Aplicaciones de la OCT (tomografía de coherencia óptica) de segmento anterior en la patología de córnea
N. Barnils, K. MejÃa, N. Vilà , T. MartÃ
La OCT de segmento anterior se ha convertido en una herramienta valiosa para el cirujano de segmento anterior y cornea. Es una tecnología de imagen de no-contacto basada en la interferometría de coherencia óptica. La OCT produce imágenes seccionales de la córnea de elevada resolución y también mide la paquimetría corneal. Con el incremento de la accesibilidad a ésta técnica, cada vez se usa más para el diagnóstico y manejo de las patologías de la cornea y de la cirugía refractiva.
La OCT de segment anterior ha esdevingut una eina molt valuosa pel cirurgià de segment anterior i còrnia. És una tecnologia d’imatge de no-contacte basada en la interferometria de coherència òptica. La OCT produeix imatges seccionals de la còrnia d’elevada resolució i mesura també la paquimetria cornial.Amb l’increment de l’accessibilitat a aquesta tècnica, cada vegada s’utilitza més per el diagnòstic i maneig de les patologies de la còrnia i de la cirurgia refractiva.
Anterior segment OCT has become an increasingly valuable tool for the anterior segment surgeon. It is a non-contact imaging technology based on low optical coherence interferometry. OCT produces high-resolution cross-sectional images of the cornea and measurement of corneal pachymetry. With increasing availability, this technology is now commonly used in the diagnosis and management of corneal diseases and refractive surgery.
La tomografía de coherencia óptica (OCT) se introdujo inicialmente en 1991 para obtener imágenes de retina. Actualmente se ha aplicado esta técnica para la exploración del segmento anterior. La OCT se basa en el principio de la interferometría de baja coherencia. Es un método no invasivo y de no contacto que nos ofrece imágenes de alta resolución (10-20 micras) usando una luz infrarroja emitida por un diodo superluminiscente
1. Estas imágenes se forman al medir el retraso y la intensidad de dicha luz dispersado por los tejidos. La región con una reflexión o dispersión (scattering) más fuerte se representa con los colores rojo y blanco, y la región con un scattering más débil se representa con los colores azul y negro.
La OCT fue diseñada inicialmente para la exploración del segmento posterior y para la patología vitreorretiniana. Actualmente, existen también equipos de OCT específicos para la exploración del polo anterior. Los más habituales en la práctica clínica son: el Visante OCT (Carl ZeissMeditec) y el Slit-lamp-OCT
(Heidelberg EngineeringGmbH)1.Existe algún equipo de OCT de segmento anterior pero menos conocido. Los equiposde OCT de segmento anterior utilizan una longitud de onda mayor que los OCT de retina, 1310nm de forma que se reduce la dispersión de la luz en la esclera y el limbo, incrementando la penetración a través de los mismos y mejorando la visualización de la córnea, el iris, el ángulo y la zona anterior del cristalino.
La obtención de imágenes más habitual se realiza mediante equipos de OCT diseñados para polo posterior que también pueden generar imágenes del segmento anterior añadiendo algunos elementos como lentes o software, con el ahorro económico que esto supone
1,2. De esta forma, se pueden obtener imágenes de córnea, iris y ángulo iridocorneal. Para la exploración retiniana se utiliza un haz de luz delongitud de onda de 830nm. Algunos sistemas de OCT espectral de segmento posterior disponen de un módulo adaptador para el polo anterior, como son el Cirrus HD OCT (Carl Zeiss, Alemania), el RTVue100 (Optovue), el spectral OCT/SLO (OPKO/OTI) y el modelo 3D OCT-2000 de Topcon. El OCT de dominio temporal Stratus OCTtambién permite la obtención de imágenes de segmento anterior mediante la modificación del enfoque
2.
El Cirrus HD OCT es una unidad de OCT muy utilizada en nuestro medio para estudiar la retina. Es interesante el hecho de que, además, es útil para la adquisición y el análisis de imágenes de dominio espectral del segmento anterior. El software permite la exploración con un protocolo tipo cubo con una serie de 128 barridos lineales horizontales compuestos, a su vez, de 512 barridos o bien un protocolo de 5 líneas de 3 mm de longitud en las que se puede ajustar la rotación y el espaciado. Una limitación importante del Cirrus HD OCT frente al Visante OCT es que el Cirrus HD solamente puede obtener imágenes de una zona angular en cada toma (no se puede visualizar toda la córnea en una misma imagen), mientras que el Visante puede mostrar un corte seccional de limbo a limbo completo
3,4.
El modelo 3D OCT-2000 de Topcon permite también realizar unatopografía completa del grosor de la córnea y los valores automatizados de grosor central se complementan con una topografía de la curvatura de la córnea y un diagnóstico por la imagen de alta resolución.
El diagnóstico y las decisiones quirúrgicas de la patología de la cornea se estudian básicamente mediante exploración con lámpara de hendidura, pero en ocasiones es difícil apreciar el grosor de una lesión, o la deformidad que ha ocasionado una úlcera o el adelgazamiento de una zona en concreto de la cornea, etc
5. Además, con la aparición de las nuevas técnicas de trasplante lamelar y endotelial se ha hecho necesario observar la interfase de las diferentes capas de la córnea.
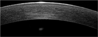
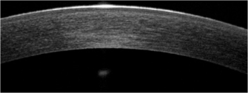
La córnea posee cinco capas histológicamente bien diferenciadas de superficie a profundidad: epitelio, membrana de Bowman, estroma, membrana de Descemet (MD) y endotelio. Las capas de mayor reflectividad en la OCT corresponden a la superficie anterior corneal y al límite posterior de la córnea con la cámara anterior
1. Se puedenobservar corneas sanas (distinguimos epitelio, estroma y endotelio) (
Figura 1). También se pueden estudiar adelgazamientos corneales como el queratocono (
Figura 2), opacidades corneales estromales y su profundidad, patologías asociadas al LASIK (
Figura 3 y
Figura 4, fase infecciosa de una queratitis estromal en la interfase y posterior resolución) y desprendimientos de la membrana Descemet, entre otras muchas patologías.

Figura 1. OCT corneal normal.

Figura 2. Vemos la ectasia de un queratocono.

Figura 3. Infección en operado de LASIK.

Figura 4. Resolución de la infección con aposicionamiento del flap.
Actualmente la OCT nos permite estudiar a los pacientes operados de trasplante corneal pre y postoperatoriamente. A continuación podemos repasar de las nuevas técnicas de queratoplastia
5:
-
QPP: queratoplastia penetrante: se trasplanta todo el espesor corneal.
-
ALK: Queratoplastia lamelar anterior (“anterior lamellarkeratoplasty”), se trasplanta la cornea más superficial (<300 micras) (Figura 5).
-
DALK: Queratoplastia lamelar anterior profunda (“deep anterior lamellarkeratoplasty”). Se trasplanta toda la cornea epitelio y estroma, excepto la membrana Descemet (MD) y el endotelio. Puede ser predescemética o descemética. En la predescemética se profundiza en la cornea hasta dejar una capa de estroma, la MD y el endotelio. En cambio, en la descemética se retira todo el estroma, de forma que solo tenemos MD y endotelio.
-
DSAEK/DSEK: queratoplastia endotelial automatizada/manual, (“descemet’sstrippingautomated endotelial keratoplasty”). Se trasplantan un disco de estroma posterior-MD-endotelio.
-
DMEK: queratoplastia endotelial de la membrana descemet (“descemet’s membrane endotelial keratoplasty”). Se recambia la MD y el endotelio sin estroma posterior.

Figura 5. Queratoplastia lamelar anterior.
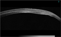
Podemos mostrar unos ejemplos para ver la utilidad de la OCT. En los casos de opacidades anteriores que no afectan al endotelio se realiza la técnica de DALK. La mayoría de pacientes están afectados por opacidades estromales infecciosas, como el virus del herpes simple (VHS), por distrofias corneales, y también por el queratocono. En la
Figura 6 podemos observar una técnica de DALK predescemética, en este caso observamos un lecho de estroma, MD y endotelio de 42 micras. Ésta técnica es de elección en casos donde se quiere evitar realizar una cirugía penetrante por los riesgos que comporta (por ejemplo el herpes corneal). En la siguiente foto podemos ver una DALK descemética realizada en una paciente con queratocono (
Figura 7 y
Figura 8), el espesor corneal es menor, en ésta técnica el lecho no tiene estroma, solo MD y endotelio, por lo que no se visualiza una interfase en el estroma corneal. En la DALK descemética la visión es mejor.

Figura 6. DALK predescemética.

Figura 7. DALK descemética.

Figura 8. DALK descemética.
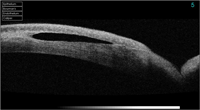
En los casos de pacientes con disfunción endotelial se realiza una DSAEK/DSEK o DMEK. La mayoría de estos pacientes están afectados por distrofias endoteliales, mayormente la distrofia de Fuchs, también traumatismos corneales, fallo de un injerto y la queratopatía bullosa. En la DSEKse realiza la técnica manualmente y se obtiene un lecho de estroma-MD-endotelio que puede variar de espesor en función de la profundidad. Vemos un ejemplo en la
Figura 9, donde observamos un lecho de 50 micras de espesor, con un total de 561 micras. Un resultado más que óptimo. En otros casos puede ser dificultoso obtener el lecho lo más fino posible como es el caso de la
Figura 10, el lecho es de 237 micras. La técnica nos permite realizar la DSEK en un paciente operado previamente de QPP, como vemos en la
Figura 11.

Figura 9. DSEK con injerto de 50 m.

Figura 10. DSEK con injerto de 237m.

Figura 11. DSEK en queratoplastia penetrante.
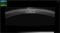
Y finalmente podemos hablar de la última técnica, la más complicada, por el hecho de trabajar con un injerto extrafino, solo se trasplanta la MD y el endotelio, estamos hablando de la DMEK. Vemos unos ejemplos, como la
Figura 12, es una OCT de la parte central de la córnea, prácticamente indistinguible de una cornea sana y en la
Figura 13 la OCT de la córnea más periférica, donde observamos como se desprende el tejido.Otro ejemplo lo podemos ver en la
Figura 14. Esta técnica parece ser la más anatómica y la que obtiene unos mejores resultados visuales.

Figura 12. DMEK zona central.

Figura 13. DMEK zona periférica.

Figura 14. Otro caso de DMEK con la MD no adherida.
Como conclusiones podemos decir que la OCT nos permite documentar patologías, realizar estudios evolutivos, hacer mediciones de la córnea y valorar los resultados pre y postquirúrgicos. Se pueden estudiar múltiples patologías de la córnea como el estudio de las opacidades corneales y su localización, la queratopatía bullosa, desprendimientos de la membrana descemet, el queratocono, etc. Actualmente se ha convertido en una herramienta imprescindible para valorar al paciente sometido a un trasplante de córnea, en las diversas técnicas: DALK descemética y predescemética, DSAEK, DSEK y DMEK. La OCT nos ayuda en estos nuevos retos de cirugías de trasplante de cornea y nos aporta un plus de calidad en el diagnóstico, indicación y seguimiento de las patologías de la córnea.
Nota:
Todas las imágenes se han realizado con la OCT:modelo 3D OCT-2000 de Topcon.
Bibliografía
-
Schuman JS, Puliafito CA, Fujimoto JG. Opticalcoherencetomography of ocular diseases. 2.ed.USA.: Ed SlackIncorporated, 2004.
-
Muñoz Negrete FJ, Rebolleda G, Diaz Llopis M. Tomografia de coherencia óptica. Sección II tomografía de coherencia óptica en enfermedades del segmento anterior. Cap. 4. Madrid: Sociedad Española de oftalmología. 2011;113-8.
-
Morcillo Laiz R, Arnalich Montiel F. Cómo realizar tomografía de coherencia óptica (OCT) de segmento anterior con dispositivos convencionales. Boletín de la Sociedad Oftalmológica de Madrid. 2010;Nº 50.
-
Sakata LM, Wong TT, Wong HT, Comparison of visante and slit-lamp anterior segmentopticalcoherencetomography in imagingthe anterior chamberangle. Eye. 2010;24:578-87.
-
Villarrubia A, Castillo A. Métodos diagnósticos en segmento anterior. Cap. 39. Sociedad Española de cirugía ocular e implantorefractiva, 2011.