C. Comas Bedmar1, O. Garcia Garcia1, M. Gomà Gallego2
Una paciente de 54 años consultó por clínica de sensación de cuerpo extraño y escozor en ambos ojos de más de 6 meses de evolución que no presentaba mejoría tras tratamiento hidratante. A la exploración destacaban múltiples y pequeños nódulos translúcidos en la conjuntiva bulbar y una queratitis punteada bilateral. Aunque no presentaba clínica sistémica, en las exploraciones complementarias destacó una alteración de enzimas hepáticas, elevación de ECA y múltiples adenopatías hiliares; sugestivo de sarcoidosis. Con esta sospecha diagnóstica se realizó una biopsia conjuntival para estudio anatomopatológico definitivo; dónde se apreciaban signos de inflamación nodular granulomatosa no necrotizante, con células epitelioides rodeadas de linfocitos y alguna célula gigante multinucleada ocasional.
Una pacient de 54 anys va consultar per clínica de sensació de cos estrany i coïssor a ambdós ulls de més de 6 mesos d'evolució que no millorava amb tractament hidratant. A la exploració destacaven múltiples i petits nòduls translúcids a la conjuntiva bulbar i una queratitis puntejada bilateral. Tot i que no presentava clínica sistèmica, a les exploracions complementàries destacaven nivells d'enzims hepàtics alterats, elevació de ECA, i múltiples adenopaties hiliars; suggestiu de sarcoïdosi. Amb aquesta sospita diagnòstica es va realitzar una biòpsia conjuntival per a estudi anatomopatològic definitiu; on es van apreciar signes d'inflamació granulomatosa no necrotitzant, amb cèl·lules epitelioides rodejades de limfòcits i alguna cèl•lula gegant multinucleada ocasional.
A 54 years old woman complained for foreign body sensation and itching for more than 6 months, despite hydrating treatment. Examination features multiple, small and translucent nodules in the bulbar conjunctiva and diffuse punctate keratitis of both eyes. Although she did not refer any systemic symptoms, additional tests showed abnormal liver enzymes, elevated ACE and multiple hiliar lymphadenopathies; suggesting sarcoidosis. It was decided to make a granular conjunctival tissue biopsy in order to complete histological study, resulting in non-necrotizing granulomatous inflammation composed of epitheloid cells surrounded by lymphocytes and occasional multinucleated giant cells.
Introducción
La Sarcoidosis es una enfermedad granulomatosa crónica sistémica, de origen desconocido. Entre sus manifestaciones clínicas más frecuentes pueden incluirse la afectación pulmonar, cutánea u oftalmológica, aunque en general puede afectar a cualquier órgano. La afectación ocular es relativamente frecuente y oscila entre el 15 y el 75% dependiendo de las series. La Sarcoidosis puede afectar a prácticamente todas las estructuras oculares y anejos, siendo la causa más frecuente de uveítis anterior granulomatosa no infecciosa.
Caso clínico
Una mujer de 54 años, de raza árabe, sin antecedentes patológicos ni oftalmológicos de interés, acudió remitida a nuestro servicio para estudio de Síndrome de Sjögren. Consultaba por clínica de sensación de cuerpo extraño y escozor en ambos ojos de más de seis meses de evolución, sin presentar mejoría clínica significativa tras tratamiento hidratante intensivo. No refería cambios ni pérdida de agudeza visual.
Al examen oftalmológico destacaba una conjuntiva bulbar de aspecto granular
1 de predominio nasal y temporal (
Figura 1a), con ligera hiperemia superficial difusa, y una queratitis punteada superficial en ambos ojos (
Figura 1b). No se apreciaban signos de inflamación intraocular en la exploración con lámpara de hendidura. Ante la sospecha de Sarcoidosis ocular por la gran cantidad de granulomas en la conjuntiva bulbar de ambos ojos
1, se realizó un screening sistémico, destacando es las exploraciones complementarias unas pruebas hepáticas alteradas con elevación de enzimas de colestasis; gamma glutamil transpeptidasa (GGT) y fosfatasa alcalina (FA), y enzima conversora de angiotensina (ECA) elevada
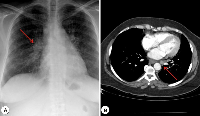
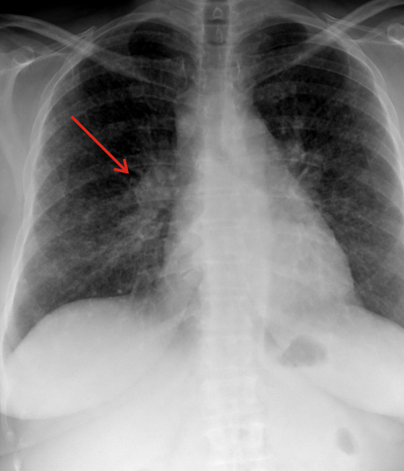
2. Los resultados para marcadores inmunológicos resultaron todos negativos. En la radiología de tórax se apreciaron múltiples adenopatías hiliares, mediastínicas y paraórticas (
Figura 2a), que fueron confirmadas posteriormente con tomografía de alta resolución (
Figura 2b)
2. Dado la inespecificidad de los resultados y la necesidad de confirmación histológica para el diagnóstico definitivo, se decidió realizar una biopsia
3-5 de tejido granular conjuntival del ojo izquierdo.

Figura 1. (a) Múltiples nódulos conjuntivales translúcidos. (b) Queratitis punteada superficial.

Figura 2. Múltiples adenopatía hiliares bilaterales (flechas), observadas tanto en la radiografía de tórax (a), como en la tomografía de alta resolución (b).
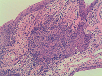
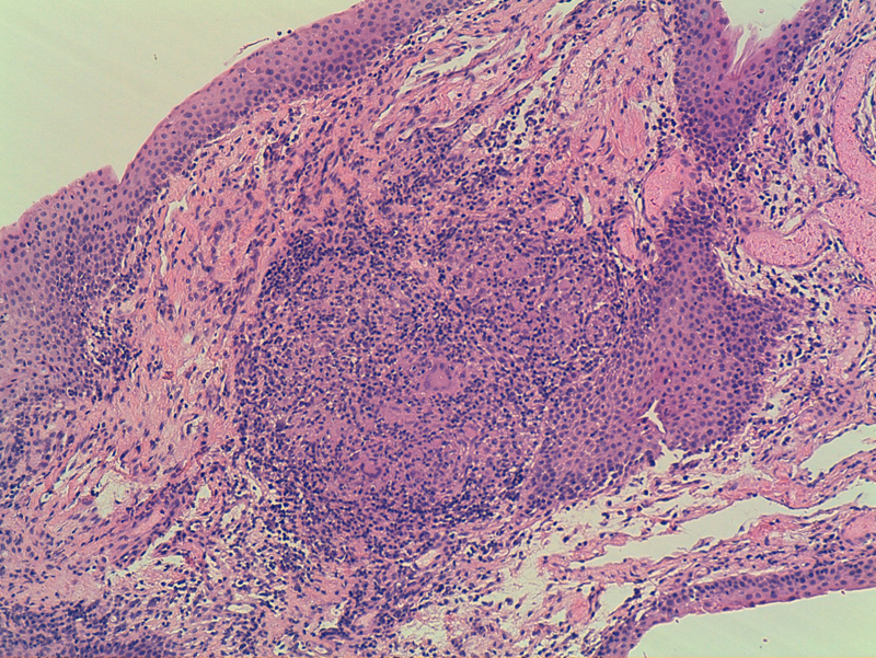
El estudio anatomopatológico mostró signos de inflamación granulomatosa no necrotizante compatible con Sarcoidosis ocular (
Figura 3). Confirmado el diagnóstico, se instauró tratamiento tópico con corticoides, mostrando la paciente una mejoría clínica significativa hasta la resolución de la afectación conjuntival.

Figura 3. Inflamación nodular granulomatosa no necrotizante compuesta por células epitelioides rodeadas de linfocitos y alguna célula gigante multinucleada ocasional. Se encuentra localizado en el tejido subepitelial de la muestra conjuntival.
Histopatología
Histológicamente la afectación conjuntival en la sarcoidosis se caracteriza por inflamación granulomatosa crónica no necrotizante. Los granulomas están constituidos por células histiocitarias, en ocasiones multinucleadas rodeadas por un discreto infiltrado inflamatorio linfocítico y de células plasmáticas. Generalmente se localizan por debajo del epitelio. Ocasionalmente pueden presentar necrosis microscópica central. Los característicos pero no específicos ‘cuerpos de Schaumann’ y ‘cuerpos Asteroides’ de la sarcoidosis pueden identificarse, en muy raras ocasiones, en la inflamación granulomatosa.
Antes de realizar el diagnóstico de sarcoidosis deben excluirse otras causas de inflamación granulomatosa localizada o generalizada
6,7, para lo que es necesaria una estrecha relación con el clínico.
Discusión
La Sarcoidosis es una enfermedad sistémica que puede debutar con múltiples y variadas manifestaciones oftalmológicas. A pesar de que su forma más frecuente de presentación es la uveítis anterior granulomatosa, es preciso sospechar dicha etiología en pacientes con signos de lesiones granulomatosas, tanto oculares como de los anejos
6-8.
En todos los pacientes con sospecha de sarcoidosis debe realizarse una cuidadosa exploración de la conjuntiva, fondos de saco y glándulas lagrimales en busca de posibles granulomas sarcoideos, que pueden pasar inadvertidos en una exploración rutinaria. La presencia de infiltración granulomatosa conjuntival aparece entre el 7 y el 17% de los pacientes, una proporción muy similar a la afectación de la glándula lagrimal; que oscila entre 7 y el 26% de los casos. En ninguno de los casos parece un porcentaje despreciable.
Es importante en pacientes con elevada sospecha de sarcoidosis y ausencia de signos de inflamación intraocular, descartar la presencia de lesiones granulomatosas tanto conjuntivales como de la glándula lagrimal; por su fácil acceso y baja comorbilidad a la hora de plantear una biopsia diagnóstica definitiva.
Bibliografía
-
Dithmar S, Waring GO 3rd, Goldblum TA, Grossniklaus HE. Conjunctival deposits as an inicial manifestation of sarcoidosis. Am J Ophthalmol. 1999;128(3):361-2.
-
Herbort CP, Rao NA, Mochizuki M. Members of Scientific Committee of First International Workshop on Ocular Sarcoidosis. International criteria for the diagnosis of ocular sarcoidosis: results of the first International Workshop On Ocular Sarcoidosis (IWOS). Ocul Immunol Inflamm. 2009;17(3):160-9.
-
Dios E, Saornil MA, Herreras JM. Conjunctival biopsy in the diagnosis of ocular sarcoidosis. Ocul Immunol Inflamm. 2001;9(1):59-64.
-
Blaise P, Fardeau C, Chapelon C, Bodaghi B, Le Hoang P. Minor salivary gland biopsy in diagnosing ocular sarcoidosis. Br J Ophthalmol. 2011;95(12):1731-4. Epub 2011 Sep 6.
-
Gambrelle J, Jacob M, Le Breton F, Guyomard JL, Dumas C, Fleury J, et al. Conjunctival biopsy: a useful procedure for the diagnosis of sarcoidosis. J Fr Ophtalmol. 2006;29(5):579-82.
-
Nussenblatt RB, Whitcup SM. Uveitis fundamentals and clinical practice. Elsevier, 4th ed. St. Louis, 2010.
-
Huang JJ, Gaudio PA. Ocular inflammatory disease and uveitis manual. Diagnosis and treatment. Lippincott Williams & Wilkins, 1st ed., March 2010.
-
Stephen Foster C, Vitale AT. Diagnosis and treatment of uveitis. WB Saunders company, 2002.