Volumen 22 - Número 2 - Abril-Junio 2014
Enfermedad de Kimura: a propósito de un caso
M. López Fortuny1, G. MartÃnez Grau1, MA. Martinez Lanao2, F. Tresserra Casas2
1Unidad de Oculoplastia, Centro de Oftalmología Barraquer. Barcelona
2Departamento de Anatomía Patológica, Instituto Universitario Dexeus. Barcelona
CORRESPONDENCIA
RESUMEN
Objetivo: Descripción de la enfermedad de Kimura; etiologías, diagnóstico anatomopatológico, evolución y tratamiento de sus complicaciones.
Caso clínico: Mujer de 45 años que acude por inflamación palpebral superior en ojo izquierdo de seis meses de evolución.
A la exploración presenta tumoración indolora, blanda, depresible y no adherida a planos profundos por encima de arco supraciliar izquierdo. Se decide extirpación con posterior biopsia de la lesión. Dadas las características macroscópicas y la clínica que presenta nuestra paciente, el diagnóstico de presunción inicial es de quiste dermoide. Según el resultado del estudio anatomopatológico nuestro caso presenta un linfogranuloma hiperplásico eosinófilo o enfermedad de Kimura. Se trata de un transtorno inflamatorio crónico infrecuente y de etiología aún desconocida.
Conclusión: Destacar la importancia del estudio anatomopatológico para el diagnóstico diferencial de tumoraciones como en el caso de nuestra paciente (hiperplasia angioide con eosinofília, cilindroma, dermatofibrosarcoma protuberante, sarcoma de kaposi y granuloma piogénico), muchas veces etiologías con clínica similar pero diferencias en pronóstico y evolución.
RESUM
Objectiu: Descripció de la malaltia de Kimura; etiologies, diagnòstic anatomopatològic, evolució i tractament de les seves complicacions.
Cas clínic: Dona de 45 anys que acudeix per inflamació palpebral superior en ull esquerre de sis mesos d'evolució.
A l'exploració presenta tumoració indolora, tova, depressible i no adherida a plans profunds per sobre d'arc supraciliar esquerre. Es decideix extirpació amb posterior biòpsia de la lesió. Donades les característiques macroscòpiques i la clínica que presenta la nostra pacient, el diagnòstic de presumpció inicial és de quist dermoide. Segons el resultat de l'estudi anatomopatològic nostre cas presenta un limfogranuloma hiperplásic eosinófil o malaltia de Kimura. Es tracta d'un trastorn inflamatori crònic infreqüent i d'etiologia encara desconeguda.
Conclusió: Destacar la importància de l'estudi anatomopatològic per al diagnòstic diferencial de tumoracions com en el cas de la nostra pacient (hiperplàsia angioide amb eosinofília, cilindroma, dermatofibrosarcoma protuberant, sarcoma de Kaposi i granuloma piogénico), moltes vegades amb clínica similar però diferències en pronòstic i evolució.
ABSTRACT
Objective: Description of Kimura's disease; etiologies, pathology diagnosis, prognosis and treatment of its complications.
Case report: 45 year old woman who presented with left upper eyelid swelling eye of six months.
Examination revealed painless, soft, depressible tumor and not adhered to deep planes above left superciliary arch. Is removed and biopsy of the lesion is performed. Initial diagnosis is presumed dermoid cyst. According to the result of the pathological anatomical study our case presents an eosinophilic hyperplastic lymphogranuloma or Kimura disease. This is a rare chronic inflammatory disorder with unknown etiology yet.
Conclusion: Emphasize the importance of pathologic examination for differential diagnosis of tumors as in the case of our patient (hyperplasia with eosinophilia angioid, cylindroma, dermatofibrosarcoma protuberans, Kaposi's sarcoma and pyogenic granuloma), similar clinical presentation but differences in prognosis and outcome.
Introducción
Mujer de 45 años que acude por inflamación palpebral superior indolora en ojo izquierdo de seis meses de evolución. En la exploración presenta tumoración blanda, depresible y no adherida a planos profundos por encima del arco supraciliar izquierdo. Se decide extirpación de la lesión y realización de biopsia. Dadas las características macroscópicas y la clínica que presenta la paciente, el diagnóstico de presunción es de quiste dermoide. El estudio anatomopatológico de la tumoración obitaria cataloga a nuestra paciente de enfermedad de Kimura. Se trata de un transtorno inflamatorio crónico infrecuente y de etiología aún desconocida.
Caso clínico
La paciente presenta edema de párpado superior izquierdo. En la exploración se constata una masa blanda y depresible por encima del arco supraciliar izquierdo (
Figura 1). Los bordes están bien delimitados, es móvil e indolora y no está adherida a planos profundos. Se realiza una prueba de resonancia magnética (RMN) con imágenes potenciadas en T1 y T2, que describe la tumoración de aspecto plástico de 8 x 25 mm, no agresivo, inmerso en el tejido celular graso subcutáneo y sin presentar aspecto agresivo.

Figuras 1a y 1b. Masa blanda y depresible por encima del arco supraciliar izquierdo.
En la primera visita la agudeza visual corregida de ambos ojos es de la unidad y no se describen anomalías en segmento anterior ni posterior. Como únicos antecedentes personales epilepsia desde hace ocho años.
Se realiza extirpación de la tumoración orbitaria mediante una incisión en el surco palpebral para evitar una cicatriz posterior. A través de la incisión se profundiza por debajo del músculo orbicular y por encima del septum orbitario con tijera, hasta encontrar la grasa y la lesión encapsulada. La apariencia macroscópica es de quiste dermoide. Se extirpa en su totalidad y se realiza biopsia de la pieza. Se emplea sutura de vicryl para planos profundos y prolene para la sutura intradérmica de la piel. Postoperatorio de 1 semana (
Figura 2) y a los 2 meses (
Figura 3).

Figura 2 a y b. Postoperatorio a la semana de la intervención.

Figura 3 a y b. Fotografías realizadas a los dos meses de la extirpación de la lesión.
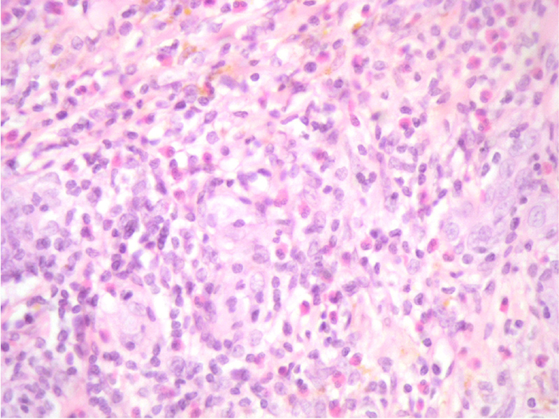
En la biopsia se observan cambios compatibles con la enfermedad de Kimura; Áreas con infiltrado eosinofílico, vasos prominentes y con hialinización de la pared. El estudio inmunohistoquímico positivo para CD34 (
Figura 4 y
Figura 5).

Figura 4. Áreas con vasos prominentes y con hialinización de la pared.

Figura 5. Prominente infiltrado eosinofílico con múltiples vasos con endotelio prominente (endotelio vascular puesto de manifiesto mediante inmunohistoquímica por expresión de CD34).
La enfermedad de Kimura es un trastorno inflamatorio crónico de etiología desconocida. Se ha relacionado con su fisiopatología la reacción de hipersensibilidad (principal), los traumatismos y la autoinmunidad. Y se manifiesta con afectación de la piel, los ganglios linfáticos y/o glándulas salivales (lagrimales) por una proliferación anormal de los folículos linfoides y del endotelio vascular, con presencia de abundantes eosinófilos tanto en el infiltrado inflamatorio como en sangre periférica. Se relacionada hasta un 15-19% con síndrome nefrótico. La paciente no presentaba eosinofília ni disfunción renal en analíticas realizadas.
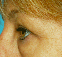
Es un trastorno benigno pero la capacidad de crecimiento de las lesiones (con desfiguración importante en algunos casos) y la poca frecuencia de involución espontánea obliga a plantear tratamiento mediante extirpación de las lesiones en la mayoría de los casos. En el caso de nuestra paciente se muestra el aspecto preoperatorio, a la semana y al mes de la cirugía (
Figura 6,
Figura 7 y
Figura 8 respectivamente).

Figura 6. Fotografía lateral preoperatoria.

Figura 7. Fotografía lateral realizada a la semana de la extirpación de la lesión.

Figura 8. Fotografía lateral realizada al mes de la intervención.
La RMN y la ecografía son pruebas que ayudan a determinar la extensión de la de las lesiones. Aunque la biopsia de la lesión la prueba diagnóstica en la enfermedad de Kimura.
Discusión
La enfermedad de Kimura es una patología poco frecuente, benigna y de etiología aún desconocida. Debuta típicamente con masas subcutáneas o adenopatías cervicales que afectan región de cabeza y cuello, asociada normalmente con linfadenopatias. Son lesiones de crecimiento lento e indoloras, como el caso de nuestra paciente. La biopsia es la prueba diagnóstica de esta enfermedad y aparece infiltrado eosinófilo sin clonalidad y malformaciones arteriovenosas con inflamación secundaria. Ante el diagnóstico es importante realizar analítica (para detectar eosínofília y para descartar síndrome nefrótico con creatinina, y nitrógeno ureico en sangre), detección de niveles séricos de inmunoglobulina E (elevados) y niveles urinarios de proteínas para descartar disfunción renal concomitante.
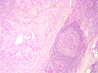
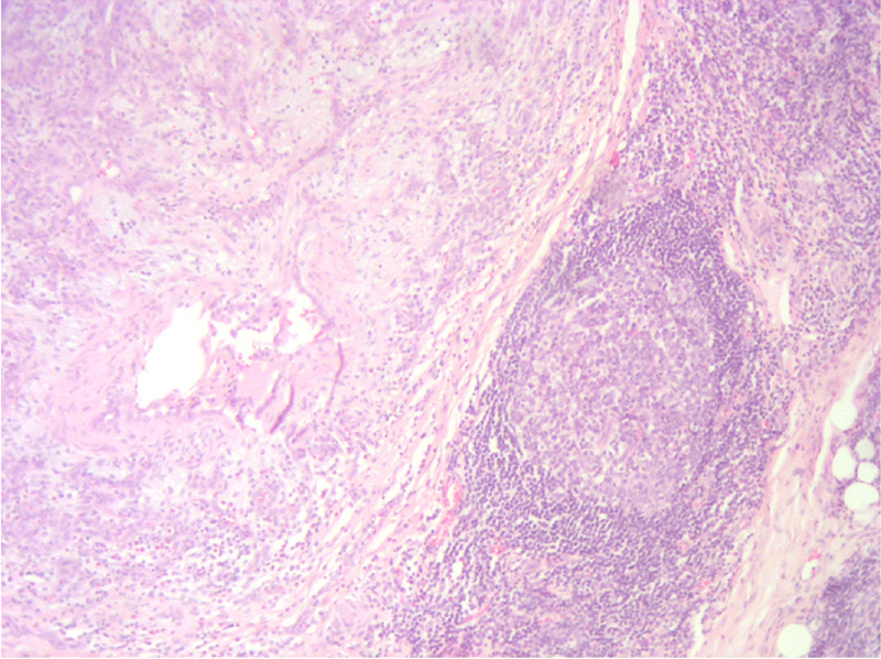
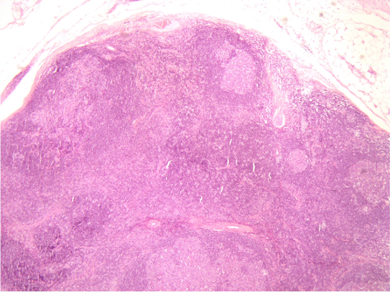
Histológicamente en la afectación del ganglio linfático (
Figura 9) hay una hiperplasia de centros germinales en los que se observa vascularización, fibrosis intersticial y depósitos de material proteináceo. Se observa también infiltrado por leucocitos polimorfonucleares eosinófilos que en ocasiones forman microabscesos. Pueden observarse vasos hialinizados en la región subcortical y esclerosis sinusal y paracortical.

Figura 9. Ganglio linfático con centros germinales prominentes e hiperplasicos.
Aquellos pacientes con enfermedad de Kimura y lesiones deformantes el tratamiento mediante exéresis de las tumoraciones es el tratamiento de elección, aunque la recidiva es frecuente. En la mayoría de pacientes diagnosticados (y excluidas otras causas de masa orbitaria como cilindromas, dermatofibrosarcoma protuberante, sarcoma de Kaposi y quiste dermoide) se realiza observación periódica y seguimiento mediante exploración y pruebas de imagen (RMN para detección de crecimiento de las lesiones).
Bibliografía
-
Un Wanat, Karolyn, et al. Kimura disease rewiew. Emedicine dermatología; 2010.
-
Yoganathan P, et al. Kimura disease in lacrimal glandular bilateral. Arch Ophthalmol. 2004;179-83.