M. Jorge, M. Verseckas
Presentamos el caso clínico de una mujer diabética no insulinodependiente con antecedentes de retinopatía diabética que consultó por pérdida de agudeza visual (AV) en su ojo izquierdo tras cirugía de catarata, objetivándose un síndrome de tracción vítreo-macular en ese ojo. La pérdida visual importante acompañada de sintomatología clínica de metamorfopsia nos obligó a indicarle una vitrectomía vía pars plana en ese ojo para liberar tracciones. El paso del tiempo resultó ser la mejor alternativa terapéutica en esta paciente, que experimentó una resolución espontánea de su proceso antes de la fecha prevista para la intervención.
Presentem el cas clínic d’una dona diabètica no insulinodependent amb antecedents de retinopatia diabètica que va consultar per pèrdua d’agudesa visual (AV) al seu ull esquerre després d’haver estat operada de cataracta, objectivant-se una síndrome de tracció vitri-macular en aquest ull. La important pèrdua visual acompanyada de la simptomatologia clínica de metamorfòpsia ens va obligar a indicar-li una vitrectomia via pars plana en aquest ull per alliberar traccions. El pas del temps va resultar ser la millor alternativa terapèutica en aquesta pacient, que va experimentar una resolució espontània del seu procés abans de la data prevista per la intervenció.
We present the case of a non-insulin dependent diabetic patient with a diabetic retinopathy who reported a visual loss in her left eye following cataract surgery. We observed a vitreo-macular syndrome in that eye. The important visual loss accompanied by the clinical symptoms of metamorphopsia led us to practise a pars plana vitrectomy in that eye to release traction. Passing of time showed to be the best treatment for this patient, who experimented a spontaneous resolution of her process before the scheduled date for the surgery.
Caso clínico
Mujer de 82 años con retinopatía diabética no proliferativa leve-moderada y sin edema macular clínicamente significativo (EMCS) en AO, con antecedentes de ambliopía en OD. Explicaba un control glicémico irregular. La paciente fue intervenida de catarata bajo anestesia tópica en AO con un intervalo de 6 meses entre cada ojo, sin incidencias operatorias. La AV tras la intervención de catarata fue de 0.5dif en OD y 0.25 dif en OI con corrección óptica. La paciente presentaba una retinopatía diabética no proliferativa (RDNP) leve-moderada desarrollando en el postoperatorio un leve edema macular (EM) en AO acompañado de metamorfopsia en OI, que requirió la realización de angiografía fluoresceínica (AGF) y tomografía de coherencia óptica (OCT) macular (
Figura 1 y
Figura 2 ).

Figura 1. A y B: Retinografías donde se observa RDNP leve-moderada bilateral. C y D: AGF en tiempos tardíos AO con exudación perifoveal en AO

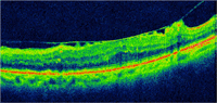
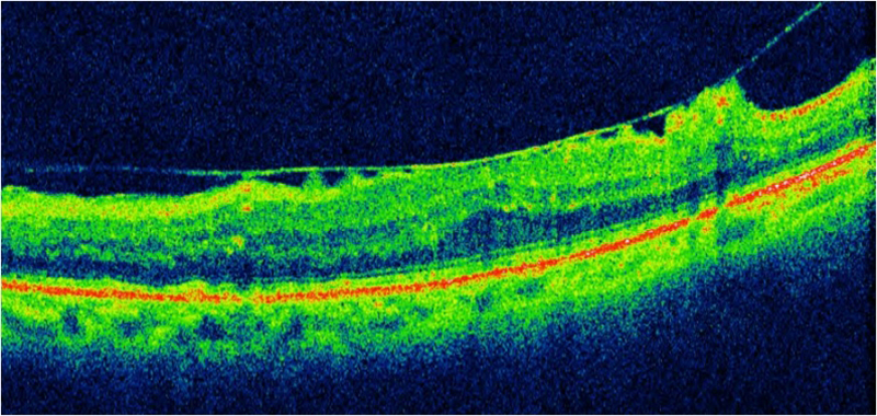
Figura 2. OCT macular OI donde se aprecia con nitidez la tracción que la hialoides posterior ejerce sobre la retina interna
La AGF puso de manifiesto el EM ya observado por oftalmoscopía directa. En la OCT macular se observó además un síndrome de tracción vítreo-macular (STVM) en su OI. Se realizó fotocoagulación macular con láser argón en OD y dada la baja AV y la sintomatología de metamorfopsia en OI, planteamos a la paciente la posibilidad de realizar una vitrectomía vía pars plana para intentar liberar tracciones y restituir al menos parcialmente su perfil foveal. La paciente fue informada de los riesgos de la intervención y accedió a ser operada.
Por problemas administrativos la petición quirúrgica se extravió, apareciendo de nuevo la paciente en consultas un año después de haber sido programada.
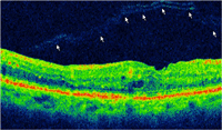
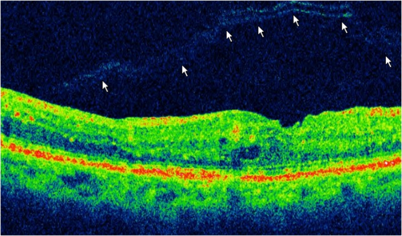
Tras nueva exploración oftalmológica, la paciente refirió un mejor control glicémico por parte de su endocrinólogo así como una sensación subjetiva de mejoría de la visión en su OI sin clínica de metamorfopsia. Presentaba una AV de 0.5 dif en OD y 0.4 en OI con corrección óptica. A nivel funduscópico presentaba un mejor aspecto a nivel del polo posterior en su OI. Tras realizar una nueva OCT macular pudimos observar como se había producido un desprendimiento espontáneo de la hialoides posterior, recuperándose el perfil foveal tomográfico de forma espontánea (
Figura 3). Anulamos la intervención quirúrgica programada y la paciente siguió controles periódicos en consulta externa. A día de hoy continúa con una AV de 0.4 en OI sin metamorfopsia.

Figura 3. OCT macular tras la resolución espontánea del STVM. Se aprecia algún mínimo cambio cistoideo central así como el desprendimiento de la hialoides posterior (delimitado por flechas en la imagen).
Discusión
El STVM puede producirse cuando existe un desprendimiento parcial del vítreo posterior con separación incompleta del córtex vítreo del polo posterior, persistiendo uniones que traccionan de la mácula
1,2. Se estima que la resolución espontanea del STVM ocurre en aproximadamente el 10% de los casos en los que existe un desprendimiento vítreo posterior incompleto
3.
Las tracciones sobre la mácula pueden dar lugar a un edema macular quístico con rotura de la barrera hematoretiniana o bien a un desprendimiento macular traccional, siendo esto último infrecuente. La tracción suele persistir a nivel de una de las arcadas vasculares, ya que es aquí donde las uniones entre el córtex vítreo y la membrana limitante interna de la retina son más fuertes. El gel vítreo puede ir traccionando sobre las arcadas y la tracción puede provocar un aumento de la permeabilidad vascular responsable de los cambios quísticos en la mácula
4.
En el diagnóstico diferencial de este proceso debemos incluir las membranas epirretinianas (MER) y el agujero macular (AM) idiopático. En ocasiones el STVM puede acompañarse de alguna pequeña MER, aunque el examen detallado, observando las áreas de tracción persistente permite distinguir las dos entidades. Además, en una MER existe un desprendimiento completo del vítreo posterior, que causa la rotura de la membrana limitante interna favoreciendo la migración de células gliales a la superficie de la retina, con su proliferación y contracción posterior dando lugar a la membrana. En el caso del AM, la contracción del gel vítreo premacular causa una tracción tangencial sobre la mácula que podría justificar su formación. La OCT es una herramienta a día de hoy indispensable para el diagnóstico y seguimiento de estos pacientes, que permite de una forma sencilla el poder distinguir los distintos procesos descritos, facilitando muchísimo el diagnóstico diferencial
5.
Como posibles causas del STVM, este proceso se ha relacionado con la cirugía de catarata, debido a la disminución del espacio retrocristaliniano que puede favorecer el desprendimiento de la hialoides en gran parte de los pacientes intervenidos. En pacientes diabéticos no son raros los desprendimientos parciales del vítreo posterior, que pueden resolverse espontáneamente en ocasiones, como ocurrió en este caso
6. También se han descrito casos en la literatura de desprendimientos de la hialoides posterior en pacientes sometidos a la inyección intravítrea de fármacos
7, a pesar de que nuestra paciente no fue sometida a la inyección de ningún tipo de antiVEGF ni tampoco de triamcinolona intravítrea en ese ojo.
Los pacientes con STVM que conservan buena AV y que no presentan sintomatología de metamorfopsia van a requerir un seguimiento periódico sin necesidad de cirugía vítreo-retiniana. Si aparece una disminución progresiva de agudeza visual con o sin metamorfopsia suele deberse a los cambios cistoides asociados. También está descrita la tracción persistente sobre los márgenes del disco óptico, con posibilidad de aparición de un edema de papila discreto, que se observa mejor en la AGF. A pesar de que la plasmina autóloga intravítrea ha resultado útil en reducir y eliminar la tracción en algunos casos de STVM publicados por autores como Díaz Llopis
et al., en caso de ser necesario tratamiento la vitrectomía vía pars plana con disección de la hialoides posterior para liberar la tracción asociada sigue siendo el tratamiento de elección en la actualidad
8,9.
El caso que hemos presentado sufrió una resolución espontánea del STVM por separación espontánea de la hialoides posterior, algo ya descrito en la literatura por otros autores y considerado excepcional ya que la tracción sobre las arcadas produce una rotura de la barrera hematorretiniana con salida de componentes plasmáticos, que hacen más firmes las uniones existentes, lo que impediría la separación de la hialoides posterior
10-12. En este caso, la demora en la cirugía programada hizo que el tiempo fuera la mejor estrategia terapéutica para nuestra paciente.
Bibliografía
-
Jaffe NS. Vitreous traction at the posterior pole of the fundus due to alterations in the vitreous posterior. Ophthalmology.1995;71 624-51.
-
Gass JDM. Macular dysjunction caused by vitreous an vitreoretinal interface abnormalities: vitreous traction maculopathies. In: Gass JDM, ed. Stereoscopic Atlas of Macular Disease. St Louis: Mosby, 1987; p. 676-93.
-
Weinand F, Jung A, Becker R, Pavlovic S.Spontaneous resolution of vitreomacular traction síndrome. Ophthalmologe. 2009 Jan;106(1):44-6.
-
Smiddy WE, Green WR, et al. Ultrastructural studies of vitreomacular traction syndrome. Am J Ophthalmol.1989;107:177-185.
-
Vitrectomía en el síndrome de tracción vítreomacular. Suárez León M, Vidal Fernández P, et al. Arch Soc Esp Oftalmol. 2001;76:37-41.
-
Panagiotidis D, Karagiannis D, et al. Cataract-related acute vitreomacular traction syndrome. Eur J Ophthalmol. 2011 Jan-Feb;21(1):20-3.
-
Rouvas A, Petrou P, Ladas I, et al. Spontaneous resolution of vitreomacular traction following ranibizumab (Lucentis®) injection. Eur J Ophthalmol. 2008 Mar-Apr;18(2):301-3.
-
Vitrectomía enzimática por inyección intravítrea de plasmina autóloga como tratamiento inicial de las membranas epiretinianas maculares y el síndrome de tracción vítreomacular. Díaz-Llopis M, Udaondo P, el al. Arch Soc Esp Oftalmol 2009; 84: 91-100.
-
El síndrome de tracción vítreo-macular: estudio mediante OCT. Annals d’Oftalmologia 2007;15(1):29-31.
-
Optical coherence tomography in spontaneous resolution of vitreomacular traction syndrome. Hung KH, Yang CS, et al. J Chin Med Assoc. 2010;73:334-7.
-
Sarup V, Wald KJ, et al. Spontaneus resolution of unilateral vitreomacular traction. Ann Ophthalmol. 2006;38:347-9.
-
Rapid spontaneous resolution of vitreomacular traction syndrome documented by optical coherence tomography. Levy J, Klemperer I, Belfair N, Rogozin A, Lifshitz T. Int Ophthalmol. 2004 Jul;25(4):247-51.