y sus variaciones tras diferentes tratamientos
6.
De especial interés sería valorar no sólo los detalles anatómicos de la retina, sino poder establecer una relación entre los hallazgos encontrados en la OCT, la agudeza visual y el pronóstico visual final
5. Sirve de ejemplo la integridad de la zona de los elipsoides (EZ) y la membrana limitante externa como marcadores de buen pronóstico visual
7. En algunos estudios se establece también una relación entre los niveles intravítreos de VEGF-A (
Vascular Endothelial Growth Factor-
A) con dos parámetros de la tomografia de coherencia óptica spectral domain (SD-OCT) en la oclusión de rama venosa de la retina (ORVR) no isquémicas: el grosor de la retina neurosensorial y la integridad de la EZ. Valores elevados de VEGF se han asociado a disrupción de la EZ y mayor grosor de la retina neurosensorial
7.
El vertiginoso incremento en el número de OCT realizadas en los últimos años para un mejor control de los pacientes ha llevado a valorar incluso qué patrón de adquisición de imagen de SD-OCT da una información más completa sobre el estado de la retina en las oclusiones venosas, en menos tiempo y con menor error, resultando comparables en la valoración del fluido intraretiniano tanto el patrón radial de seis cortes como el cubo de 25 líneas
4.
Por otro lado, no debe olvidarse que la OCT es una herramienta más, dentro del conjunto de pruebas complementarias, que no debe sustituir a la exploración y que debe asociarse a otras exploraciones que aportan información fundamental, como la valoración de áreas de isquemia en la angiografía fluoresceínica
2. Es necesario valorar los resultados en el contexto de cada paciente.
Hallazgos de la OCT en fase aguda
Hemorragia retiniana
Hay que decir también que la OCT tiene sus limitaciones, como es el caso de la presencia de hemorragias y exudados intraretinianos, que producen una hiperreflectividad que condiciona la formación de una sombra posterior que imposibilita la correcta visualización de las estructuras retinianas oscurecidas
1.
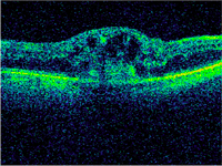
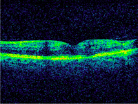
El paciente de la
Figura 1 presenta una hemorragia foveal que afecta a las capas externas, asociada a edema cistoideo. Tras la resolución de la misma (
Figura 2) queda una atrofia permanente de las capas externas, y aunque el contorno foveal se ha normalizado, la agudeza visual no mejora con respecto a la imagen anterior.

Figura 1. Hemorragia foveal. Se aprecia como zona hiperreflectiva que en este caso afecta a capas externas, asociada a edema cistoideo y engrosamiento retiniano foveal.

Figura 2. Resolución de la hemorragia foveal de la Figura 1. La reabsorción de la hemorragia y del edema macular dan paso a una normalización del contorno foveal, con atrofia de las capas externas.
Edema macular
El edema macular, resultado de la rotura de la barrera hematoretiniana, es la principal causa de deterioro visual en la oclusión venosa de la retina (OVR)
8-11. Puede desarrollarse en cualquier momento de la evolución y es el principal motivo que lleva a realizar un tratamiento en un paciente con oclusión venosa de la retina. Los pacientes que no presentan edema macular de inicio requieren control evolutivo para detectar la aparición de este y la formación de neovasos a partir de áreas de isquemia.
Desde la aparición de la OCT se ha podido determinar de una forma más precisa la morfología del edema y cuantificarlo; y también ha sido posible estudiar la implicación de otras estructuras en el desarrollo o el mantenimiento del mismo (hialoides, membranas epiretinianas, membrana limitante interna). Puede valorarse el éxito de determinados tratamientos
10 relacionando los datos morfológicos (OCT) relativos al edema con los resultados funcionales de agudeza visual y de las pruebas electrofisiológicas
12.
La OCT se ha mostrado como una herramienta de gran sensibilidad para la detección del edema macular en sus estadios más iniciales, antes de su detección por biomicroscopía o angiografía fluoresceínica
5.
Cientos de artículos en las últimas décadas describen la evolución del edema en las oclusiones tras la realización de diversos tratamientos (observación, láser, inyecciones intravítreas de corticoides y de antiangiogénicos). Desde su llegada, la OCT se ha hecho fundamental para evaluar la eficacia de todos ellos en la resolución del edema, como queda registrado en numerosos estudios (SCORE, BRAVO, CRUISE, COPERNICUS, GALILEO, GENEVA…)
5,8. El valor de la caracterización y la cuantificación del edema en la OCT tras algunos tratamientos, como único factor pronóstico, está todavía por resolver
11. Hay que tener en cuenta que una mácula sin edema (“seca”) no tiene por qué ser equivalente a una mácula normal y a una buena agudeza visual. Del mismo modo, una mácula con edema no equivale siempre a una mala agudeza visual
5,10. La ausencia de mejora en la agudeza visual tras la resolución del edema macular (EM) se ha relacionado con disrupción de las capas externas de la retina, tanto de la EZ como de la membrana limitante externa
10,13,14.
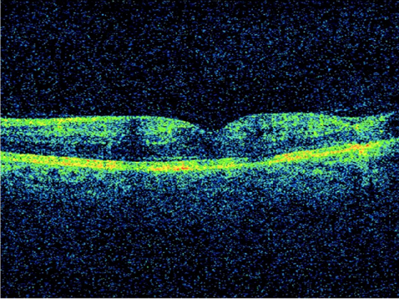
En la
Figura 3 se presenta el caso de una paciente con oclusión de rama superior tratada con antiangiogénicos (tres dosis separadas 1 mes) y fotocoagulación. Tras el tratamiento se obtuvo una mejora significativa del edema, pero con persistencia de algunos quistes. Después de completar la fotocoagulación de áreas isquémicas no fotocoaguladas (en la parte derecha de la angiografía) (
Figura 4) se obtuvo una resolución total del edema, como puede observarse en la imagen de OCT (
Figura 5).

Figura 3. Paciente con oclusión de rama venosa superior y edema macular tratada con antiangiogénicos (tres dosis) y fotocoagulación. En la imagen, OCT tras realizar el tratamiento: no se aprecia engrosamiento retiniano, pero sí persistencia de pequeños quistes intraretinianos.

Figura 4. Angiografía de la paciente anterior en la que se aprecia el cierre vascular en la retina periférica temporal.

Figura 5. Resolución del edema en la paciente de las Figuras 3 y 4 tras realizar fotocoagulación de las áreas de isquemia retiniana periférica.
Es importante no olvidar que los pacientes con oclusiones venosas no son simplemente pacientes con edema macular, sino que otras complicaciones, como la neovascularización secundaria a la isquemia retiniana, sobre todo en las oclusiones de vena central de la retina, pueden poner en serio riesgo la funcionalidad del ojo afectado. Por esto, aunque la OCT está siendo de clara utilidad en el seguimiento del edema, debe analizarse en el contexto de otras exploraciones que ayuden en el manejo de las complicaciones neovasculares
15.
Desprendimiento de la retina neurosensorial
En función de las series publicadas, la incidencia de desprendimiento de la retina neurosensorial en las oclusiones venosas de la retina puede llegar hasta el 80%. Habitualmente aparece asociado a edema macular cistoideo. Está todavía por determinar la relación entre la presencia de fluido subretiniano y la agudeza visual final, ya que hay resultados contradictorios en las series publicadas
9,10,16.
En las Figuras 6 a 9 se muestra un paciente con oclusión de vena central de la retina en el ojo izquierdo en el momento del diagnóstico (
Figura 6). En la imagen de OCT (
Figura 7) se aprecia edema macular cistoideo asociado a desprendimiento de la retina neurosensorial. Finalizado el tratamiento con tres dosis de antiangiogénicos separadas 1 mes, se observa una mejora en el aspecto fundoscópico (
Figura 8), con resolución parcial de las hemorragias retinianas, pero en la imagen de OCT (
Figura 9) se observa que no se ha detectado mejora anatómica, sino que hay un aumento del fluido subretiniano.


Figuras 6 y 7. Oclusión de la vena central de la retina del ojo izquierdo isquémica antes del tratamiento. Figura 6: Retinografía. Figura 7: OCT que muestra edema macular cistoideo con desprendimiento de la retina neurosensorial.


Figuras 8 y 9. Oclusión de la vena central de la retina del paciente de las Figuras 6 y 7 tras el tratamiento con antiangiogénicos (tres dosis en 3 meses consecutivos). En la retinografía (Figura 8) puede apreciarse la disminución notable del número de hemorragias. En la imagen de OCT (Figura 9) se observa la persistencia del engrosamiento retiniano con quistes intraretinianos, pérdida del contorno foveal y desprendimiento de la retina neurosensorial.
Hallazgos de la OCT en fase crónica
-
Hemorragias premaculares secundarias a neovascularización.
-
Engrosamiento de la limitante interna.
-
Membrana epiretiniana: se aprecia como una línea hiperreflectiva sobre la superficie interna de la retina5.
En la
Figura 10 se muestra una oclusión de vena central de la retina de 1 año de evolución, con importante tortuosidad, colaterales papilares, edema macular y exudación lipídica crónica. En la imagen de OCT del mismo paciente (
Figura 11) se aprecia un gran engrosamiento retiniano con quistes intraretinianos y desprendimiento seroso retiniano. En la parte de la izquierda de la imagen puede verse tanto la hialoides como la presencia de una membrana epiretiniana.

Figura 10. Oclusión de la vena central de la retina después de 1 año de evolución: importante tortuosidad vascular, colaterales papilares, edema macular y exudación lipídica crónica.

Figura 11. OCT del paciente de la Figura 10: gran engrosamiento retiniano con quistes intraretinianos y desprendimiento seroso retiniano. En la parte izquierda de la imagen se ven tanto la hialoides como una membrana epirretiniana.
Tras la realización de una vitrectomía con pelado de la membrana epiretiniana se aprecia en la OCT (
Figura 12) una recuperación significativa de la arquitectura retiniana, aunque con atrofia de la retina neurosensorial e irregularidad de la línea del epitelio pigmentado de la retina (EPR). La agudeza visual pasó de 0,05 a 0,1.
-
Edema macular crónico.
-
Agujero macular.
-
Agujero lamelar.

Figura 12. OCT del paciente de la Figura 10-11 tras la vitrectomía: recuperación significativa del espesor retiniano con atrofia de la retina neurosensorial e irregularidad de la línea del EPR.
El agujero lamelar es un defecto parcial en las capas internas de la retina, manteniéndose la continuidad en las capas externas. Su origen en las oclusiones venosas puede deberse a la formación de membrana epiretiniana, de manera secundaria a un edema macular crónico y en asociación con un desprendimiento agudo posterior del vítreo
14.
La transformación del edema macular en agujero lamelar no siempre se acompaña de una reducción significativa en la agudeza visual, lo que se cree debido a la integridad de las capas externas de la retina
14.
-
Fibrosis subretiniana.
-
Atrofia macular.
El paciente con oclusión de vena central de la retina (OVCR) cuya OCT se muestra en la
Figura 13 presentaba a los 14 meses un edema macular grave con quiste central de gran tamaño, ocupando la totalidad del espesor retiniano. Tras realizar una panfotocoagulación desapareció el edema, evolucionando a atrofia macular de la retina neurosensorial y desestructuración de las capas externas (
Figura 14).

Figura 13. Oclusión de la vena central de la retina 14 meses después del diagnóstico: importante engrosamiento retiniano con grandes cavidades quísticas que ocupan el espesor completo macular.

Figura 14. OCT del paciente de la Figura 13 tras la panfotocoagulación: desaparición del edema, evolucionando a atrofia macular de la retina neurosensorial y desestructuración de las capas externas.
Bibliografía
-
Puzyeyeva O, Lam WC, Flanagan JG, Brent MH, Devenyi RG, Mandelcorn MS, et al. High-resolution optical coherence tomography retinal imaging: a case series illustrating potential and - limitations. J Ophthalmol. 2011;2011:764183.
-
Jaulim A, Ahmed B, Khanam T, Chatziralli IP. Branch retinal vein occlusion: epidemiology, pathogenesis, risk factors, clinical features, diagnosis, and complications. An update of the literature. Retina. 2013;33(5):901-10.
-
Ota M, Tsujikawa A, Murakami T, Kita M, Miyamoto K, Sakamoto A, et al. Association between integrity of foveal photoreceptor layer and visual acuity in branch retinal vein occlusion. Br J Ophthalmol. 2007;91(12):1644-9.
-
Rahimy E, Rayess N, Maguire JI, Hsu J. Radial versus raster spectral-domain optical coherence tomography scan patterns for detection of macular pathology. Am J Ophthalmol. 2014. pii: S0002-9394(14)00247-5.
-
Hunter A, Chin EK, Telander DG. Macular edema in the era of spectral-domain optical coherence tomography. Clin Ophthalmol. 2013;7:2085-9
-
Querques G, Lattanzio R, Querques L, Triolo G, Cascavilla ML, Cavallero E, et al. Impact of intravitreal dexamethasone implant (Ozurdex) on macular morphology and function. Retina. 2014;34(2):330-41.
-
Pfister M, Rothweiler F, Michaelis M, Cinatl J Jr, Schubert R, Koch FH, et al. Correlation of inflammatory and proangiogenic cytokines from undiluted vitreous samples with spectral domain OCT scans, in untreated branch retinal vein occlusion. Clin Ophthalmol. 2013;7:1061-7.
-
Gallego-Pinazo R, Dolz-Marco R, Pardo-López D, Martínez-Castillo S, Lleó-Pérez A, Arévalo JF, et al. Ranibizumab for serous macular detachment in branch retinal vein occlusions. Graefes Arch Clin Exp Ophthalmol. 2013;251(1):9-14.
-
Ota M, Tsujikawa A, Murakami T, Kita M, Miyamoto K, Sakamoto A, et al. Association between integrity of foveal photoreceptor layer and visual acuity in branch retinal vein occlusion. Br J Ophthalmol. 2007;91(12):1644-9.
-
Kang HM, Chung EJ, Kim YM, Koh HJ. Spectral-domain optical coherence tomography (SD-OCT) patterns and response to intravitreal bevacizumab therapy in macular edema associated with branch retinal vein occlusion. Graefes Arch Clin Exp Ophthalmol. 2013;251(2):501-8.
-
Mohn CH, Ahn SI, Ohn YH, Kwak HW, Park TK. Visual prognostic value of photopic negative response and optical coherence tomography in central retinal vein occlusion after anti-VEGF treatment. Doc Ophthalmol. 2013;126(3):211-9.
-
Gardašević Topčić I, Suštar M, Brecelj J, Hawlina M, Jaki Mekjavić P. Morphological and electrophysiological outcome in prospective intravitreal bevacizumab treatment of macular edema secondary to central retinal vein occlusion. Doc Ophthalmol. 2014;129(1):27-38.
-
Domalpally A, Peng Q, Danis R, Blodi B, Scott IU, Ip M; SCORE Study Research Group. Association of outer retinal layer morphology with visual acuity in patients with retinal vein occlusion: SCORE Study Report 13. Eye (Lond). 2012;26(7):919-24.
-
Tsukada K, Tsujikawa A, Murakami T, Ogino K, Yoshimura N. Lamellar macular hole formation in chronic cystoid macular edema associated with retinal vein occlusion. Jpn J Ophthalmol. 2011;55(5):506-13.
-
Brown DM, Wykoff CC, Wong TP, Mariani AF, Croft DE, Schuetzle KL; for the RAVE Study Group. Ranibizumab in preproliferative (ischemic) central retinal vein occlusion: the Rubeosis Anti-VEGF (RAVE) trial. Retina. 2014
-
Otani T, Yamaguchi Y, Kishi S. Movement of intraretinal fluid from distant branch retinal vein occlusion to the submacular space. Clin Ophthalmol. 2013;7:81-6.