Volumen 21 - Número 4 - Octubre-Diciembre 2013
Síndrome de Vogt-Koyanagi-Harada, ¿una enfermedad infrecuente?
Joan Felip Fures1, Marisol Moruno Aparicio1, Lluis Ramió Torrenta2, Joan Tarrús de Vehi1, Teresa Torrent Solans1
1Servicio de Oftalomología Hospital Universitari Dr. Josep Trueta de Girona
2Servicio de Neurología Hospital Universitari Dr. Josep Trueta de Girona
Hospital Universitari de Girona Dr. Josep Trueta. Girona.
CORRESPONDENCIA
Joan Felip Fures
Servei d’Oftalmologia
Hospital Universitari de Girona Dr. Josep Trueta
Carretera de França, s/n. 17007 Girona
E-mail:
info@felip.cat
RESUMEN
La enfermedad de Vogt-Koyanagi-Harada está descrita como una panuveítis granulomatosa bilateral asociada a manifestaciones neurológicas y dermatológicas de aparición infrecuente en áreas geográficas como la nuestra. No obstante, presentamos 3 casos de pacientes diagnosticados en nuestro hospital en un periodo de 6 meses (Noviembre - Abril). El síntoma principal en los 3 casos fue la disminución severa de la agudeza visual (AV), motivada por desprendimiento de retina (DR) bilateral, y cefalea. Otros síntomas estaban presentes en diferente grado.
Los 3 pacientes eran inmigrantes provenientes de África y América Latina. Los importantes cambios migratorios que se producen en nuestra población tienen que hacernos tener más presentes enfermedades hasta ahora consideradas como muy infrecuentes en nuestro entorno.
RESUM
El síndrome de Vogt-Koyanagi-Harada està descrit com una panuveïtis granulomatosa bilateral associada a manifestacions neurològiques i dermatològiques d’aparició infreqüent en el nostre entorn. Tot i així, presentem 3 casos de pacients diagnosticats al nostre hospital en un període de 6 mesos (Novembre-Abril). El símptoma principal en els 3 casos va ser la disminució severa de l’agudesa visual (AV), motivada per despreniment de retina (DR) bilateral, i cefalea. D’altres símptomes estaven presents en diferent grau.
Els 3 pacients eren immigrants provinents d’Àfrica i Amèrica Llatina. Els importants canvis migratoris que es produeixen a la nostra població fa que haguem de tenir més presents malalties considerades fins ara com a molt infreqüents al nostre entorn.
ABSTRACT
Vogt-Koyanagi-Harada syndrome is a bilateral granulomatous uveitis with neurological and dermatological association, that appears rarely in our country. However, we present 3 cases diagnosticated in our hospital in a period of 6 months (November 2- April). The most common was the severe decrease in vision due to bilateral exudative retinal detachment, and headache. There were another associated clinical signs. They were people coming from Africa and South America. Is important to include in the differential diagnosis this syndrome.
Caso clínico
El síndrome de Vogt-Koyanagi-Harada (V-K-H) es un trastorno inflamatorio sistémico que afecta predominantemente a personas muy pigmentadas, mostrando un ligero predominio por el sexo femenino. Se trata de una enfermedad autoinmune contra células pigmentadas y, aunque su etiología es desconocida, se ha descrito destrucción de melanocitos causada por células T citotóxicas, especialmente en ojo, piel y derivados de la cresta neural. También se ha barajado la etiología viral, dado el periodo prodrómico pseudogripal de la enfermedad y una mayor incidencia en otoño y primavera.
Se trata de una panuveítis granulomatosa bilateral que se asocia a manifestaciones neurológicas, dermatológicas y auditivas. Hay que descartar el antecedente de lesión ocular penetrante o de cirugía ocular previa para descartar una oftalmía simpática. Los hallazgos aislados en el segmento posterior del ojo en ausencia de afectación sistémica, reciben el nombre de Enfermedad de Harada.
El diagnóstico es fundamentalmente clínico y debemos sospecharlo ante el compromiso de los síntomas antes citados. La enfermedad se puede dividir en 4 fases:
-
la fase prodrómica, caracterizada por un cuadro pseudogripal con síntomas que podrían incluir cefalea, acúfenos, disacusia y meningismo.
-
La fase uveítica aguda dura de 2 a 6 semanas y se caracteriza por DR bilateral (Figuras 1, 2 y 3).
-
En la fase de convalescencia (Figura 4) aparece despigmentación de la piel y la úvea.
-
La fase final se caracteriza por inflamación crónica y recurrente, que frecuentemente da lugar a catarata, glaucoma y neovascularización.

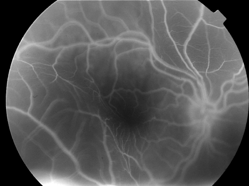
Figura 1. Imagen DR seroso en el V-K-H.

Figura 2. Imagen angiográfica del DR seroso.

Figura 3. Imagen ecográfica del DR seroso.

Figura 4. Cambios pigmentarios del fondo de ojo en la enfermedad en fase de convalescencia.
Los síntomas responden bien a los corticoides sistémicos, pudiendo ser necesaria la inmunomodulación para frenar la progresión de la enfermedad y sus complicaciones oculares.
Presentamos 3 casos de V-K-H aparecidos en nuestro Hospital, Dr. Josep Trueta de Girona, en un periodo de 6 meses (Nov 2009-Abril 2010). El síntoma principal fue la disminución de la AV bilateral, acompañada en mayor o menor grado de cefalea y malestar general. Los 3 casos respondieron bien al tratamiento con bolus de corticoides y posterior pauta descendiente. Dos de los pacientes han hecho recurrencias corticodependientes, manifestándose con disminución de la AV y dolor, por lo que se ha pasado a tratamiento con Ciclosporina A.
A todos los pacientes se les realizó examen visual con AV, BMC, PIO, Fondo de OJO, AGF, ECO-B; analítica general; estudio RMN y PL (punción lumbar) (
Tabla 1).

Tabla 1. Presentación clínica del V-K-H.
Conclusión
Los cambios migratorios hacen que enfermedades hasta ahora descritas como propias de otras áreas geográficas aparezcan más frecuentemente en nuestro entorno. Así pues, hay que tener presentes todos los diagnósticos sin exclusión a la hora de plantear el diagnóstico diferencial. La aparición de 3 casos de VKH en un periodo de 6 meses en el ámbito territorial de Girona es un buen ejemplo.
Bibliografía recomendada
-
García O, Arcediano MA. Síndrome de Vogt-Koyanagi-Harada: revisión en el área de influencia de la CSUB. Annals d’Oftalmologia. 2001;9(1):24-8.
-
Reed RW, Holland GN, Rao NA, et al. Revised diagnostic criteria for Vogt-Koyanagi-Harada disease: report of an International Committee on Nomenclature. Am J Ophthalmol. 2001;131:647-52.
-
Díaz-Llopis M, Navea A, et al. Síndrome de Vogt-Koyanagi-Harada. Actualización. Studium Ophthalmologicum 2004; 22:157-66.
-
Gómez-Ulla F, Corcóstegui B. Angiografía fluoresceínica y láser. Capítulo 19:264-6.
-
Parkin J, Cohen B. An overview of the immune system. Lancet 2001;357:1777-89.
-
Forster DJ, Rao NA, Hill RA, et al. Incidence and management of glaucoma in Vogt-Koyanagi-Harada syndrome. Ophthalmology. 1993;100:613-18.