N. Padrón, E. Cobos, J. Català , P. GarcÃa Bru, L. Arias, MJ. Rubio, JM. Caminal
La oclusión de arteria central de la retina y la oclusión de rama arterial retiniana constituyen una causa de pérdida de visión aguda e indolora y son consideradas formas de accidente cerebrovascular.
Presentamos sus características más importantes así como el manejo a corto y largo plazo.
L’oclusió de l’artèria central de la retina i l’oclusió de branca arterial retiniana constitueixen una causa de pèrdua de visió aguda i indolora i son considerades formes d’accident cerebrovascular.
Presentem les seves característiques més importants així com el maneig a curt i llarg termini.
Central retinal artery occlusion and branch retinal artery occlusion cause painless visual loss and are both forms of cerebrovascular accident.
We discuss their important features and their short and long term management.
Introducción
La oclusión de la arteria central de la retina (OACR) y la oclusión de rama arterial retiniana (ORAR), dos formas de oclusiones vasculares arteriales, se presentan habitualmente con disminución monocular de la agudeza visual, de carácter agudo y sin dolor asociado. Ambos trastornos son considerados como formas de accidente cerebrovascular. En el caso de la OACR, constituye una entidad oftalmológica seria con pobre pronóstico visual. Sin embargo, en la ORAR prácticamente un 80% de los pacientes recuperan la visión
1. Se estima que la incidencia de la OACR (sin entrar en subdivisiones) es aproximadamente de 8,5 por 100.000 habitantes. El curso espontáneo de la misma es devastador porque en el 92% de los casos la visión tras el evento vascular es de cuenta dedos o menos
2-5.
Desde la descripción von Graefe en 1859
6, se han propuesto múltiples tratamientos conservadores para mejorar la visión. En los últimos años se han realizado estudios para valorar la eficacia de la terapia intra-arterial trombolítica en el manejo de la OACR. El objetivo de la presente revisión es presentar un protocolo de actuación en urgencias para el manejo de ambas condiciones, insistiendo fundamentalmente en la OACR no arterítica por su frecuencia, gravedad e implicaciones sistémicas.
Recuento anatómico
La arteria central de la retina (ACR) se origina de la arteria oftálmica, que a su vez constituye una rama de la arteria carótida interna. Una vez que la arteria oftálmica penetra en la órbita, nace la ACR que discurre por debajo del nervio óptico y por dentro de su vaina dural hacia el globo ocular. Cerca de éste último, perfora el nervio óptico, emitiendo ramas sobre la superficie interna de la retina. La ACR suministra el flujo sanguíneo a la retina interna y a la superficie del nervio óptico. En aproximadamente un 15-30% de los individuos, la ACR es asistida por una rama denominada “arteria ciliorretiniana” la cual puede proporcionar aporte sanguíneo a una parte de la retina, incluyendo la mácula. En los casos de OACR-NA con arteria cilioretiniana presente, la visión puede estar preservada ya que el aporte sanguíneo de la mácula permanece intacto.
Clasificación
Actualmente se sugiere dividir las oclusiones vasculares arteriales en varios grupos, según etiología, fisiopatología, rasgos clínicos y manejo terapéutico (
Tabla 1).

Tabla 1. Clasificación de las oclusiones vasculares arteriales retinianas.
Estudios recientes han propuesto que las oclusiones vasculares arteriales se agrupan en 5 categorías fundamentales: OACR no arterítica (OACR-NA) permanente, OACR-NA transitoria, OACR-NA con preservación de arteria ciliorretiniana, OACR arterítica asociado a arteritis de células gigantes (ACG) y ORAR (transitoria o permanente e incluye la oclusión de arteria ciliorretiniana). La oclusión de arteria ciliorretiniana (OACLR) puede incluir a su vez OACLR sola, OACLR ciliorretiniana de origen arterítico (OACLR-A) asociado a ACG y OACLR con oclusión de vena central de la retina (OVCR)
7-9.
Hayreh
et al.10 realizó un estudio con 499 ojos con oclusiones arteriales retinianas. En el mismo, cada evento vascular fue subdivido de acuerdo a la clasificación mencionada anteriormente. La mayor parte de los casos con OACR correspondían a OACR-NA (271 ojos), 37 (16%) de ellas tenían afectación bilateral. De los 271 ojos con OACR-NA, 156 ojos presentaron OACR-NA permanente. En la evaluación de las oclusiones de rama, se observaron 160 ojos con ORAR incluyendo las OACLR-NA. La mayoría de estos ojos (133) se presentaron con ORAR-NA permanente.
Causas de oclusión arterial retiniana
Las oclusiones arteriales retinianas comparten en general las mismas causas. Las series de casos que se han propuesto realizar una distribución de las etiologías por grupos de edad son pequeñas o incluyen casos heterogéneos sin distinguir entre las categorías anteriormente expuestas. De igual manera, las evaluaciones diagnósticas no son estandarizadas y varían entre los estudios.
La distribución está influenciada por la edad. Con diferencia, la aterosclerosis carotídea es la causa más común de oclusiones arteriales retinianas de manera global, pero es poco frecuente por debajo de los 40 años. Por otro lado, los émbolos de origen cardiogénico representan la etiología más frecuente en este último grupo de edad
11,12. En pacientes mayores de 70 años hay que considerar la ACG. La raza puede ser relevante, dado que la enfermedad carotídea es más prevalente entre caucásicos
13.
Enfermedad arterial carotídea
Es la causa más común de OACR-NA en todas sus variantes. Puede originar oclusión arterial retiniana por 3 mecanismos.
-
Embolismo: con diferencia la causa más frecuente. La mayor fuente de émbolos son las placas arterioscleróticas de la arteria carótida. En una serie de 499 ojos con eventos vasculares arteriales, Hayreh et al.10 observaron que en la ecografía doppler y angiografía de los vasos carotídeos las placas arterioscleróticas estaban presentes en 71% de los casos con OACR-NA y en un 66% de los pacientes con ORAR-NA.
-
Alteraciones hemodinámicas: para producir isquemia retiniana u ocular por reducción del flujo sanguíneo, la arteria carótida interna debe presentar una estenosis significativa (usualmente alrededor del 70%). La reducción del flujo sanguíneo, particularmente la hipotensión arterial nocturna asociada a estenosis marcada de la arteria carótida pueden ocasionar OACR-NA transitoria7. Sharma et al.14 observaron que solo el 18,7% de los pacientes con oclusiones vasculares retinianas agudas presentaban estenosis hemodinámicamente significativa de la arteria carótida. La presencia de un émbolo retiniano es un elemento predictor pobre de hallazgo de estenosis hemodinámicamente significativa en el doppler carotídeo.
-
Serotonina: en presencia de lesiones ateroscleróticas la serotonina puede producir una oclusión transitoria o completa de la ACR o reducir su flujo sanguíneo. Constituye una sustancia que se libera durante el proceso de agregación plaquetaria en las placas ateroscleróticas en la arteria carótida15.
Embolos retinianos
Los émbolos retinianos son de 3 tipos: colesterínicos (placas de Hollenhorst), fibrino-plaquetarios y cálcicos. Los émbolos colesterínicos, descritos en 1958 por Witmer y Schmid
16 son cuerpos refringentes de color amarillo, anaranjado o cobrizo y de forma globular o rectangular. Los émbolos fibrino-plaquetarios, descritos por Fisher
17 en 1959 cuando presenció una crisis de amaurosis unilateral transitoria, constituyen un material blanco-grisáceo espeso y por lo general móvil, con aspecto liso y alargado (adaptado a la forma del vaso) en la fundoscopia. Tienden a fragmentarse y se deben diferenciar de las pequeñas zonas claras resultantes de la segmentación y aglutinación de la columna hemática en los vasos ocluidos. Los émbolos cálcicos son cuerpos no refringentes, sólidos, blancos y de forma ovoidea. El estudio de Arruga y Sanders
18 mostró que los émbolos son de tipo colesterínicos en un 74% de los casos, fibrino-plaquetarios en un 15,5% y cálcicos en un 10,5% (
Figura 1).

Figura 1. Oclusión de rama arterial inferior. Se observa émbolo cálcico a nivel papilar y ramas arteriales inferiores filiformes.
La arteria carótida y el corazón son las fuentes principales de émbolos. En el caso de la carótida, la placa aterosclerótica es el origen más común. En el corazón las fuentes embolígenas provienen habitualmente de lesiones en las válvulas mitral, aórtica, persistencia agujero oval, tumor en el atrio izquierdo y mixoma
19.
Resulta conveniente comentar algunos aspectos relacionados con la etiología de las oclusiones arteriales retinianas. La ausencia de cualquier anomalía con la exploración doppler de la arteria carótida no descarta que esta sea la fuente de émbolos. Cuando es evaluada la carótida por ecografía doppler, los cirujanos vasculares, neurólogos y otros especialistas están más interesados en el grado de estenosis de la carótida y si existe insuficiencia hemodinámica significativa. Sin embargo, las oclusiones arteriales en el ojo son producidas por microémbolos que tienen su origen en la placa aterosclerótica, exista o no una estenosis significativa de la carótida. Se ha reportado previamente hasta un 26% de casos con síndrome isquémico ocular sin estenosis carotidea significativa ipsilateral
20. Nicolaides
et al.21 describió la presencia de infartos cerebrales sin evidencia de estenosis de la arteria carótida ipsilateral. Por tanto, desde el punto de vista oftalmológico cuando se evalúan los resultados del eco doppler carotídeo, la presencia de placas es de mayor importancia respecto a la presencia o no de una estenosis significativa. De igual manera, la ausencia de estenosis importante no descarta un síndrome de isquemia ocular.
Se cree que la ecocardiografía descarta el origen de los microémbolos cardiacos. Teniendo en cuenta la técnica empleada y la resolución del equipo, el transductor ecográfico puede no ser lo suficientemente sensible para detectar lesiones pequeñas valvulares. Si la ecocardiografía transtorácica no detecta ninguna alteración, podría ser necesaria una ecografía transesofágica.
Una característica de los émbolos es su capacidad para migrar. Obviamente, si se encuentra un émbolo probablemente esta sea la causa de la oclusión. De no ser así, se dan dos situaciones. Primero, que el émbolo se encuentre impactado en la porción proximal de la ACR y no sea visible. Segundo, el émbolo puede haber originado una OACR, pero se ha fragmentado o desaparecido en el momento en que el ojo es explorado. Los hallazgos pueden ser típicos, pero la angiografía fluoresceínica (AGF) suele ser normal. Los émbolos cálcicos como regla general no migran; sin embargo, las placas de Hollenhorst y especialmente los émbolos fibrino-plaquetarios migran con frecuencia
10 (
Figura 2).

Figura 2. Émbolos fibrino-plaquetarios en ramas arteriales yuxtapapilares y también en ramas periféricas.
Factores de riesgo asociados
Más que reproducir una lista con las enfermedades locales y sistémicas que pueden ocasionar oclusiones arteriales retinianas, nos centraremos en los factores de riesgo que pueden asociarse a las mismas. Es bien conocido que las enfermedades cardiovasculares como la hipertensión arterial, dislipemia, enfermedad carotídea, enfermedad coronaria, diabetes mellitus, enfermedad cerebrovascular, enfermedad renal y el hábito tabáquico son más frecuentes en pacientes con oclusiones vasculares que en la población general
22-29.
Existen múltiples casos anecdóticos de OACR y/o ORAR asociados con una variedad de patologías como: lupus eritematoso sistémico, poliarteritis nodosa, dengue, virus del Nilo, VIH/SIDA, arteritis de Takayasu, anemia de células falciformes, vacunación vs virus varicela zoster, síndrome de Churg-Strauss, enfermedad de Behçet con afectación ocular, enfermedad de Fabry, traumatismos craneales y migraña. La ACG puede causar OACR y OACLR. Cuando se producen estos eventos vasculares en pacientes mayores de 50 años la ACG debe ser excluida para prevenir una afectación bilateral con disminución marcada de la AV
30.
Existen reportes de casos relacionados con el síndrome de Susac. Este se caracteriza por una tríada: encefalopatía, disminución de la audición y ORAR. Es una microangiopatía que afecta a las arteriolas precapilares del cerebro, oído interno y retina, y que se presenta con más frecuencia en mujeres jóvenes
31,32.
Greven
et al.12 describió la OACR-NA en 21 pacientes menores de 40 años. Según los autores, en el grupo estudiado, la enfermedad valvular cardíaca fue la etiología más común (19%). Otros factores que contribuyeron a un estado de hipercoagulabilidad o riesgo de embolismo fueron identificados en 19 pacientes (91%). Teniendo en cuenta estos hallazgos, concluyeron que las oclusiones arteriales retinianas en adultos jóvenes ocurren por múltiples mecanismos.
Trastornos hematológicos
Se han descrito alteraciones hematológicas asociadas con oclusiones arteriales retinianas. Estas incluyen la trombofilia familiar y adquirida (bajos niveles de proteína C, anticoagulante lúpico, anticuerpos antifosfolípidos y homocisteinemia)
33,34.
Causas raras
Se han descrito casos puntuales de OACR asociadas a los siguientes procedimientos diagnósticos o terapéuticos:
-
Daño directo de la ACR por inyecciones retrobulbares35.
-
OACR secundaria a angiografía cerebral y endarterectomía36-41.
-
OACR secundaria a vitrectomía pars plana con taponamiento posterior con gas y ascenso sobre el nivel del mar o cambio considerable de altitud42.
-
OACR secundaria a inyecciones intravítreas de Anti-VEGF43,44.
Glaucoma neovascular (GNV)
Es un tema controvertido. Existe el error conceptual que la OACR puede ocasionar neovascularización (NV) en el segmento anterior y GNV de manera similar a lo que ocurre después de una OVCR. Duker et al.45, basándose en un estudio de 33 ojos con OACR, observó que el GNV se desarrolló en el 18% de los pacientes (atribuido a la OACR per se). Según los autores, la enfermedad carotídea no fue la causa de NV ya que no se detectó una obstrucción ipsilateral hemodinámicamente significativa en el 71% de los casos. Sin embargo, esta conclusión es cuestionable por las razones que se comentan a continuación: Existe un estudio más amplio que incluyó 232 ojos que evidencia que la isquemia ocular y el GNV pueden estar presentes cuando la arteria carótida interna homolateral a la OACR no muestra una estenosis hemodinámicamente significativa en la evaluación por ECO doppler10. De hecho, se observó que el 26% de los casos mostraron signos de isquemia ocular a pesar de haber una estenosis entre 0-49% en la arteria carótida interna. Por otro lado, la arteria oftálmica y sus ramas pueden estar marcadamente estenosadas y provocar isquemia ocular y NV. En el estudio de Duker45 la incidencia de GNV fue del 18% (33 ojos) y en el estudio de Hayreh10 (232 ojos) la incidencia fue del 2,5%. Por último, no es válido considerar que la isquemia en la OACR y la OVCR son similares. En la OVCR existe una hipoxia crónica; sin embargo, en la OACR es una isquemia severa aguda.En resumen la OACR al parecer no origina per se un GNV, en la fisiopatología de este último subyace un proceso isquémico crónico que da origen a la neovascularización del segmento anterior.
Características clínicas
OACR
La mayoría de los pacientes presentan una disminución profunda, aguda y no dolorosa de la agudeza visual (AV). En ocasiones el evento vascular está precedido por episodios de pérdidas de visión transitoria unilateral
46. Casi nunca la OACR ocurre en ambos ojos simultáneamente, pero sí de manera secuencial
47. La pérdida de visión es habitualmente severa dejando con frecuencia una pequeña isla de visión en el campo temporal, quedando una AV de movimiento de manos o de cuenta dedos (CD). Sin embargo, la AV puede ser normal en los casos con OACR-NA con preservación de arteria ciliorretiniana.
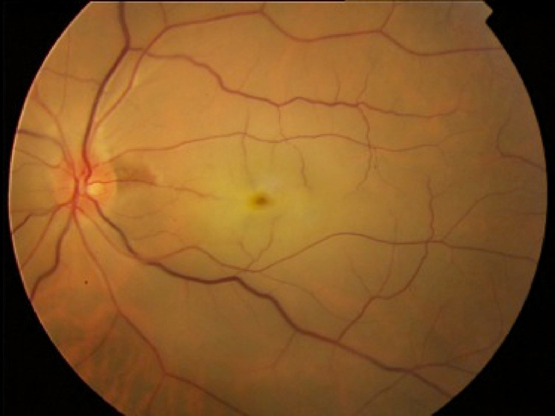
En la exploración fundoscópica se aprecia un blanqueamiento retiniano de origen isquémico inmediatamente después de la oclusión. Suele observarse en la mácula una mancha “rojo cereza” (
Figura 3).

Figura 3. OACR con importante palidez retiniana y mancha rojo cereza.
En la mácula, la retina es más delgada y por tanto el epitelio pigmentario de la retina y la vasculatura coroidea pueden apreciarse más fácilmente. En la OACR-NA con preservación de arteria ciliorretiniana el territorio correspondiente a la perfusión de esta última rama se encuentra intacto.
Un signo característico es la existencia de un defecto pupilar aferente relativo independientemente de la preservación de la arteria ciliorretiniana. En la fase aguda la columna de sangre en arterias y venas puede presentar un aspecto segmentado denominado “box carring”.
ORAR
Los pacientes con ORAR se quejan de disminución de AV monocular limitada a una zona del campo visual donde se encuentra la obstrucción. La fundoscopia revela edema retiniano en el territorio de la rama ocluida. Los émbolos pueden ser visibles hasta en el 66% de los casos
48,49 (
Figura 4 y
Figura 5).

Figura 4. Edema retiniano por oclusión de pequeña rama arterial temporal inferior en paciente con Síndrome de Susac.

Figura 5. Edema asociado a oclusión de rama arterial temporal inferior.
Diagnóstico
El diagnóstico rara vez requiere de exploraciones complementarias, aunque la AGF puede ser necesaria en casos atípicos, sobre todo cuando los hallazgos fundoscópicos no están presentes en el momento agudo.
En la fase aguda la AGF muestra un enlentecimiento o ausencia del llenado de la ACR con un relleno normal de la coroides. Si la coroides se encuentra afectada, la arteritis de células gigantes (ACG) debe ser descartada, sobre todo en adultos mayores. La velocidad de sedimentación globular (VSG) y la proteína C-Reactiva (PCR) deben ser determinadas en pacientes mayores de 50 años con OACR y ausencia de émbolos visibles en la fundoscopia. Si la VSG y la PCR se encuentran elevadas y el escenario clínico es sugestivo de ACG, el paciente debe ser tratado con megadosis de corticoides intravenosos.
Otros estudios complementarios en pacientes con oclusiones vasculares arteriales retinianas van dirigidos a determinar la causa subyacente y no son necesarios para la toma de decisiones en la fase aguda.
Curso clínico
En la mayoría de los casos con OACR se restablece la perfusión en un plazo de horas o días, lo que también se traduce en mejoría en la exploración fundoscópica y en la AGF.
El aspecto opaco o pérdida de transparencia de la retina puede durar días antes que la retina recupere su apariencia normal. Si existiese afectación concomitante de la circulación coroidea, se podrían desarrollar cambios pigmentarios subretinianos del cabo de unas semanas o meses. Con el tiempo el nervio óptico se torna pálido y la capa de fibras nerviosas se vuelve más delgada. Los vasos pueden estar atenuados o retornar a su tamaño normal.
El pronóstico varía según el sitio de la oclusión arterial. La mayoría de los pacientes con ORAR recuperan la visión
1,50, mientras que la mejoría espontánea en la OACR es rara. En estudios experimentales la retina puede sobrevivir entre 90 y 100 minutos después de la oclusión mecánica de la ACR
51-53.
La AV en el momento de la presentación predice el resultado visual final en pacientes con OACR. En una serie de 34 casos consecutivos con OACR sólo el 35% de los ojos alcanzó una visión mejor de 0,2
54. En otra serie de 72 casos con OACR, solo en 4 ojos la AV fue superior a CD
55 (
Figura 6 y
Figura 7).

Figura 6. Esclerosis vascular secundaria a oclusión arterial antigua.

Figura 7. Tomografía de coherencia óptica: importante adelgazamiento retiniano en territorio de oclusión arterial.
Retinografía: muestra un émbolo cálcico a nivel papilar.
Tratamiento agudo
Terapias conservadoras
La OACR es una urgencia oftalmológica. Antes de realizar cualquier exploración complementaria, se deben realizar o al menos considerar algunas maniobras para intentar mejorar la visión. Cuando la oclusión persiste más allá de los 240 minutos se produce un daño masivo irreversible
51-53.
Un análisis retrospectivo en pacientes con OACR-NA mostró que no existían diferencias en el resultado funcional visual entre el tratamiento básico conservador (paracentesis, masaje ocular, agentes hipotensores oculares tópicos o sistémicos)
versus la observación
56. En general, el nivel de evidencia y la fuerza de recomendación de estas medidas están poco sustentadas por la literatura científica. Sin embargo, dado el pobre pronóstico visual tras la OACR, en nuestro servicio de urgencias realizamos algunos procedimientos conservadores. De realizarse, se recomendarían en las primeras 24 horas del inicio del evento vascular. Estos son:
-
Masaje digital ocular durante 10-15 segundos.
-
Masaje ocular con lente de 3 espejos durante 3-5 minutos.
-
Paracentesis de cámara anterior.
-
Instilación de 1 gota de colirio hipotensor (ej; timolol 0,5%).
-
Acetazolamida 500 mg por vía intravenosa o 2 comprimidos de 250 mg por vía oral.
El masaje ocular, la paracentesis de la cámara anterior, el empleo de hipotensores tópicos y sistémicos pueden desplazar el émbolo del vaso ocluído
4,57-59. El empleo de fármacos como pentoxifilina o dinitrato de isosorbide tienen efectos vasodilatadores y pueden incrementar el flujo sanguíneo
58,59. Otros tratamientos conservadores que se han empleado consisten en una mezcla de oxígeno al 95% y dióxido de carbono al 5% por vía inhalatoria o la oxigenación hiperbárica
4,60.
En la ORAR, teniendo en cuenta la AV y su curso, generalmente no se realiza ninguna intervención. Los esfuerzos clínicos se destinan en determinar la etiología y en prevenir eventos vasculares futuros.
Una excepción importante es el empleo de megadosis de corticoides en aquellos pacientes con OACR arterítica asociado a ACG, en la cual el comienzo del tratamiento mejora el pronóstico visual final en ambos ojos.
Técnicas de revascularización
La terapia intra-arterial trombolítica con el factor activador del plasminógeno tisular recombinante (r-TPA) había tomado auge en los últimos años en el tratamiento de la OACR-NA. Un meta-análisis de estudios retrospectivos, no randomizados publicados en el año 2000 mostraron el beneficio potencial de este tratamiento versus la evolución natural, con un 15% que alcanzaron una visión normal y un 27% alcanzaron una AV de 0,5 o mejor. Sólo 6 de los 100 casos presentaron una complicación, pero ninguna de morbilidad permanente
61. Sin embargo, un ensayo clínico controlado, randomizado, que comparó la trombolisis intra-arterial con r-TPA versus el tratamiento conservador (Estudio EAGLE, del inglés
European Assessment Group for Lysis in the Eye) no encontró diferencias en el resultado visual final entre los 2 grupos
62. El estudio incluyó 84 pacientes con OACR en las primeras 20 horas del comienzo de los síntomas. En cuanto a las complicaciones, hubo 2 pacientes tratados con r-TPA que presentaron hemorragia intracerebral.
Las críticas a esta modalidad de tratamiento en auge y a los estudios realizados se comentan a continuación:
-
Existen muchos estudios retrospectivos y apenas se disponen de ensayos clínicos controlados, randomizados y con enmascaramiento apropiado.
-
El error fundamental en la mayoría de los estudios consiste en que la variable principal de respuesta es la agudeza visual. No se objetiva mediante AGF la mejoría de la perfusión retiniana en la fase post-tratamiento con r-TPA.
-
En prácticamente todos los estudios la OACR se incluye como una categoría única. No se subdividen en las categorías que se comentaron en el acápite de clasificación. Esto es importante porque cada categoría comporta un pronóstico visual diferente.
-
Se cree que el tratamiento con r-TPA carece de base científica racional teniendo en cuenta que en sólo un 15% de los casos los émbolos son de naturaleza fibrino-plaquetarios18, en los cuales los agentes fibrinolíticos podrían actuar. El resto, el 85%, corresponden a émbolos colesterínicos y cálcicos en los que los agentes fibrinolíticos no tienen acción.
-
La terapia fibrinolítica se ha administrado pasadas las primeras 6 horas del evento agudo. Como se ha comentado, pasado los primeros 240 minutos el daño que se produce sobre la retina es irreversible.
Existe escasa información respecto a la administración sistémica de agentes trombolíticos para la OACR-NA. La administración intra-arterial tiene la ventaja teórica de llevar al agente trombolítico próximo al sitio de la oclusión y así provocar la lisis con la posterior revascularización. Los riesgos asociados con la administración sistémica (hemorragia sistémica e intracerebral) superan al parecer los beneficios potenciales en el caso de OACR-NA.
Las técnicas de revascularización quirúrgicas se encuentran en investigación. Existen reportes de casos de OACR que fueron sometidos a arteriotomía de la ACR con buena agudeza visual posterior63-65.
Pronóstico a largo plazo y manejo
Series antiguas han descrito que los pacientes con OAR, particularmente OACR-NA, tienen mayor riesgo de eventos cerebrovasculares y cardiovasculares, así como una reducción de la expectativa de vida
47,66,67.
En número significativo de casos, hasta un 20% en adultos mayores y entre un 50-67% de jóvenes, no se detecta causa alguna de la OAR tras un estudio extensivo
68,69. En general, estos pacientes tienen un buen pronóstico con relación a los eventos vasculares futuros
67,70.
Diagnóstico etiológico
Una historia clínica correctamente realizada nos puede orientar desde el punto de vista etiológico. En la mayoría de los pacientes los estudios incluyen:
-
Imágenes de la arteria carótida. Se pueden obtener mediante la realización de ecografía doppler de troncos supra-aórticos (ECO-TSA), resonancia magnética nuclear cervical y angio-TAC. Teniendo en cuenta que la aterosclerosis de la carótida subyace en la mayoría de los casos de OACR y ORAR, las exploraciones referidas anteriormente serán suficientes para el diagnóstico. La presencia de un émbolo visible en la fundoscopia no es predictivo de estenosis carotídea hemodinámicamente significativa71.
-
Exclusión de la ACG. Esta entidad debe ser excluida en todos los pacientes con OACR que tienen más de 50 años y que no presentan émbolos visibles en la fundoscopia.
-
Evaluación cardiovascular. La evaluación debería incluir un Holter y una ecocardiografía transtorácica72. El rendimiento de las exploraciones cardiovasculares es realmente bajo en el contexto de las oclusiones vasculares arteriales retinianas. En una serie de 104 pacientes con OACR y ORAR, solo 48 presentaron alteraciones en la ecografía transtorácica, y de estos en 12 fue necesario realizar una intervención como la anticoagulación a largo plazo. Por tanto, en los 36 restantes los hallazgos no fueron clínicamente relevantes73. Similares resultados se han obtenido en otras series de casos74-76. Un rendimiento mayor (72%), por otro lado, se ha descrito en caso de realizar una ecocardiografía transesofágica72,77. Sin embargo, estos hallazgos corresponden a entidades en las que los fenómenos embólicos y la indicación de anticoagulación es cuestionable (ej; prolapso de la válvula mitral, ateromatosis de la aorta). En la mayoría de los casos aislados de OACR, una ecocardiografía transtorácica es suficiente para detectar alguna enfermedad estructural cardiaca que requiera anticoagulación. Un electrocardiograma basal debe incluirse en la evaluación inicial teniendo en cuenta la morbimortalidad cardíaca en estos pacientes66,67.
En la
Figura 8 se presenta un algoritmo que resume la actuación en un servicio de urgencias, así como las exploraciones complementarias a realizar en fase aguda y de forma diferida.

Figura 8. Algoritmo de actuación general en caso de sospecha de oclusión vascular arterial retiniana.
Manejo a largo plazo
El tratamiento de estos pacientes debe estar enfocado en la causa específica y en la prevención de la recurrencia de los eventos vasculares. En casos en los que se detecten fuentes embolígenas cardiacas, el tratamiento crónico con anticoagulantes debe ser recomendado. Aquellos pacientes con oclusión carotídea hemodinámicamente significativa la endarterectomía constituye el tratamiento de elección. Si la etiología es incierta, se debe recomendar el tratamiento con antiagregantes plaquetarios, así como la modificación de los factores de riesgo.
Resumen y recomendaciones
-
Estudios recientes recomiendan agrupar las oclusiones vasculares arteriales retinianas en varias categorías, lo que implica diferente etiología, fisiopatología, rasgos clínicos y manejo terapéutico.
-
Las oclusiones arteriales retinianas no arteríticas comparten una lista de etiologías comunes con la enfermedad cerebrovascular. La prevalencia de diabetes mellitus, enfermedad renal, hipertensión arterial y enfermedad isquémica cardíaca son más prevalentes en pacientes con OAR que en la población general. La aterosclerosis de la carótida constituye la etiología más común y conlleva a un alto riesgo de futuros infartos cerebrales. El embolismo de origen cardíaco junto a otros factores es la etiología más frecuente en pacientes jóvenes.
-
La OACR arterítica asociada a ACG es una causa infrecuente de OACR en pacientes mayores de 50 años, pero es importante su diagnóstico porque un tratamiento oportuno puede mejorar el pronóstico visual del ojo contralateral.
-
La OACR en términos generales se presenta con disminución profunda, unilateral, sin dolor, de la AV mientras que en la ORAR la afectación de la AV generalmente no es severa. La exploración fundoscópica permite visualizar los signos de isquemia retinianos.
-
La OACR, excepto en los casos con preservación de arteria ciliorretiniana, tiene un pronóstico visual pobre en cuanto a la recuperación espontánea de la visión. Los esfuerzos para mejorar la visión deben realizarse urgentemente teniendo en cuenta que el daño en la retina ocurre despuésde los primeros 100 minutos de producirse la isquemia. Sin embargo, hasta la fecha no hay resultados concluyentes de que ningún tratamiento mejore la AV final.
-
La trombolisis intra-arterial con rTPA surgió hace algunos años como una modalidad terapéutica que podría ofrecer buenos resultados en la OACR. El beneficio posible de este tratamiento se obtiene si se comienza en las primeras 4 horas del inicio del evento vascular y cuando la oclusión no arterítica sea ocasionada presumiblemente por un émbolo fibrino-plaquetario. Sin embargo, los resultados de los estudios ofrecen datos controvertidos respecto a la relación riesgo/beneficio. La metodología y el diseño ofrecen, así mismo, dudas. Después de la interrupción del estudio EAGLE62 por la aparición de eventos adversos graves, actualmente no existe ningún ensayo clínico multicéntrico e internacional en curso donde se utilice este fármaco en el manejo de la OACR. El grupo europeo, a la luz de sus resultados, no recomienda su empleo.
-
Para el resto de los pacientes que se presenten dentro de las primeras 24 horas del comienzo del evento vascular, se sugiere realizar un tratamiento conservador dirigido a disminuir la presión intraocular y mejorar el flujo sanguíneo (Grado 2C).
-
La ORAR tiene mejor pronóstico visual. Un 80% aproximadamente de los casos recuperan su visión normal. Generalmente en estos casos no se ofrece ningún tratamiento agudo.
-
En la sala de urgencias es recomendable realizar una VSG en pacientes mayores de 50 años y sin émbolo visible en la exploración fundoscópica. Por otro lado, recomendamos un electrocardiograma basal y una evaluación general por parte de medicina interna. No es necesario realizar exploraciones complementarias ecográficas que, por otro lado, se recomiendan de manera diferida.
-
El estudio diferido de la OACR y la ORAR se enfoca en determinar la causa subyacente con el objetivo de establecer medidas de prevención secundarias y así reducir el riesgo de futuros eventos vasculares. A menos que la etiología se conozca en el momento de la presentación, se recomienda realizar estudios ecográficos (ECO-TSA, ecocardiografía transtorácica) en primer lugar, así como otras pruebas de imagen (RMN cervical, Angio-TAC) en casos dudosos. El estudio diferido debe incluir el análisis de la coagulación.
-
El manejo a largo plazo depende de la etiología y consiste en prevenir los eventos vasculares. Para aquellos casos en que la etiología es incierta, se recomienda la modificación de los factores de riesgo de la aterosclerosis y el tratamiento con antiagregantes plaquetarios si no existe contraindicación (Grado 1C).
Bibliografía
-
Yuzurihara D, Iijima H. Visual outcome in central retinal and branch retinal artery occlusion. Jpn J Ophthalmol. 2004;48(5):490-2.
-
Rumelt S, Dorenboim Y, Rehany U. Aggressive systematic treatment for central retinal artery occlusion. Am J Ophthalmol. 1999;128(6):733-8.
-
Arnold M, Koerner U, Remonda L, Nedeltchev K, Mattle HP, Schroth G, et al. Comparison of intra-arterial thrombolysis with conventional treatment in patients with acute central retinal artery occlusion. J Neurol Neurosurg Psychiatry. 2005;76(2):196-9.
-
Atebara NH, Brown GC, Cater J. Efficacy of anterior chamber paracentesis and Carbogen in treating acute nonarteritic central retinal artery occlusion. Ophthalmology. 1995;102(12):2029-35.
-
Augsburger JJ, Magargal LE. Visual prognosis following treatment of acute central retinal artery obstruction. Br J Ophthalmol. 1980;64(12):913-7.
-
von Graefe A. Ueber Embolie der Arteria centralis retinae als Ursache plotzlicher Erblindung. Albrecht von Graefes. Arch Ophthalmol. 1859;5:136-57.
-
Hayreh SS, Zimmerman MB. Central retinal artery occlusion: visual outcome. Am J Ophthalmol. 2005;140(3):376-91.
-
Hayreh SS, Zimmerman MB. Fundus changes in central retinal artery occlusion. Retina. 2007;27(3):276-89.
-
Hayreh SS, Podhajsky PA, Zimmerman MB. Branch retinal artery occlusion: natural history of visual outcome. Ophthalmology. 2009;116(6):1188-94.
-
Hayreh SS, Podhajsky PA,Zimmerman MB. Retinal Artery Occlusion Associated: Systemic and Ophthalmic Abnormalities. Ophthalmology. 2009;116(10):1928-36.
-
Rudkin AK, Lee AW, Chen CS. Vascular risk factors for central retinal artery occlusion. Eye. 2010;24(4):678-81.
-
Greven CM, Slusher MM, Weaver RG. Retinal arterial occlusions in young adults. Am J Ophthalmol. 1995;120(6):776-83.
-
Brown GC, Magargal LE, Shields JA, et al. Retinal arterial obstruction in children and young adults. Ophthalmology. 1981;88(1):18-25.
-
Sharma S, Pater JL, Lam M, Cruess AF. Can different types of retinal emboli be reliably differentiated from one another? An inter- and intraobserver agreement study. Can J Ophthalmol. 1998;33(3):144-8.
-
Hayreh SS, Piegors DJ, Heistad DD. Serotonin-induced constriction of ocular arteries in atherosclerotic monkeys: implications for ischemic disorders of retina and optic nerve head. Arch Ophthalmol. 1997;115(2):220-8.
-
Witmer R, Schmid A. Cholesterinkris-tall als retinaler arterieller embolus. Ophthalmologica. 1958;135(5-6):432-3.
-
Fisher CM. Observations of the fundus oculi in transient monocular blindness. Neurology. 1959; 9:333-347.
-
Arruga J, Sanders MD. Ophthalmologic findings in 70 patients with evidence of retinal embolism. Ophthalmology. 1982;89(12):1336-47.
-
Schmidt D, Hetzel A, Geibel-Zehender A. Retinal arterial occlusion due to embolism of suspected cardiac tumors report on two patients and review of the topic. Eur J Med Res. 2005;10(7):296-304.
-
Mizener JB, Podhajsky P, Hayreh SS. Ocular ischemic syndrome. Ophthalmology. 1997; 104(5):859-64.
-
Nicolaides AN, Papadakis K, Grigg M. Data from CT scans: the significance of silent cerebral infarction and atrophy. En: Bernstein EF, ed. Amaurosis Fugax. New York: Springer Verlag; 1988:200-26.
-
Klein R, Klein BE, Jensen SC. Retinal emboli and stroke: the Beaver Dam Eye Study. Arch Ophthalmol. 1999;117(8):1063-8.
-
Wong TY, Klein R. Retinal arteriolar emboli: epidemiology and risk of stroke. Curr Opin Ophthalmol. 2002;13(3):142- 6.
-
Klein R, Klein BE, Moss SE, Meuer SM. Retinal emboli and cardiovascular disease: the Beaver Dam Eye Study. Arch Ophthalmol. 2003;121(10):1446-51.
-
Weger M, Renner W, Pinter O, Stanger O, Temmel W, Fellner P, et al. Role of factor V Leiden and prothrombin 20210A in patients with retinal artery occlusion. Eye. 2003; 17(6):731-4.
-
Wong TY, Larsen EK, Klein R, Mitchell P, Couper DJ, Klein BE, et al. Cardiovascular risk factors for retinal vein occlusion and arteriolar emboli: the Atherosclerosis Risk in Communities & Cardiovascular Health studies. Ophthalmology. 2005;112(4):540-7.
-
Schmidt D, Hetzel A, Geibel-Zehender A, Schulte-Mönting J. Systemic diseases in non-inflammatory branch and central retinal artery occlusion. An overview of 416 patients. Eur J Med Res. 2007;12(12):595-603.
-
Dunlap AB, Kosmorsky GS, Kashyap VS. The fate of patients with retinal artery occlusion and Hollenhorst plaque. J Vasc Surg. 2007;46(6):1125-9.
-
Cheung N, Lim L, Wang JJ. Prevalence and risk factors of retinal arteriolar emboli: the Singapore Malay Eye Study. Am J Ophthalmol. 2008;146(4):620-4.
-
Hayreh SS, Podhajsky PA, Zimmerman B. Ocular manifestations of giant cell arteritis. Am J Ophthalmol. 1998;125(4):509-20.
-
Susac JO, Egan RA, Rennebohm RM, Lubow M. Susac’s syndrome: 1975-2005 microangiopathy/autoimmune endotheliopathy. J Neurol Sci 2007;257(1-2):270-2.
-
Aubart-Cohen F, Klein I, Alexandra JF. Long-term outcome in Susac syndrome. Medicine. 2007;86(2):93-102.
-
Glueck CJ, Wang P, Hutchins R, Petersen MR, Golnik K. Ocular vascular thrombotic events: central retinal vein and central retinal artery occlusions. Clin Appl Thromb Hemost. 2008;14(3):286-94.
-
Palmowski-Wolfe AM, Denninger E, Geisel J, Pindur G, Ruprecht KW. Antiphospholipid antibodies in ocular arterial and venous occlusive disease. Ophthalmologica. 2007;221(1):41-6.
-
Sullivan KL, Brown GC, Forman AR. Retrobulbar anesthesia and retinal vascular obstruction. Ophthalmology. 1983; 90(4):373-7.
-
Devenyi P, Schneiderman JF, Devenyi RG, Lawby L. Cocaine-induced central retinal artery occlusion. CMAJ. 1988;138(2):129-30.
-
Yamamoto S, Takatsuna Y, Sato E, Mizunoya S. Central retinal artery occlusion after radial optic neurotomy in a patient with central retinal vein occlusion. Am J Ophthalmol. 2005;139(1):206-7.
-
Egbert JE, Schwartz GS, Walsh AW. Diagnosis and treatment of an ophthalmic artery occlusion during an intralesional injection of corticosteroid into an eyelid capillary hemangioma. Am J Ophthalmol. 1996;121(6):638-42.
-
Johnson LN, Krohel GB, Hong YK, Wood G. Central retinal artery occlusion following transfemoral cerebral angiography. Ann Ophthalmol. 1985;17(6):359-62.
-
Treiman RL, Bloemendal LC, Foran RF. Ipsilateral blindness: a complication of carotid endarterectomy. Arch Surg. 1977;112(8):928-32.
-
Jumper JM, Horton JC. Central retinal artery occlusion after manipulation of the neck by a chiropractor. Am J Ophthalmol. 1996;121(3):321-2.
-
Fang IM, Huang JS. Central retinal artery occlusion caused by expansion of intraocular gas at high altitude. Am J Ophthalmol. 2002;134(4):603-5.
-
von Hanno T, Kinge B, Fossen K. Retinal artery occlusion following intravitreal anti-VEGF therapy. Acta Ophthalmol. 2010;88(2):263-6.
-
Mansour AM, Bynoe LA, Welch JC,Pesavento R, Mahendradas P, Ziemssen F, et al. Retinal vascular events after intravitreal bevacizumab. Acta Ophthalmol. 2010;88(7):730-5.
-
Duker JS, Sivalingam A, Brown GC, Reber R. A prospective study of acute central retinal artery obstruction: the incidence of secondary ocular neovascularization. Arch Ophthalmol. 1991;109(3):339-42.
-
Werner MS, Latchaw R, Baker L, Wirtschafter JD. Relapsing and remitting central retinal artery occlusion. Am J Ophthalmol. 1994;118(3):393-5.
-
Appen RE, Wray SH, Cogan DG. Central retinal artery occlusion. Am J Ophthalmol. 1975; 79(3):374-81.
-
Brown GC, Magargal LE. Central retinal artery obstruction and visual acuity. Ophthalmology. 1982;89(1):14-9.
-
Recchia FM, Brown GC. Systemic disorders associated with retinal vascular occlusion. Curr Opin Ophthalmol. 2000;11(6):462-7.
-
Ros MA, Larry ME, Uram M. Branch retinal-artery obstruction: a review of 201 eyes. Ann Ophthalmol. 1989;21(3):103-7.
-
Hayreh SS, Kolder HE, Weingeist TA. Central retinal artery occlusion and retinal tolerance time. Ophthalmology. 1980;87(1):75-8.
-
Hayreh SS, Zimmerman MB, Kimura A, Sanon A. Central retinal artery occlusion. Retinal survival time. Exp Eye Res. 2004;78(3):723-36.
-
Hayreh SS, Weingeist TA. Experimental occlusion of the central artery of the retina. IV: Retinal tolerance time to acute ischaemia. Br J Ophthalmol. 1980;64(11):818-25.
-
Augsburger JJ, Magargal LE. Visual prognosis following treatment of acute central retinal artery obstruction. Br J Ophthalmol. 1980;64(12):913-7.
-
Brown GC, Shields JA. Cilioretinal arteries and retinal arterial occlusion. Arch Ophthalmol. 1979;97(1):84-92.
-
Rudkin AK, Lee AW, Aldrich E, Miller NR, Chen CS.Clinical characteristics and outcome of current standard management of central retinal artery occlusion. Clin Experiment. Ophthalmol 2010;38(5):496-501.
-
Nielsen NV. Treatment of acute occlusion of the retinal arteries. Acta Ophthalmol. 1979; 57(6):1078-813.
-
Incandela L, Cesarone MR, Belcaro G, Steigerwalt R, De Sanctis MT, Nicolaides AN, et al. Treatment of vascular retinal disease with pentoxifylline: a controlled, randomized trial. Angiology. 2002; 53 Suppl 1:S31-4.
-
Kuritzky S. Nitroglycerin to treat acute loss of vision. N Engl J Med. 1990;323(20):1428.
-
Stone R, Zink H, Klingele T, Burde RM. Visual recovery after central retinal artery occlusion: two cases. Ann Ophthalmol. 1977;9(4):445-50.
-
Beatty S, Au Eong KG. Local intra-arterial fibrinolysis for acute occlusion of the central retinal artery: a meta-analysis of the published data. Br J Ophthalmol. 2000;84(8):914-6.
-
Schumacher M, Schmidt D, Jurklies B, Gall C, Wanke I, Schmoor C, et al. Central retinal artery occlusion: local intra-arterial fibrinolysis versus conservative treatment, a multicenter randomized trial. Ophthalmology. 2010;117(7):1367-75.
-
Tang WM, Topping TM. Vitreous surgery for central retinal artery occlusion. Arch Ophthalmol. 2000;118(11):1586-7.
-
Reynard M, Hanscom TA. Neodymium:yttrium-aluminum-garnet laser arteriotomy with embolectomy for central retinal artery occlusion. Am J Ophthalmol. 2004;137(1):196-8.
-
Shalchi MH, Daneshvar R. Transluminal Nd:YAG laser embolysis in a case of hemiretinal arterial occlusion. East Mediterr Health. J 2009;15(6):1613-6.
-
Savino PJ, Glaser JS, Cassady J. Retinal stroke. Is the patient at risk? Arch Ophthalmol. 1977;95(7):1185-9.
-
Lorentzen SE. Occlusion of the central retinal artery. A follow-up. Acta Ophthalmol. 1969; 47(3):690-703.
-
Smit RL, Baarsma GS, Koudstaal PJ. The source of embolism in amaurosis fugax and retinal artery occlusion. Int Ophthalmol. 1994;18(2):83-6.
-
Babikian V, Wijman CA, Koleini B, Malik SN, Goyal N, Matjucha IC. Retinal ischemia and embolism. Etiologies and outcomes based on a prospective study. Cerebrovasc Dis. 2001;12(2):108-13.
-
Hankey GJ, Slattery JM, Warlow CP. Prognosis and prognostic factors of retinal infarction: a prospective cohort study. BMJ. 1991;302(6775):499-504.
-
Sharma S, Brown GC, Pater JL, Cruess AF. Does a visible retinal embolus increase the likelihood of hemodynamically significant carotid artery stenosis in patients with acute retinal arterial occlusion? Arch Ophthalmol. 1998;116(12):1602-6.
-
Gass JD, Tiedeman J, Thomas MA. Idiopathic recurrent branch retinal arterial occlusion. Ophthalmology. 1986; 93(9):1148-57.
-
Sharma S, Brown GC, Cruess AF. Accuracy of visible retinal emboli for the detection of cardioembolic lesions requiring anticoagulation or cardiac surgery. Retinal Emboli of Cardiac Origin Study Group. Br J Ophthalmol. 1998;82(6):655-8.
-
Sharma S, Sharma SM, Cruess AF, Brown GC. Transthoracic echocardiography in young patients with acute retinal arterial obstruction. RECO Study Group. Retinal Emboli of Cardiac Origin Group. Can J Ophthalmol. 1997; 32(1):38-41.
-
Sharma S, Naqvi A, Sharma SM,Cruess AF, Brown GC. Transthoracic echocardiographic findings in patients with acute retinal arterial obstruction. A retrospective review. Retinal Emboli of Cardiac Origin Group. Arch Ophthalmol. 1996;114(10):1189-92.
-
Kramer M, Goldenberg-Cohen N, Shapira Y, Axer-Siegel R, Shmuely H, Adler Y, et al. Role of transesophageal echocardiography in the evaluation of patients with retinal artery occlusion. Ophthalmology. 2001;108(8):1461-4.
-
Mouradian M, Wijman CA, Tomasian D, Davidoff R, Koleini B, Babikian VL. Echocardiographic findings of patients with retinal ischemia or embolism. J Neuroimaging. 2002;12(3):219-23.