Granulocitoaféresis en un caso de sarcoidosis ocular refractaria al tratamiento convencional*
O. Garcia-Garcia1, A. Filloy1, Sandra Ortega2, E. Escalante3, Ll. Massuet2Â
Introducción
La granulocitoaféresis busca reducir la capacidad autoinmune del suero del paciente. Consiste en un filtrado extracorpóreo de la sangre tipo diálisis (
Figura 1) Está basada en el dispositivo Adacolumn
®, que absorbe e inactiva los granulocitos activados del torrente sanguíneo produciendo una modulación a la baja de la respuesta inmune celular. Los usos aprobados por la UE para la granulocitoaféresis incluyen enfermedades de la autoinmunidad celular como la Artritis Reumatoide, Enfermedad de Crohn, Colitis Ulcerosa y la Enfermedad de Behçet
1,2. Contraindicaciones relativas de esta técnica son la cardiopatía isquémica y otros trastornos que puedan descompensarse por las alteraciones hemodinámicas causadas por la técnica.

Figura 1. Representación del procedimiento de granulocitoaféresis. La sangre es bombeada hacia el dispositivo de absorción, desde donde regresa a la circulación (cortesía del fabricante).
La etiología de la sarcoidosis es desconocida pero se ha evidenciado una hiperactivación de la inmunidad celular. Es raro que la sarcoidosis cause una pérdida visual importante, aunque hay casos en que ataca gravemente a la función visual. El tratamiento corticoideo suele ser efectivo y puede suprimirse mientras no existe inflamación
3,4. En ocasiones es necesario recurrir a otros inmunosupresores o a la terapia biológica.
Caso clínico
Presentamos el caso de una paciente de 60 años de edad enferma de esclerosis múltiple diagnosticada en 1997 (forma secundaria progresiva) sin otros antecedentes médicos personales o familiares de interés. Consultó por primera vez en 2001 por dolor ocular bilateral, siendo orientada como uveítis anterior granulomatosa sinequiante y bilateral y que respondió bien al tratamiento antiinflamatorio tópico. El estudio sistémico de enfermedades asociadas (radiología de tórax-pelvis, serologías y estudios HLA) no dio resultados relevantes.
Seguidamente la paciente entró en una dinámica de recidivas de su uveítis que inicialmente respondieron a la terapia tópica pero que a partir del año 2004 únicamente remitían con dosis elevadas de prednisona oral (>40mg/día) y que invariablemente rebrotaban a las pocas semanas de la disminución de la dosis.
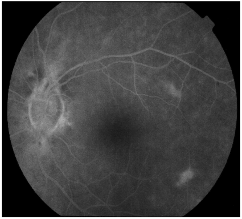
Simultáneamente los brotes de uveítis se fueron haciendo progresivamente de predominio posterior con vitritis, edema macular y desprendimiento macular seroso. Estos últimos respondieron bien a la triamcinolona subtenoniana. También aparecieron periflebitis y lesiones coroideas granulomatosas activas (
Figura 2). Se diagnosticó a la paciente de sarcoidosis ocular (
Tabla 1)
5. Por las características clínicas, especialmente la ausencia de pars planitis, se desestimó que la uveítis tuviera su origen en la esclerosis múltiple.

Figura 2. Angiografía fluoresceínica. Se aprecian dos focos de coroiditis, así como algunos tramos de periflebitis.

Tabla 1. Criteros de la IWOS (Internacional Workshop on Ocular Sarcoidosis). Su valor predictivo es de 75-100% cuando tres o más de ellos se hallan presentes. Nuestro caso los presentó todos en un momento u otro de su evolución.
Las altas dosis de prednisona eran mal toleradas por la paciente, y el resto de terapias inmunosupresoras no dieron resultado (ciclosporina, azatioprina). Los tratamientos biológicos (anti-TNF) que normalmente serían la alternativa en para estas situaciones se encuentran contraindicados en pacientes con esclerosis múltiple
6.
Con el objetivo de obtener mejoría clínica y disminuir las dosis de prednisona se ofreció a la paciente ensayar como tratamiento compasivo la granulocitoaféresis al haber demostrado esta técnica ser una opción en otros trastornos autoinmunes celulares
1,2.
Hace un año se empezó con dos tratamientos de inducción semanal seguidos de un tratamiento quincenal de mantenimiento. Con la misma frecuencia se registraron la agudeza visual, el grado de inflamación intraocular y OCT macular. Últimamente la frecuencia se ha reducido a mensual.
Resultados
Unos días tras la primera sesión la paciente refirió sensación de mejora de su agudeza visual. Los registros hasta la fecha han mostrado una mejora progresiva e ininterrumpida en ambos ojos, que se ha estabilizado por encima de 0,8-0.9. En los cursos previos a la aféresis, en ningún momento había presentado una agudeza mejor a 0.6 bilateral.
No ha habido más signos de actividad inflamatoria en polo anterior ni posterior, tanto al examen clínico como a la OCT, con excepción de un episodio de iridociclitis bilateral leve.
Se han disminuido progresivamente las dosis de prednisona sistémica. Actualmente se encuentran a 5mg/día, la dosis de mantenimiento más baja desde que los esteroides sistémicos empezaron a ser necesarios.
Conclusiones
La granulocitoaféresis ha sido un tratamiento seguro y efectivo para este caso de sarcoidosis ocular refractaria. Se han obtenido unas agudezas visuales mejoradas y estables durante meses en ambos ojos por primera vez en los diez años de evolución de la enfermedad.
No hemos hallado bibliografía previa sobre el uso de la granulocitoaféresis para la sarcoidosis ocular. Presentamos un único caso del que por ahora no disponemos de información sobre la evolución o complicaciones a largo plazo. Sin embargo, los primeros resultados son positivos y podrían tomarse como apoyo de cara a plantear estudios comparativos con series mayores.
Bibliografía
-
Saniabadi AR, Hanai H, Suzuki Y, Ohmori T, Sawada K, Yoshimura N, et al. Adacolumn for selective leukocytapheresis as a non-pharmacological treatment for patients with disorders of the immune system: an adjunct or an alternative to drug therapy?. J Clin Apher. 2005;20(3):171-84.
-
Namba K, Sonoka KH, Kitamei H, Shiratori K, Ariyama A, Iwabuchi K, et al. Granulocytoapheresis in patients with refractory ocular Behçet’s disease. Arch Ophthalmol. 2005;123(2):267-9.
-
Boyd SR, Young S, Lightman S. Immunopathology of the noninfectious posterior and intermediate uveitides. Surv Ophthalmol. 2001;46(3):209-33.
-
Kawagoe T, Mizuki N. Sarcoidosis. Curr Opin Ophthalmol. 2011;22(6):502-7.
-
Herbort CP, Rao NA, Mochizuki International criteria for the diagnosis of ocular sarcoidosis: results of the first International Workshop On OcularSarcoidosis (IWOS). Ocul Immunol Inflamm. 2009;17(3):160-9.
-
Caminero A, Comabella M, Montalban X. Tumor necrosis factor alpha (TNF-α), anti-TNF-α and demyelination revisited: an ongoing story. J Neuroimmunol. 2011;234(1-2):1-6.